5.31%
Ki67 指数
阴 19502 阳 1093
处理信息
状态 处理完成
上传 2026-04-09 16:49
耗时 4998秒
切片统计
总切片 2970
有效 554
已标记 554
有效率 19%
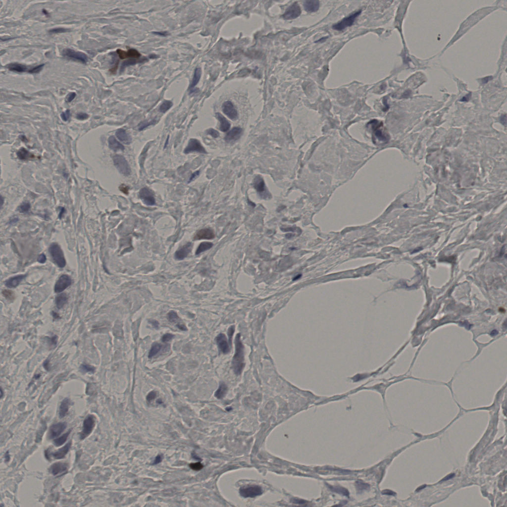
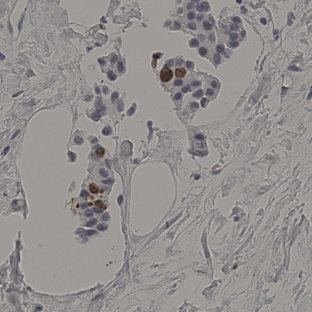
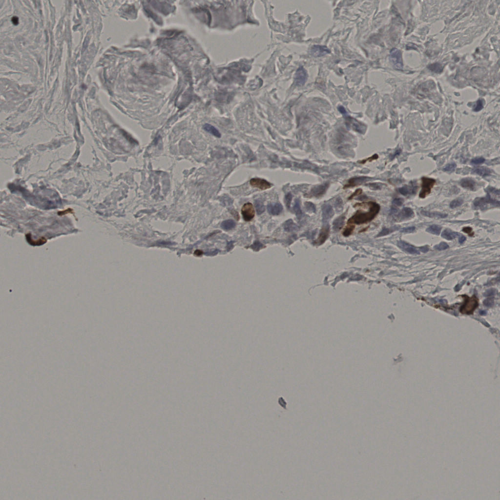
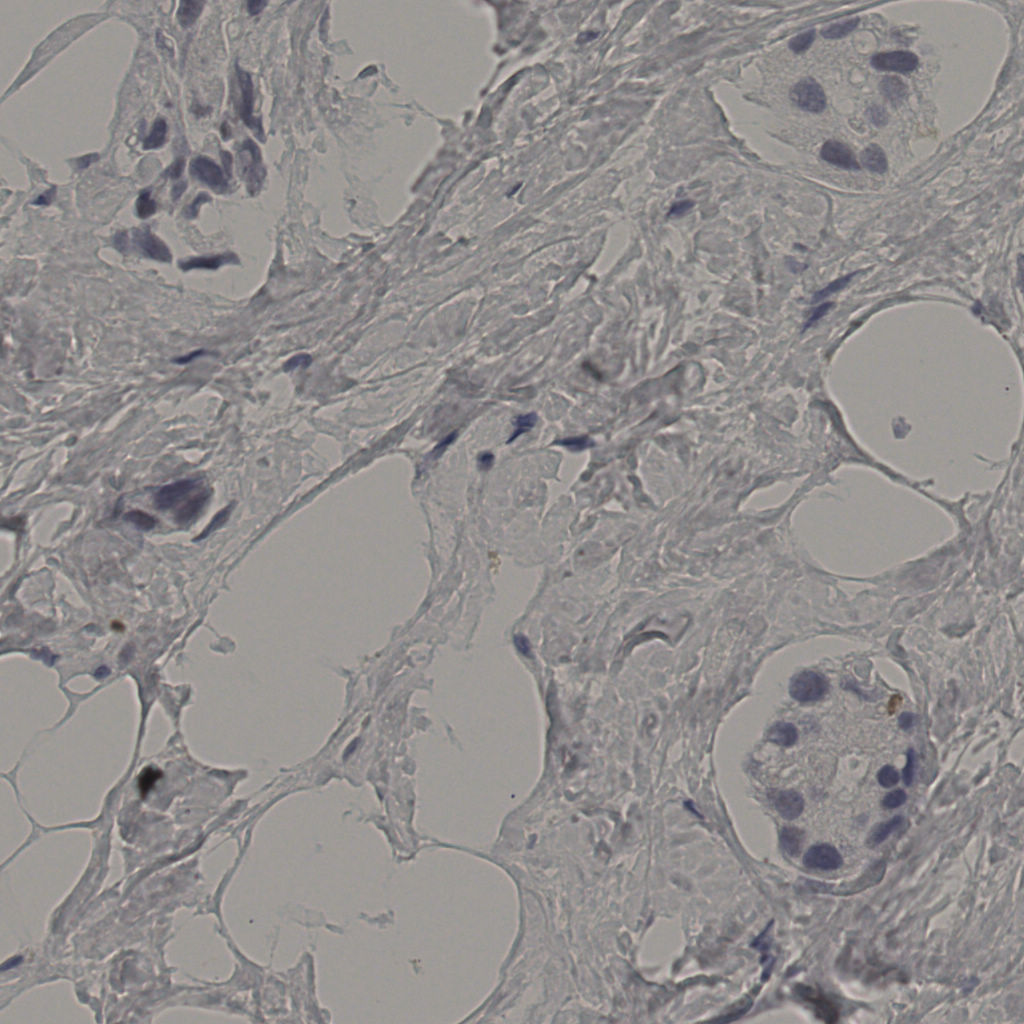
缩略图
20240398Ki-67.ndpi
slice_28_36_x25088_y32256.png
slice_28_36_x2508...
slice_28_37_x25088_y33152.png
slice_28_37_x2508...
slice_29_21_x25984_y18816.png
slice_29_21_x2598...
slice_29_22_x25984_y19712.png
slice_29_22_x2598...
slice_29_23_x25984_y20608.png
slice_29_23_x2598...
slice_29_24_x25984_y21504.png
slice_29_24_x2598...
slice_29_25_x25984_y22400.png
slice_29_25_x2598...
slice_29_32_x25984_y28672.png
slice_29_32_x2598...
slice_29_33_x25984_y29568.png
slice_29_33_x2598...
slice_29_34_x25984_y30464.png
slice_29_34_x2598...
slice_29_35_x25984_y31360.png
slice_29_35_x2598...
slice_29_36_x25984_y32256.png
slice_29_36_x2598...
slice_29_5_x25984_y4480.png
slice_29_5_x25984...
slice_2_16_x1792_y14336.png
slice_2_16_x1792_...
slice_2_18_x1792_y16128.png
slice_2_18_x1792_...
slice_30_22_x26880_y19712.png
slice_30_22_x2688...
slice_30_23_x26880_y20608.png
slice_30_23_x2688...
slice_30_24_x26880_y21504.png
slice_30_24_x2688...
slice_30_25_x26880_y22400.png
slice_30_25_x2688...
slice_30_32_x26880_y28672.png
slice_30_32_x2688...
第 11 / 28 页,共 554 张