5.31%
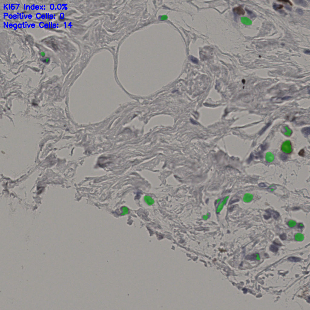
Ki67 指数
阴 19502 阳 1093
处理信息
状态 处理完成
上传 2026-04-09 16:49
耗时 4998秒
切片统计
总切片 2970
有效 554
已标记 554
有效率 19%
缩略图
20240398Ki-67.ndpi
slice_18_16_x16128_y14336.png
slice_18_16_x1612...
slice_18_17_x16128_y15232.png
slice_18_17_x1612...
slice_18_19_x16128_y17024.png
slice_18_19_x1612...
slice_18_20_x16128_y17920.png
slice_18_20_x1612...
slice_18_35_x16128_y31360.png
slice_18_35_x1612...
slice_18_36_x16128_y32256.png
slice_18_36_x1612...
slice_18_37_x16128_y33152.png
slice_18_37_x1612...
slice_18_38_x16128_y34048.png
slice_18_38_x1612...
slice_18_39_x16128_y34944.png
slice_18_39_x1612...
slice_18_40_x16128_y35840.png
slice_18_40_x1612...
slice_18_44_x16128_y39424.png
slice_18_44_x1612...
slice_18_45_x16128_y40320.png
slice_18_45_x1612...
slice_18_46_x16128_y41216.png
slice_18_46_x1612...
slice_18_47_x16128_y42112.png
slice_18_47_x1612...
slice_19_17_x17024_y15232.png
slice_19_17_x1702...
slice_19_18_x17024_y16128.png
slice_19_18_x1702...
slice_19_20_x17024_y17920.png
slice_19_20_x1702...
slice_19_21_x17024_y18816.png
slice_19_21_x1702...
slice_19_35_x17024_y31360.png
slice_19_35_x1702...
slice_19_36_x17024_y32256.png
slice_19_36_x1702...
第 5 / 28 页,共 554 张