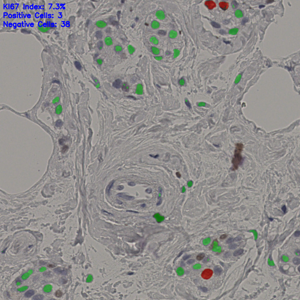
5.31%
Ki67 指数
阴 19502
阳 1093
处理信息
状态
处理完成
上传
2026-04-09 16:49
耗时
4998秒
切片统计
总切片
2970
有效
554
已标记
554
有效率
19%
缩略图
slice_14_45_x1254...
slice_14_46_x1254...
slice_14_47_x1254...
slice_14_48_x1254...
slice_15_15_x1344...
slice_15_17_x1344...
slice_15_37_x1344...
slice_15_38_x1344...
slice_15_39_x1344...
slice_15_40_x1344...
slice_15_41_x1344...
slice_15_42_x1344...
slice_15_45_x1344...
slice_15_46_x1344...
slice_15_47_x1344...
slice_15_48_x1344...
slice_16_15_x1433...
slice_16_16_x1433...
slice_16_17_x1433...
slice_16_37_x1433...
标记后
标记前