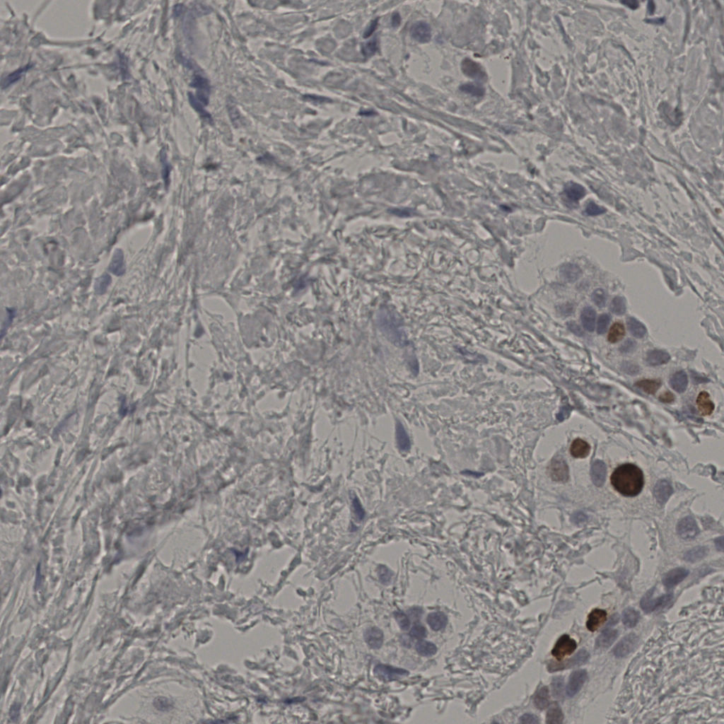
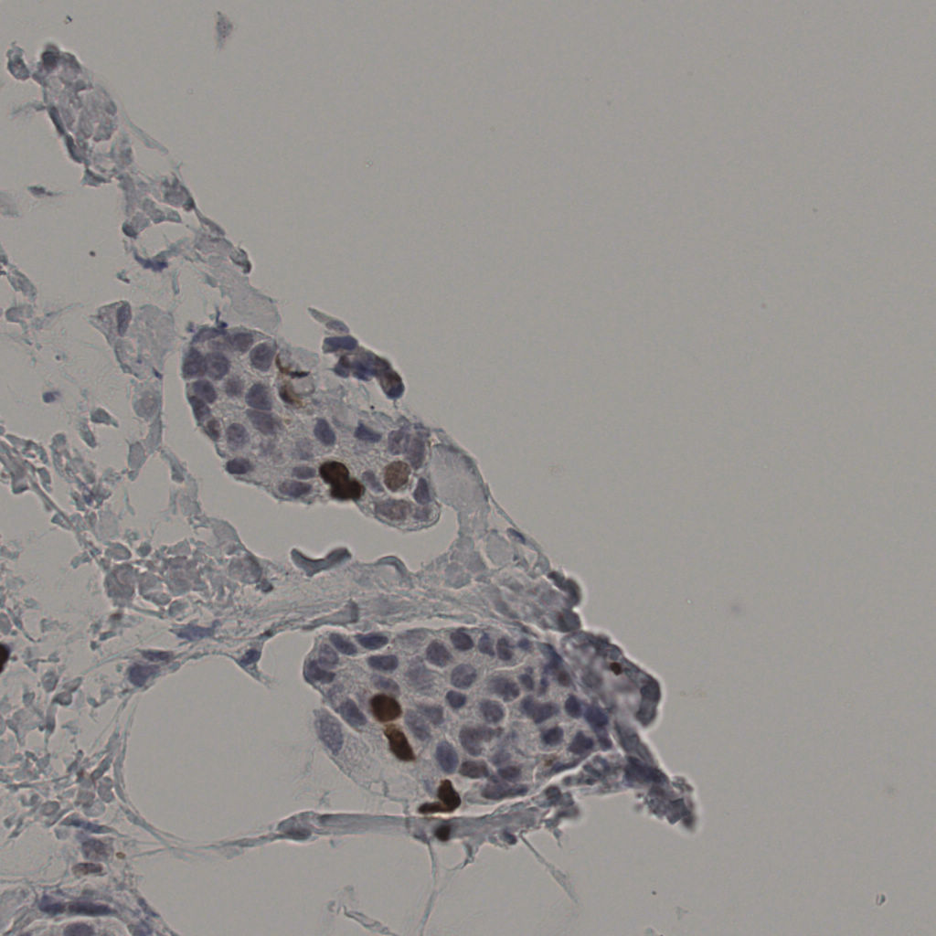
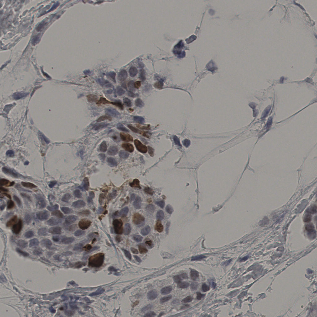
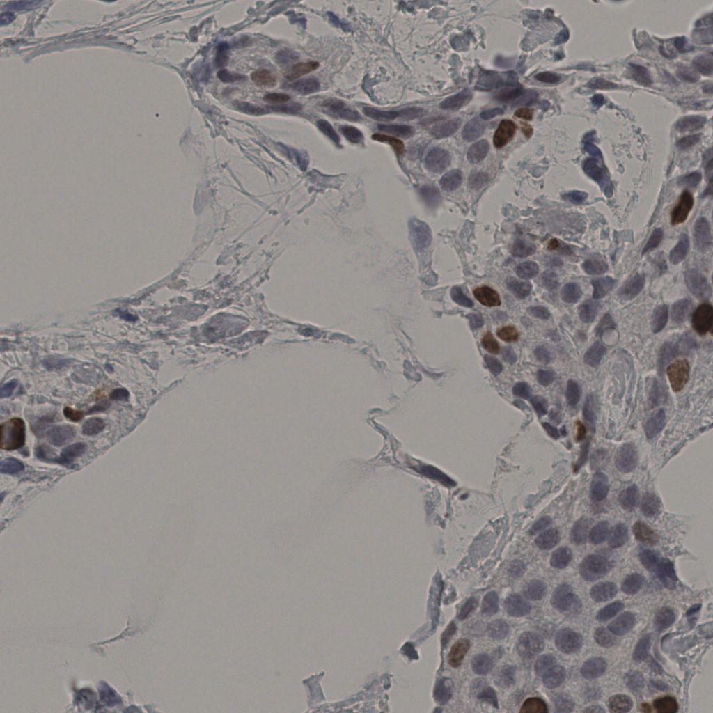
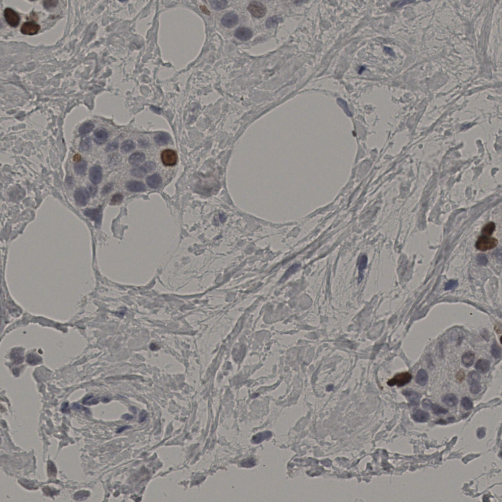
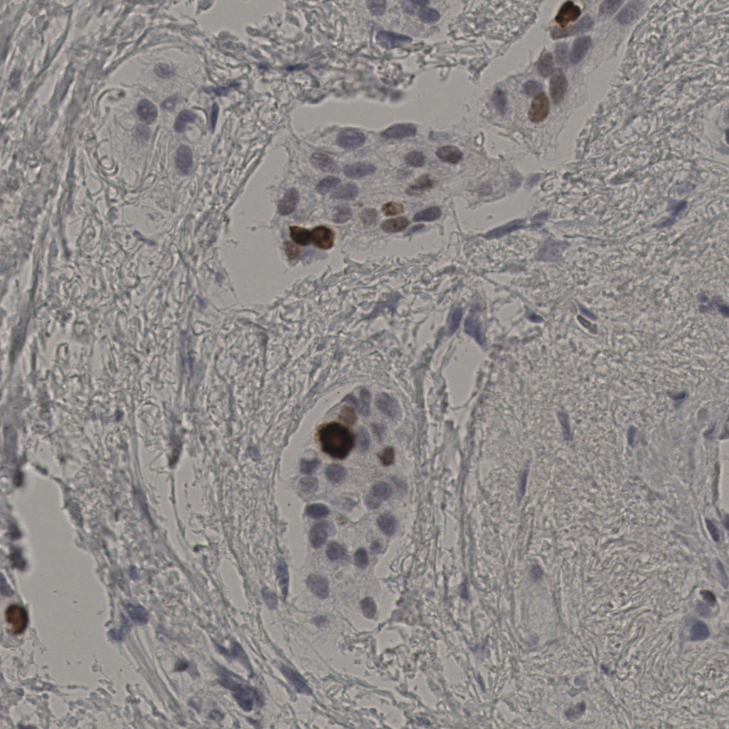
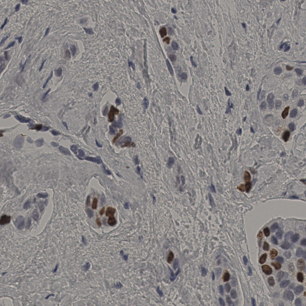
5.31%
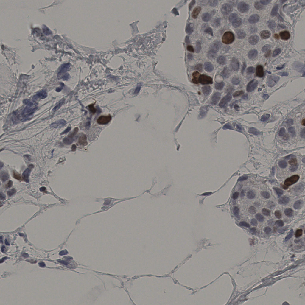
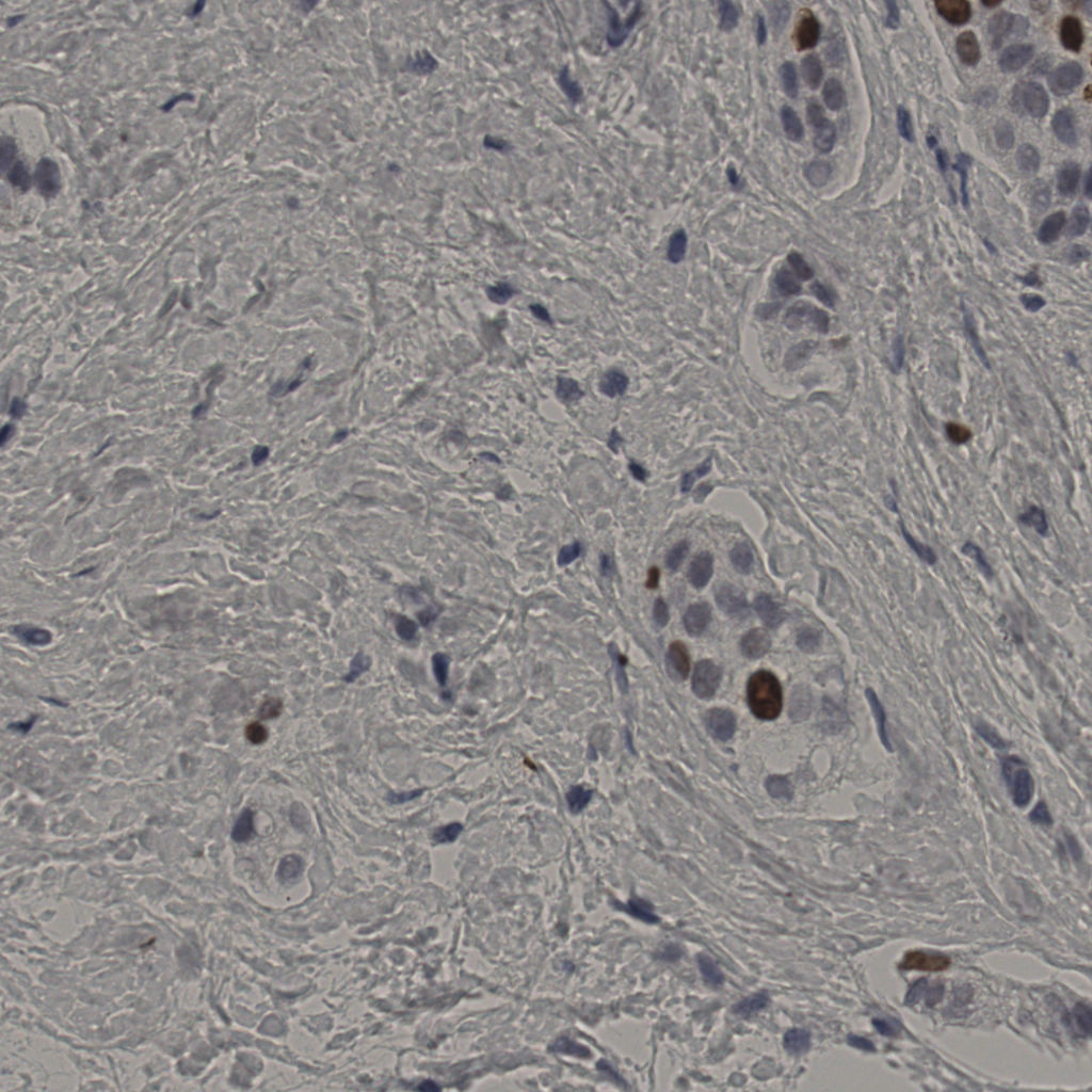
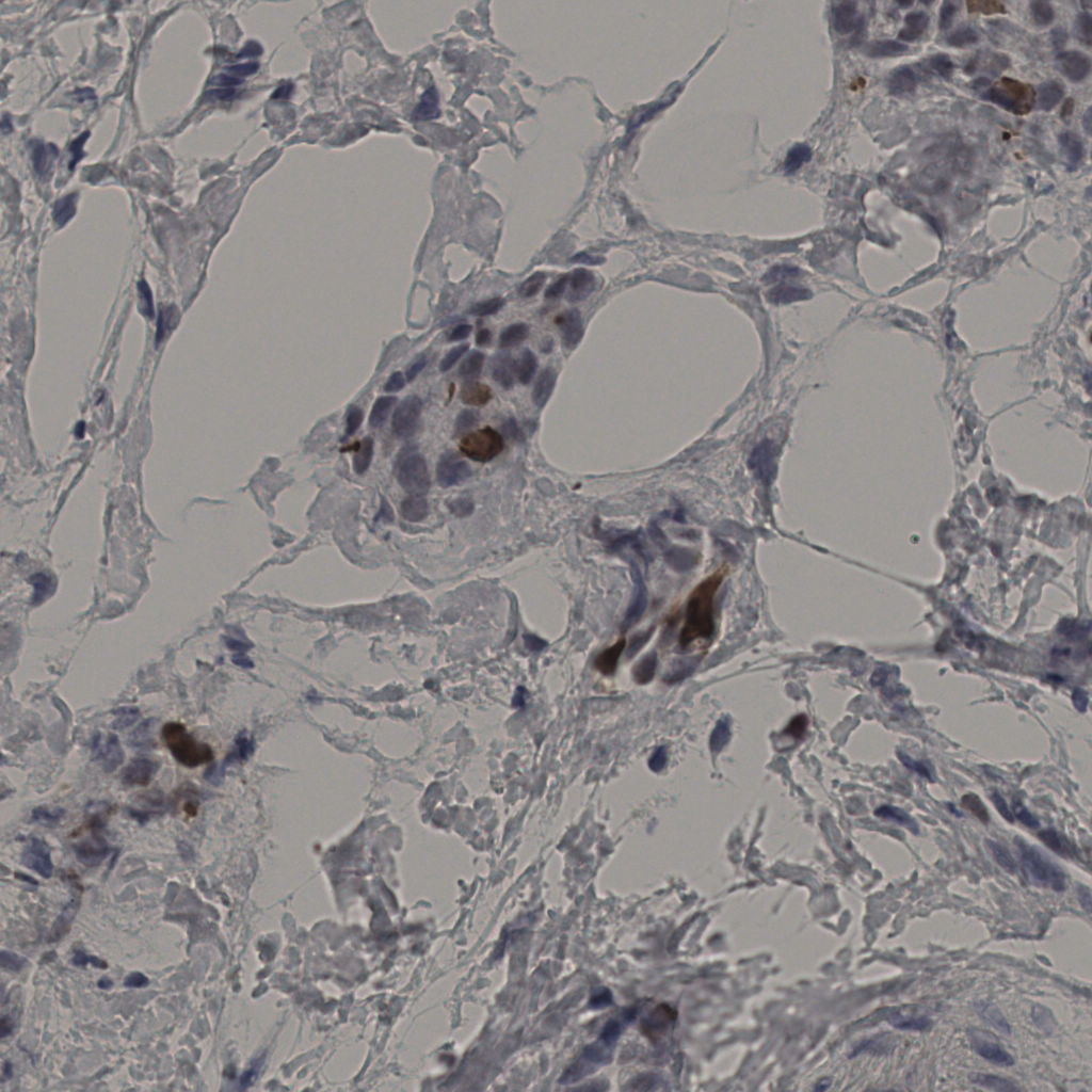
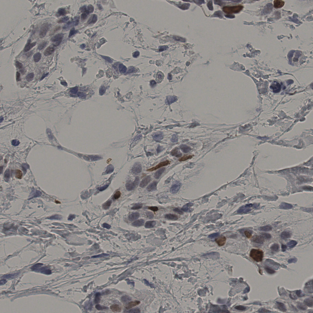
Ki67 指数
阴 19502 阳 1093
处理信息
状态 处理完成
上传 2026-04-09 16:49
耗时 4998秒
切片统计
总切片 2970
有效 554
已标记 554
有效率 19%
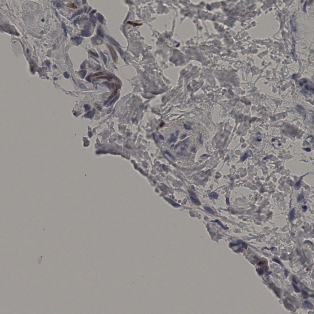
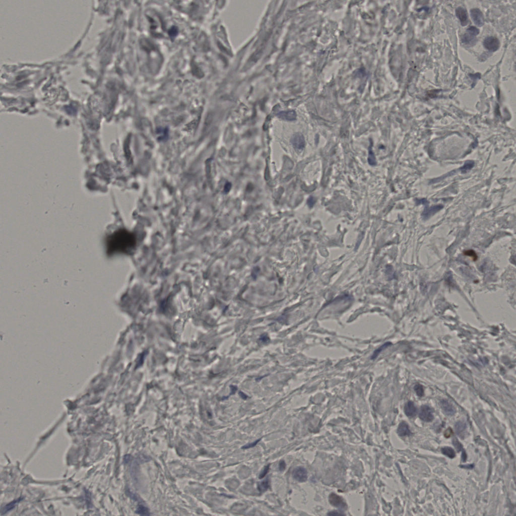
缩略图
20240398Ki-67.ndpi
slice_36_9_x32256_y8064.png
slice_36_9_x32256...
slice_37_10_x33152_y8960.png
slice_37_10_x3315...
slice_37_11_x33152_y9856.png
slice_37_11_x3315...
slice_37_12_x33152_y10752.png
slice_37_12_x3315...
slice_37_13_x33152_y11648.png
slice_37_13_x3315...
slice_37_14_x33152_y12544.png
slice_37_14_x3315...
slice_37_15_x33152_y13440.png
slice_37_15_x3315...
slice_37_16_x33152_y14336.png
slice_37_16_x3315...
slice_37_22_x33152_y19712.png
slice_37_22_x3315...
slice_37_23_x33152_y20608.png
slice_37_23_x3315...
slice_37_24_x33152_y21504.png
slice_37_24_x3315...
slice_37_25_x33152_y22400.png
slice_37_25_x3315...
slice_37_26_x33152_y23296.png
slice_37_26_x3315...
slice_37_28_x33152_y25088.png
slice_37_28_x3315...
slice_37_29_x33152_y25984.png
slice_37_29_x3315...
slice_37_30_x33152_y26880.png
slice_37_30_x3315...
slice_37_31_x33152_y27776.png
slice_37_31_x3315...
slice_37_32_x33152_y28672.png
slice_37_32_x3315...
slice_37_33_x33152_y29568.png
slice_37_33_x3315...
slice_37_7_x33152_y6272.png
slice_37_7_x33152...
第 18 / 28 页,共 554 张