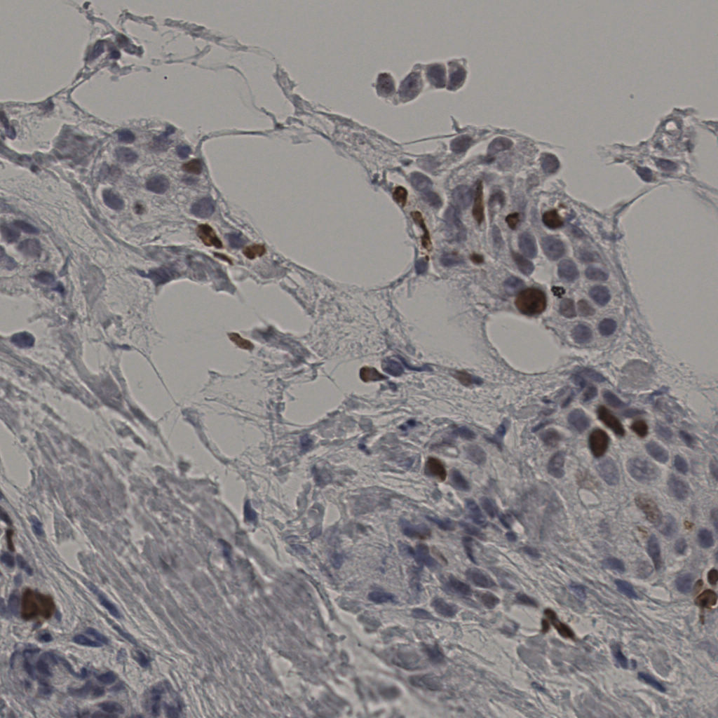
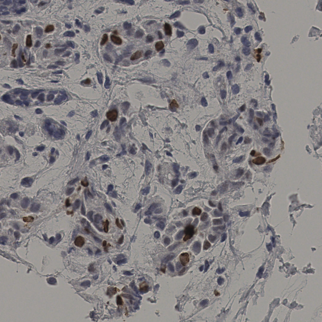
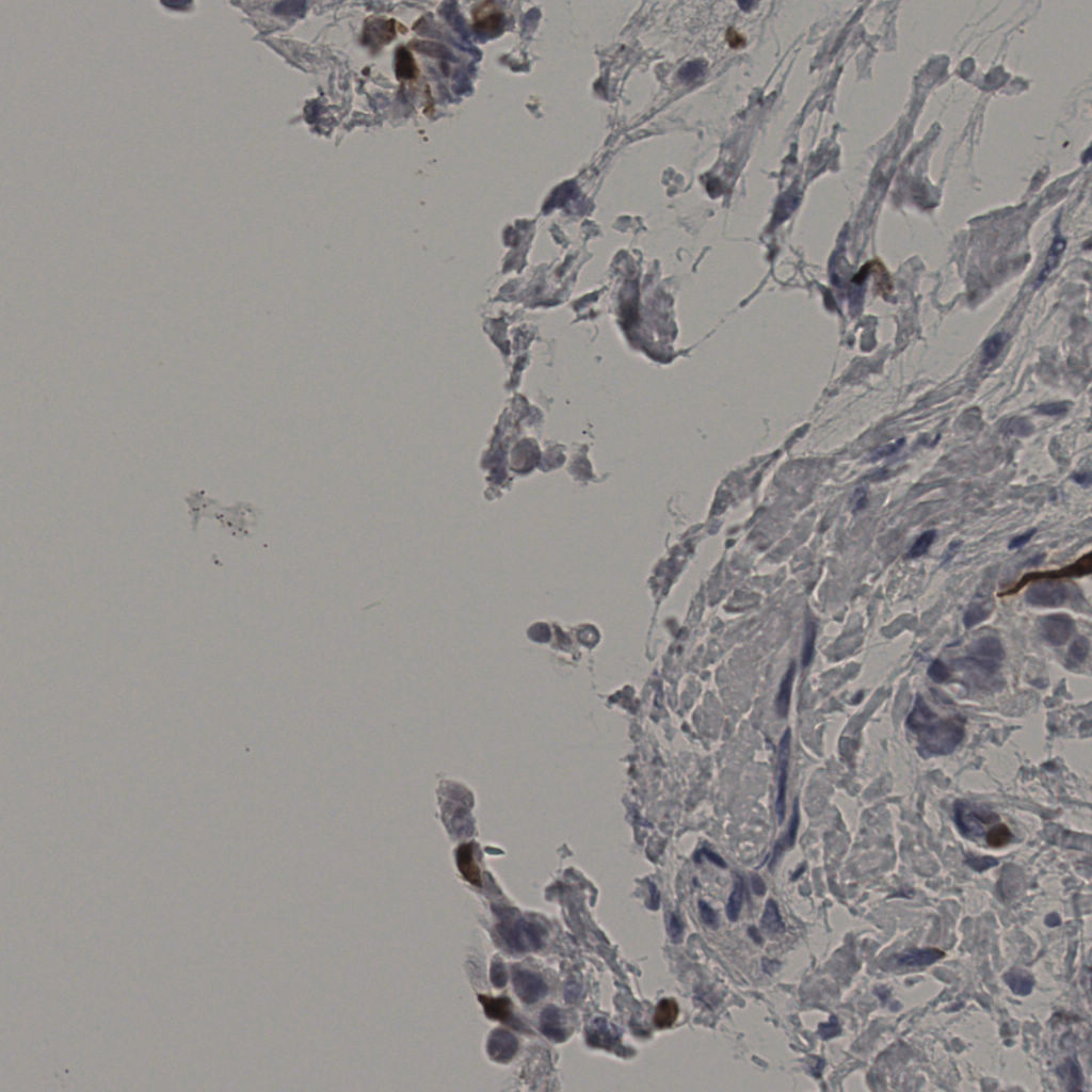
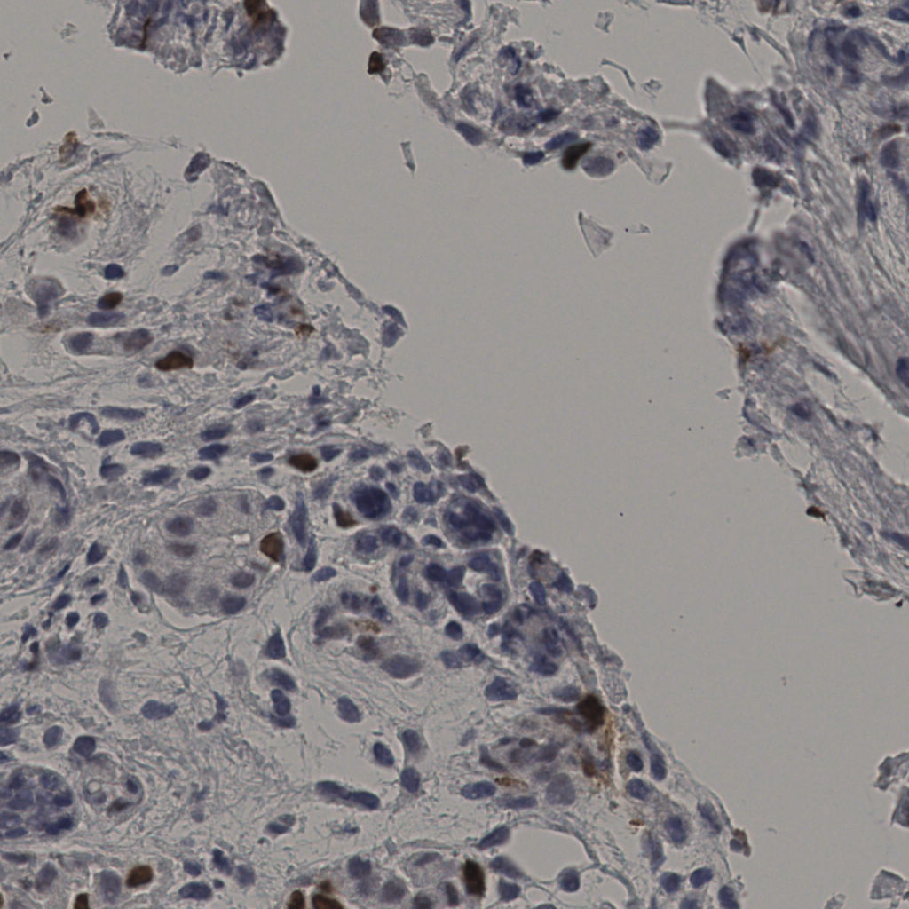
5.31%
Ki67 指数
阴 19502
阳 1093
处理信息
状态
处理完成
上传
2026-04-09 16:49
耗时
4998秒
切片统计
总切片
2970
有效
554
已标记
554
有效率
19%
缩略图
slice_30_33_x2688...
slice_30_34_x2688...
slice_30_35_x2688...
slice_30_36_x2688...
slice_30_4_x26880...
slice_30_5_x26880...
slice_30_6_x26880...
slice_30_7_x26880...
slice_30_8_x26880...
slice_31_22_x2777...
slice_31_23_x2777...
slice_31_24_x2777...
slice_31_25_x2777...
slice_31_31_x2777...
slice_31_32_x2777...
slice_31_33_x2777...
slice_31_34_x2777...
slice_31_35_x2777...
slice_31_36_x2777...
slice_31_4_x27776...
标记后
标记前