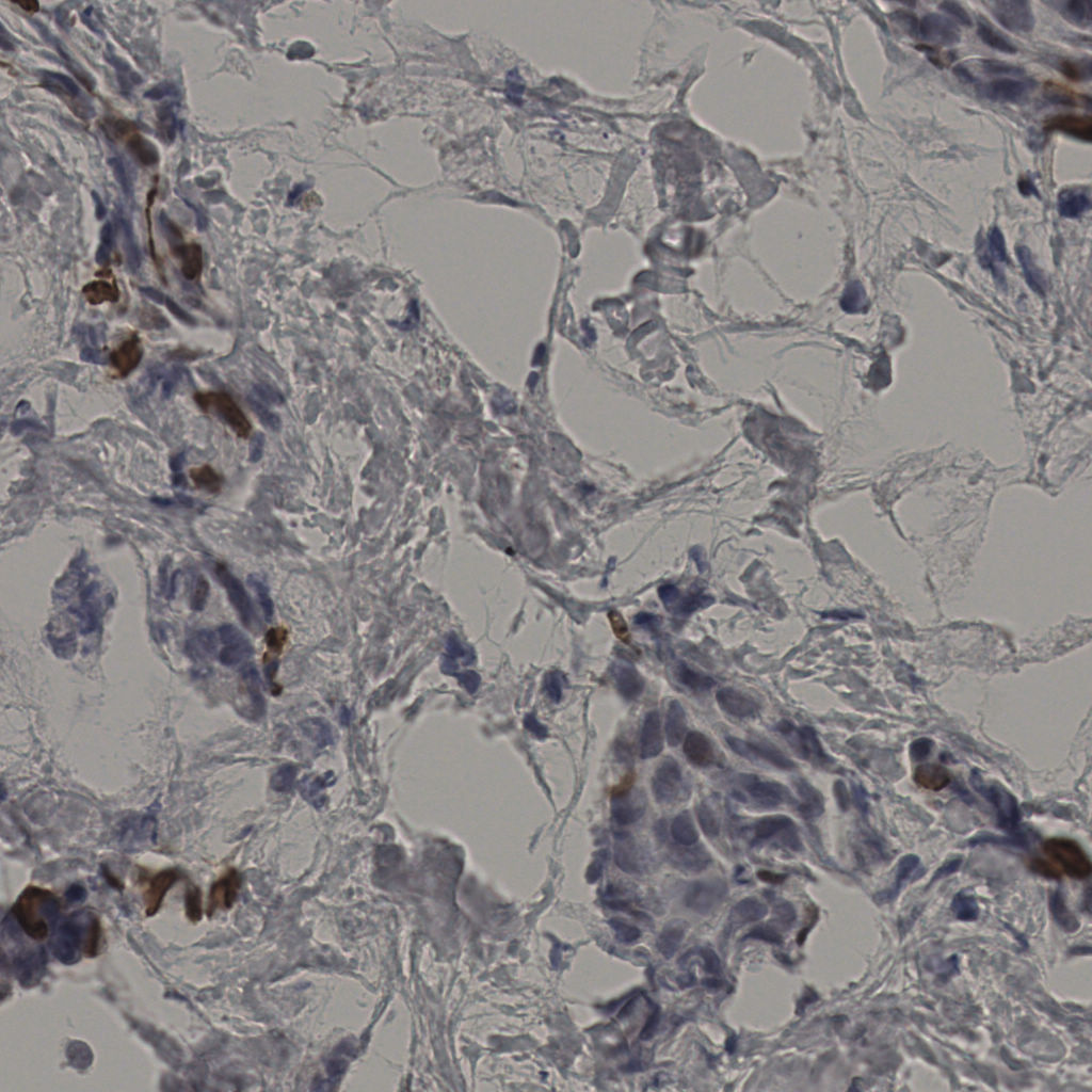
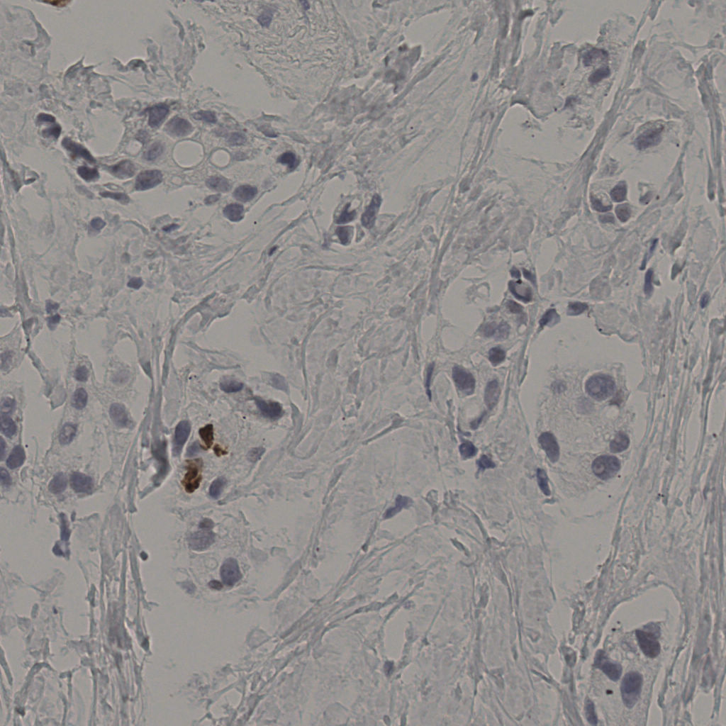
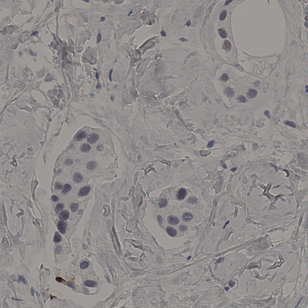
5.31%
Ki67 指数
阴 19502 阳 1093
处理信息
状态 处理完成
上传 2026-04-09 16:49
耗时 4998秒
切片统计
总切片 2970
有效 554
已标记 554
有效率 19%
缩略图
20240398Ki-67.ndpi
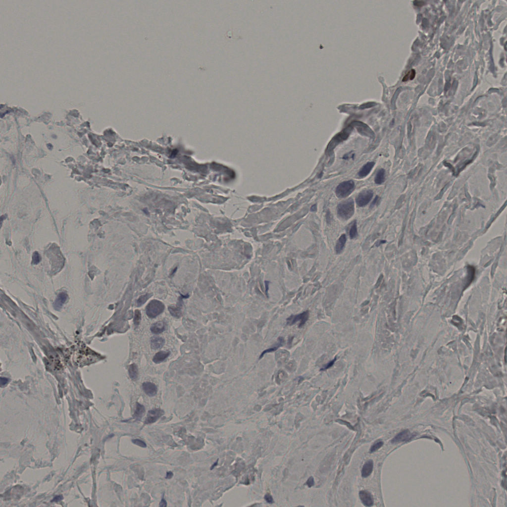
slice_33_9_x29568_y8064.png
slice_33_9_x29568...
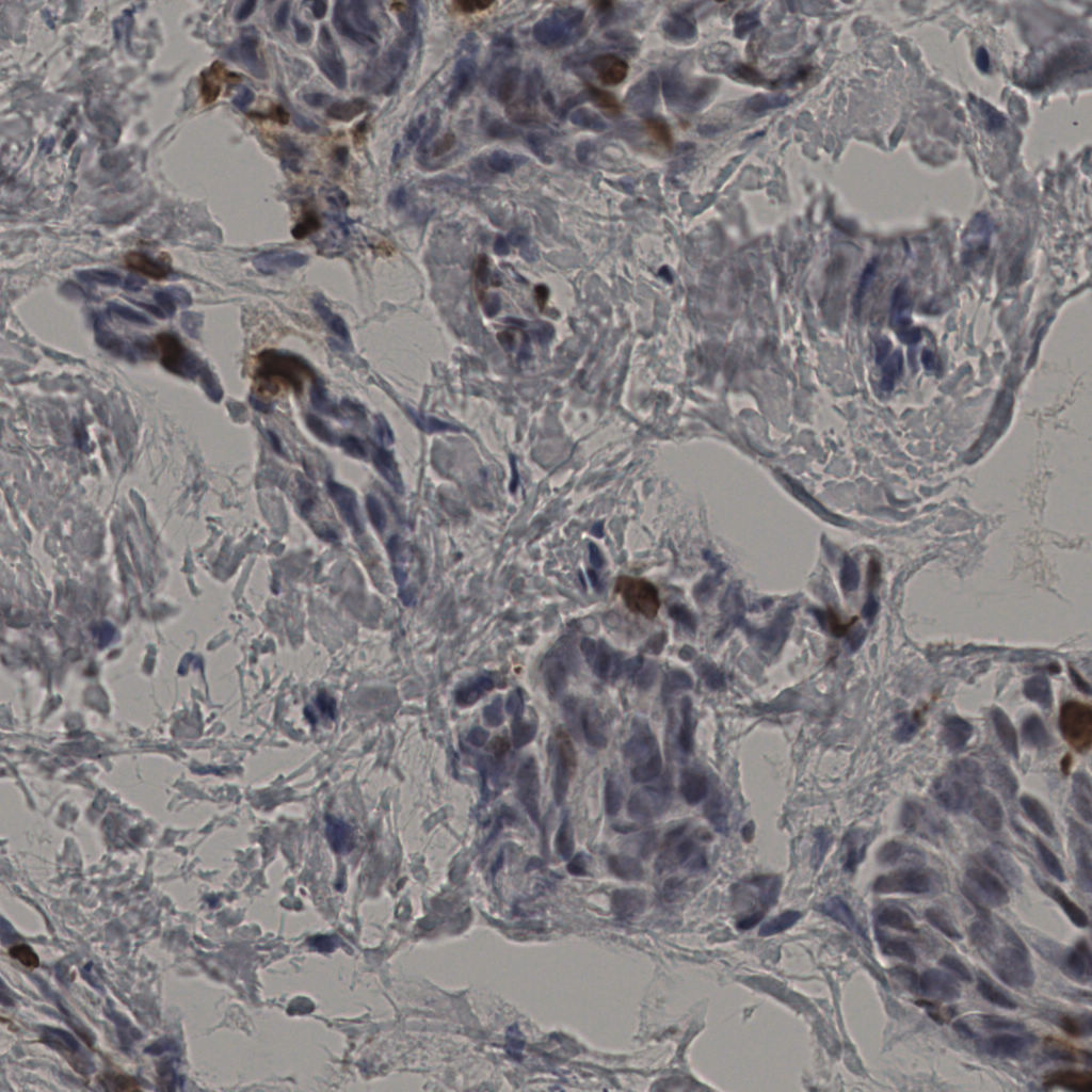
slice_34_10_x30464_y8960.png
slice_34_10_x3046...
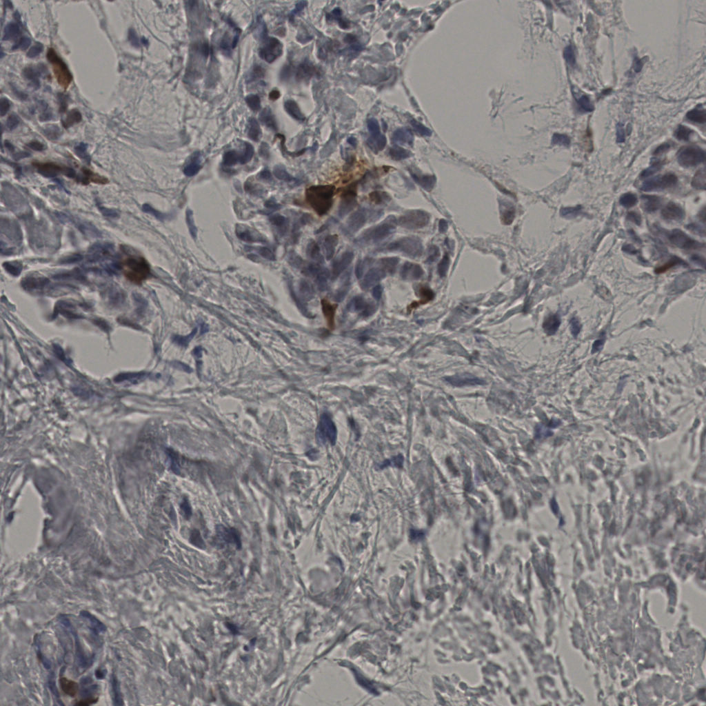
slice_34_11_x30464_y9856.png
slice_34_11_x3046...
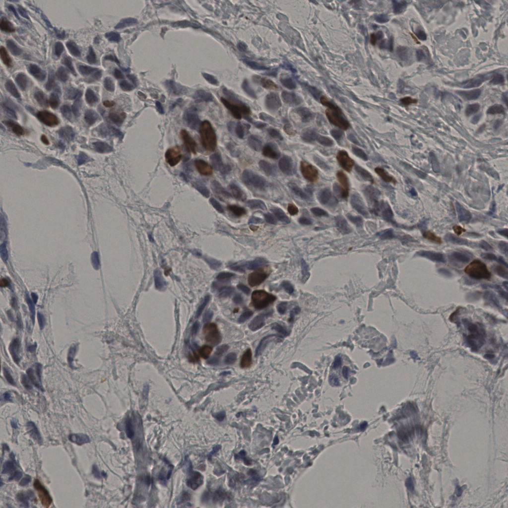
slice_34_12_x30464_y10752.png
slice_34_12_x3046...
slice_34_13_x30464_y11648.png
slice_34_13_x3046...
slice_34_22_x30464_y19712.png
slice_34_22_x3046...
slice_34_23_x30464_y20608.png
slice_34_23_x3046...
slice_34_24_x30464_y21504.png
slice_34_24_x3046...
slice_34_25_x30464_y22400.png
slice_34_25_x3046...
slice_34_26_x30464_y23296.png
slice_34_26_x3046...
slice_34_30_x30464_y26880.png
slice_34_30_x3046...
slice_34_31_x30464_y27776.png
slice_34_31_x3046...
slice_34_32_x30464_y28672.png
slice_34_32_x3046...
slice_34_33_x30464_y29568.png
slice_34_33_x3046...
slice_34_34_x30464_y30464.png
slice_34_34_x3046...
slice_34_5_x30464_y4480.png
slice_34_5_x30464...
slice_34_6_x30464_y5376.png
slice_34_6_x30464...
slice_34_7_x30464_y6272.png
slice_34_7_x30464...
slice_34_8_x30464_y7168.png
slice_34_8_x30464...
slice_34_9_x30464_y8064.png
slice_34_9_x30464...
第 15 / 28 页,共 554 张