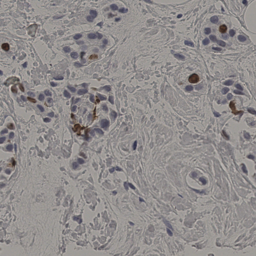
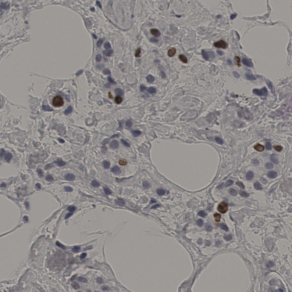
5.31%
Ki67 指数
阴 19502
阳 1093
处理信息
状态
处理完成
上传
2026-04-09 16:49
耗时
4998秒
切片统计
总切片
2970
有效
554
已标记
554
有效率
19%
缩略图
slice_12_44_x1075...
slice_12_45_x1075...
slice_12_46_x1075...
slice_12_47_x1075...
slice_12_48_x1075...
slice_13_39_x1164...
slice_13_40_x1164...
slice_13_41_x1164...
slice_13_42_x1164...
slice_13_43_x1164...
slice_13_45_x1164...
slice_13_46_x1164...
slice_13_47_x1164...
slice_13_48_x1164...
slice_14_38_x1254...
slice_14_39_x1254...
slice_14_40_x1254...
slice_14_41_x1254...
slice_14_42_x1254...
slice_14_43_x1254...
标记后
标记前