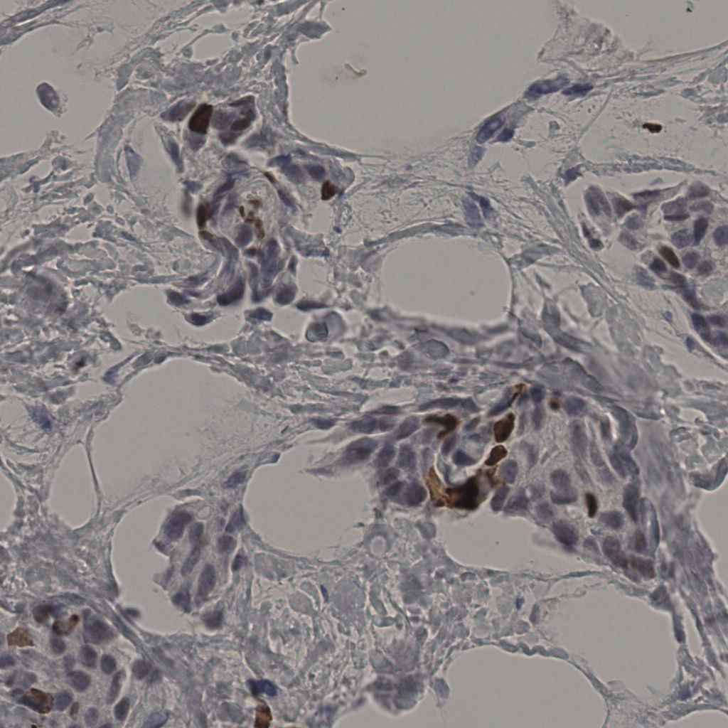
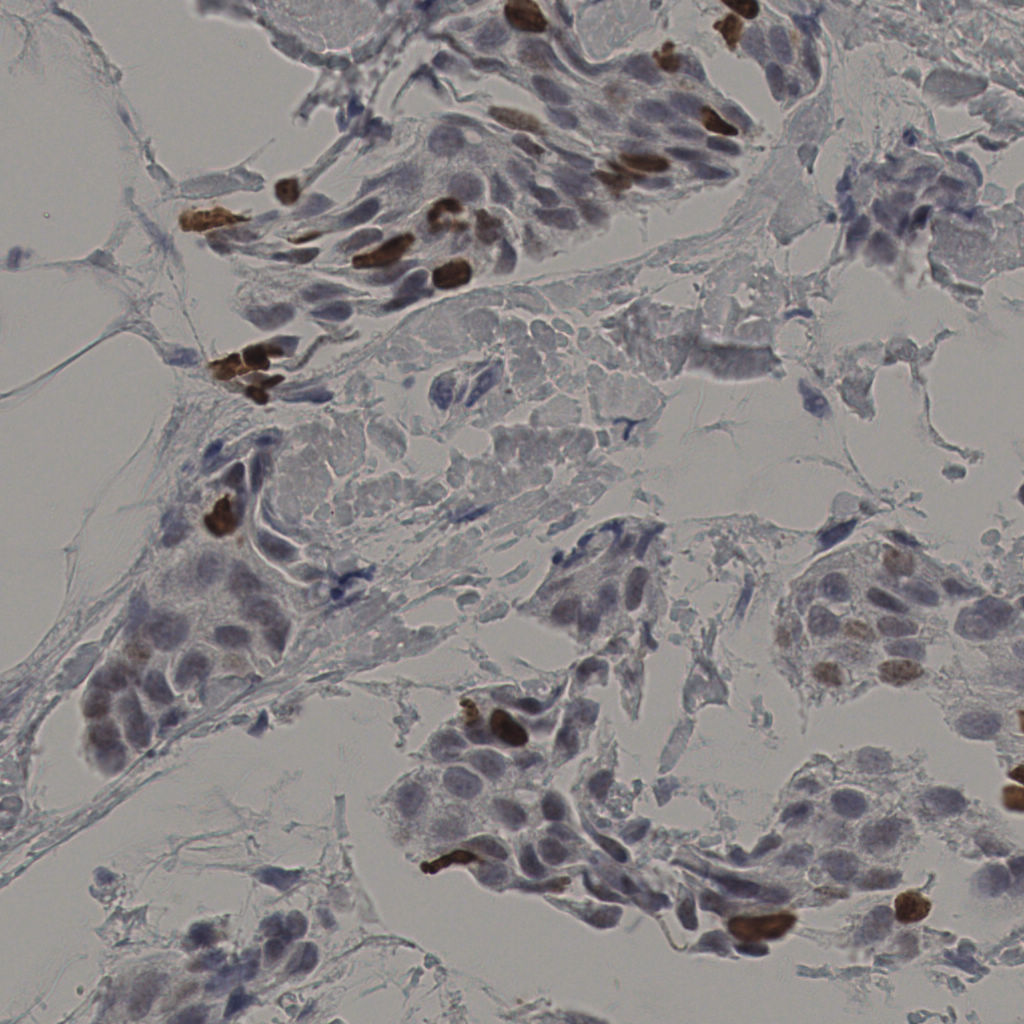
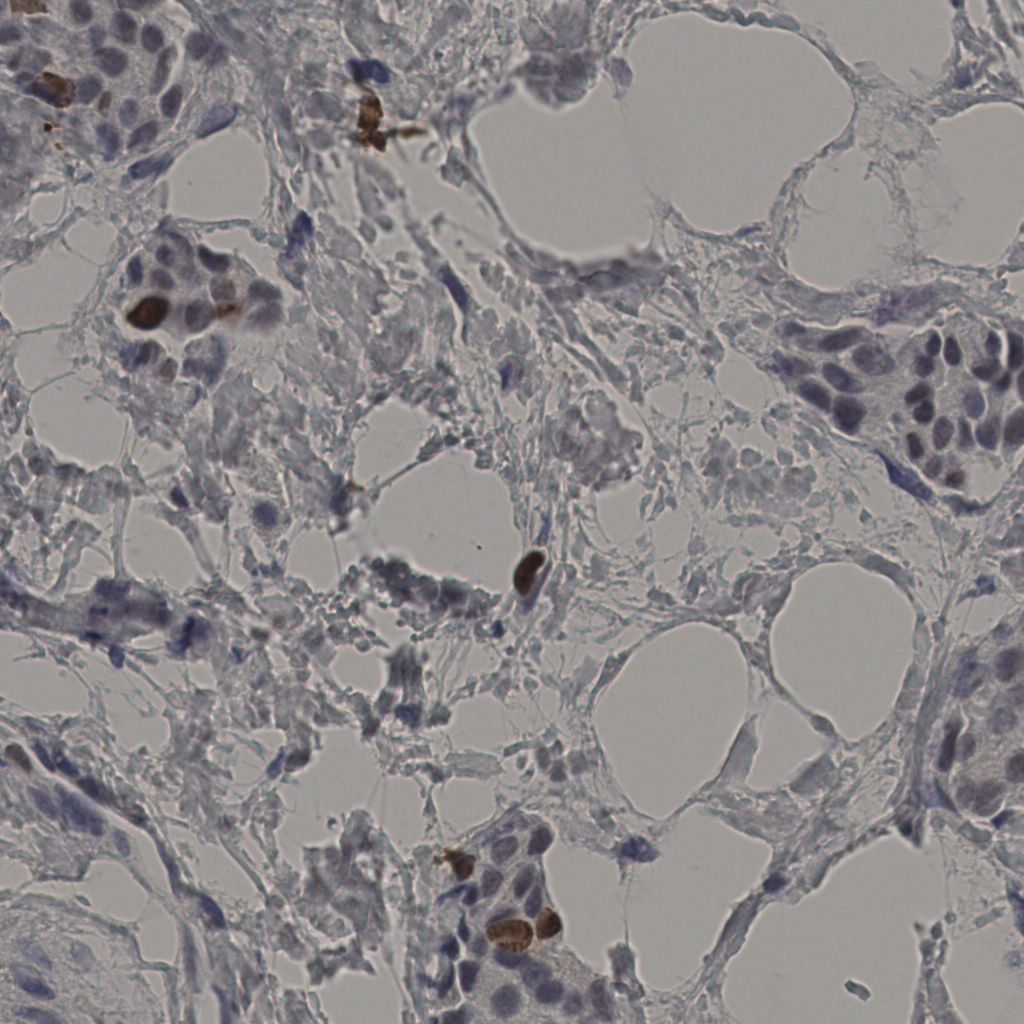
5.31%
Ki67 指数
阴 19502 阳 1093
处理信息
状态 处理完成
上传 2026-04-09 16:49
耗时 4998秒
切片统计
总切片 2970
有效 554
已标记 554
有效率 19%
缩略图
20240398Ki-67.ndpi
slice_37_8_x33152_y7168.png
slice_37_8_x33152...
slice_37_9_x33152_y8064.png
slice_37_9_x33152...
slice_38_10_x34048_y8960.png
slice_38_10_x3404...
slice_38_11_x34048_y9856.png
slice_38_11_x3404...
slice_38_12_x34048_y10752.png
slice_38_12_x3404...
slice_38_13_x34048_y11648.png
slice_38_13_x3404...
slice_38_14_x34048_y12544.png
slice_38_14_x3404...
slice_38_15_x34048_y13440.png
slice_38_15_x3404...
slice_38_16_x34048_y14336.png
slice_38_16_x3404...
slice_38_17_x34048_y15232.png
slice_38_17_x3404...
slice_38_18_x34048_y16128.png
slice_38_18_x3404...
slice_38_22_x34048_y19712.png
slice_38_22_x3404...
slice_38_23_x34048_y20608.png
slice_38_23_x3404...
slice_38_24_x34048_y21504.png
slice_38_24_x3404...
slice_38_25_x34048_y22400.png
slice_38_25_x3404...
slice_38_26_x34048_y23296.png
slice_38_26_x3404...
slice_38_28_x34048_y25088.png
slice_38_28_x3404...
slice_38_29_x34048_y25984.png
slice_38_29_x3404...
slice_38_30_x34048_y26880.png
slice_38_30_x3404...
slice_38_31_x34048_y27776.png
slice_38_31_x3404...
第 19 / 28 页,共 554 张