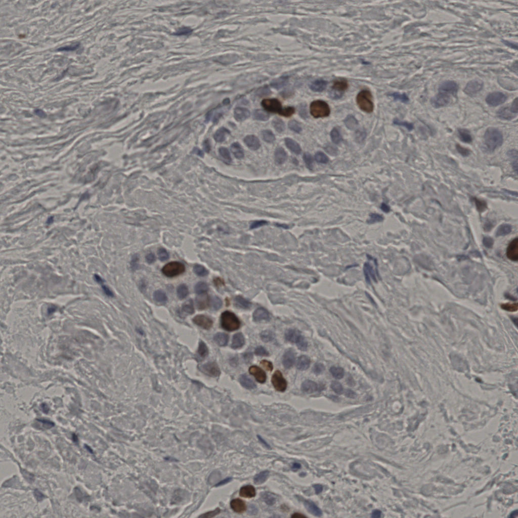
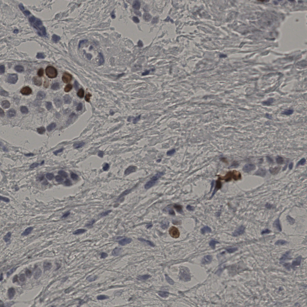
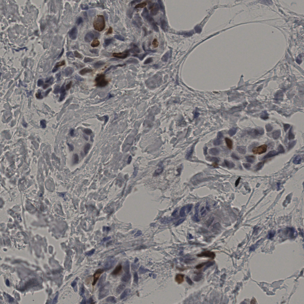
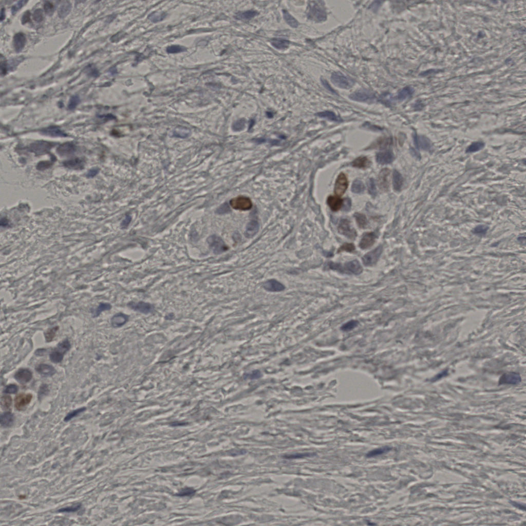
5.31%
Ki67 指数
阴 19502
阳 1093
处理信息
状态
处理完成
上传
2026-04-09 16:49
耗时
4998秒
切片统计
总切片
2970
有效
554
已标记
554
有效率
19%
缩略图
slice_35_10_x3136...
slice_35_11_x3136...
slice_35_12_x3136...
slice_35_13_x3136...
slice_35_14_x3136...
slice_35_22_x3136...
slice_35_23_x3136...
slice_35_24_x3136...
slice_35_25_x3136...
slice_35_26_x3136...
slice_35_29_x3136...
slice_35_30_x3136...
slice_35_31_x3136...
slice_35_32_x3136...
slice_35_33_x3136...
slice_35_34_x3136...
slice_35_6_x31360...
slice_35_7_x31360...
slice_35_8_x31360...
slice_35_9_x31360...
标记后
标记前