5.31%
Ki67 指数
阴 19502 阳 1093
处理信息
状态 处理完成
上传 2026-04-09 16:49
耗时 4998秒
切片统计
总切片 2970
有效 554
已标记 554
有效率 19%
缩略图
20240398Ki-67.ndpi
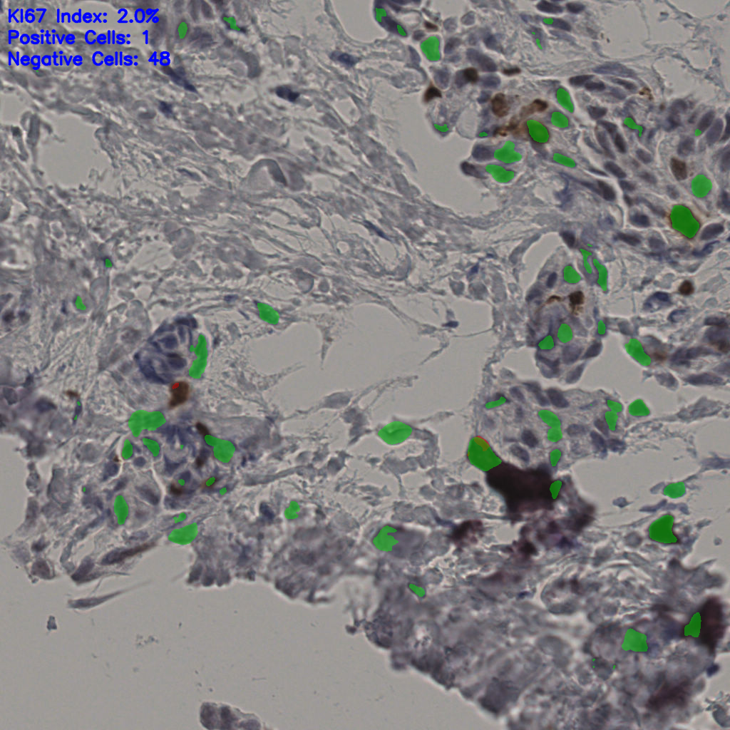
slice_35_10_x31360_y8960.png
slice_35_10_x3136...
slice_35_11_x31360_y9856.png
slice_35_11_x3136...
slice_35_12_x31360_y10752.png
slice_35_12_x3136...
slice_35_13_x31360_y11648.png
slice_35_13_x3136...
slice_35_14_x31360_y12544.png
slice_35_14_x3136...
slice_35_22_x31360_y19712.png
slice_35_22_x3136...
slice_35_23_x31360_y20608.png
slice_35_23_x3136...
slice_35_24_x31360_y21504.png
slice_35_24_x3136...
slice_35_25_x31360_y22400.png
slice_35_25_x3136...
slice_35_26_x31360_y23296.png
slice_35_26_x3136...
slice_35_29_x31360_y25984.png
slice_35_29_x3136...
slice_35_30_x31360_y26880.png
slice_35_30_x3136...
slice_35_31_x31360_y27776.png
slice_35_31_x3136...
slice_35_32_x31360_y28672.png
slice_35_32_x3136...
slice_35_33_x31360_y29568.png
slice_35_33_x3136...
slice_35_34_x31360_y30464.png
slice_35_34_x3136...
slice_35_6_x31360_y5376.png
slice_35_6_x31360...
slice_35_7_x31360_y6272.png
slice_35_7_x31360...
slice_35_8_x31360_y7168.png
slice_35_8_x31360...
slice_35_9_x31360_y8064.png
slice_35_9_x31360...
第 16 / 28 页,共 554 张