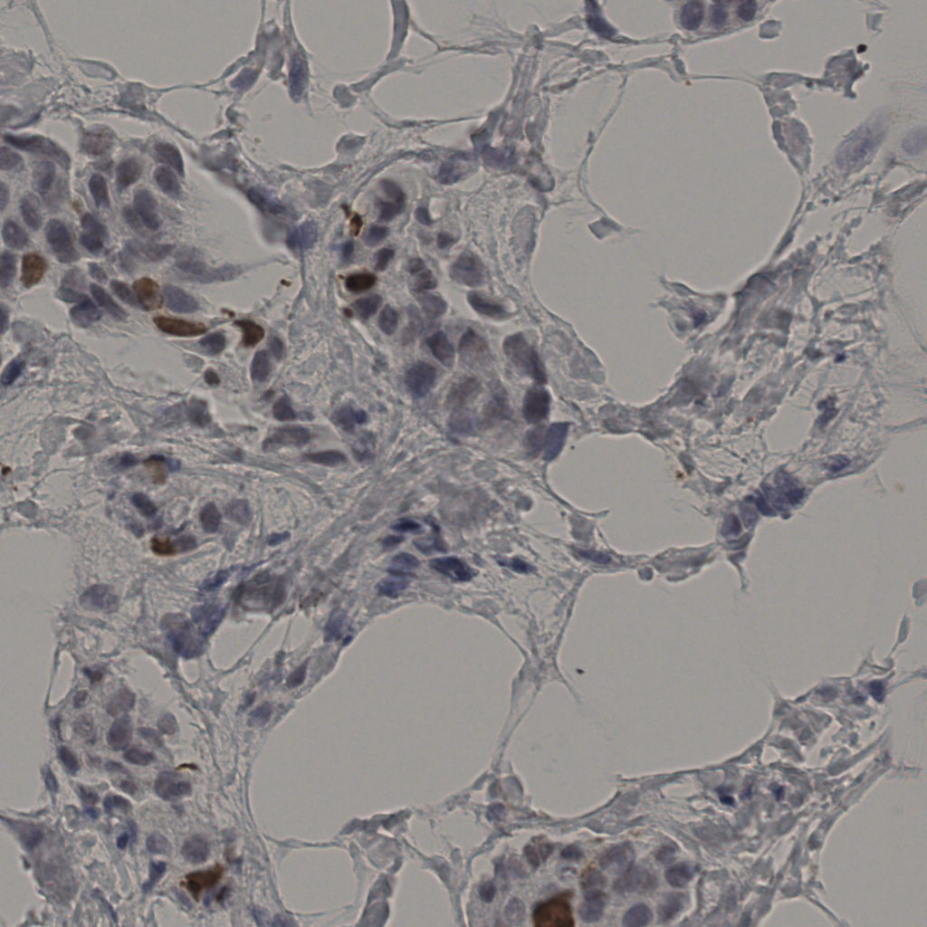
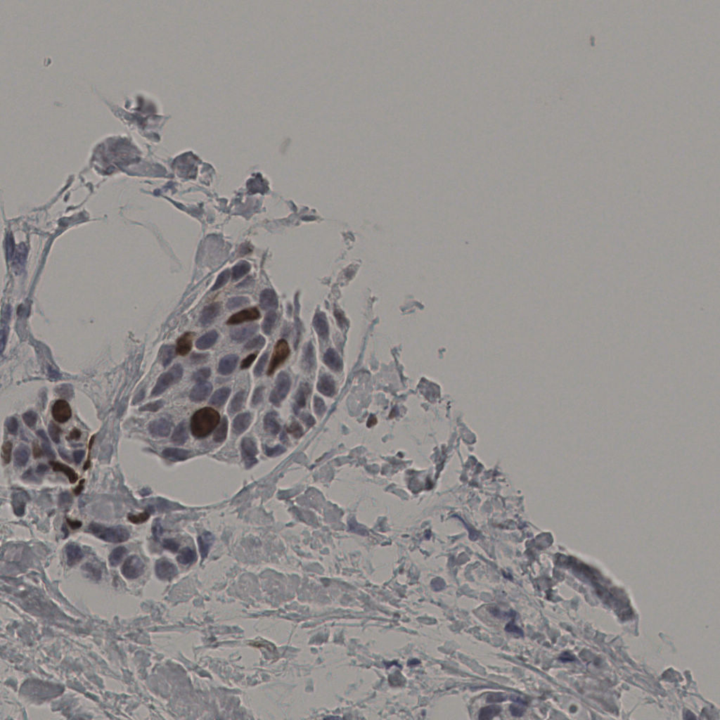
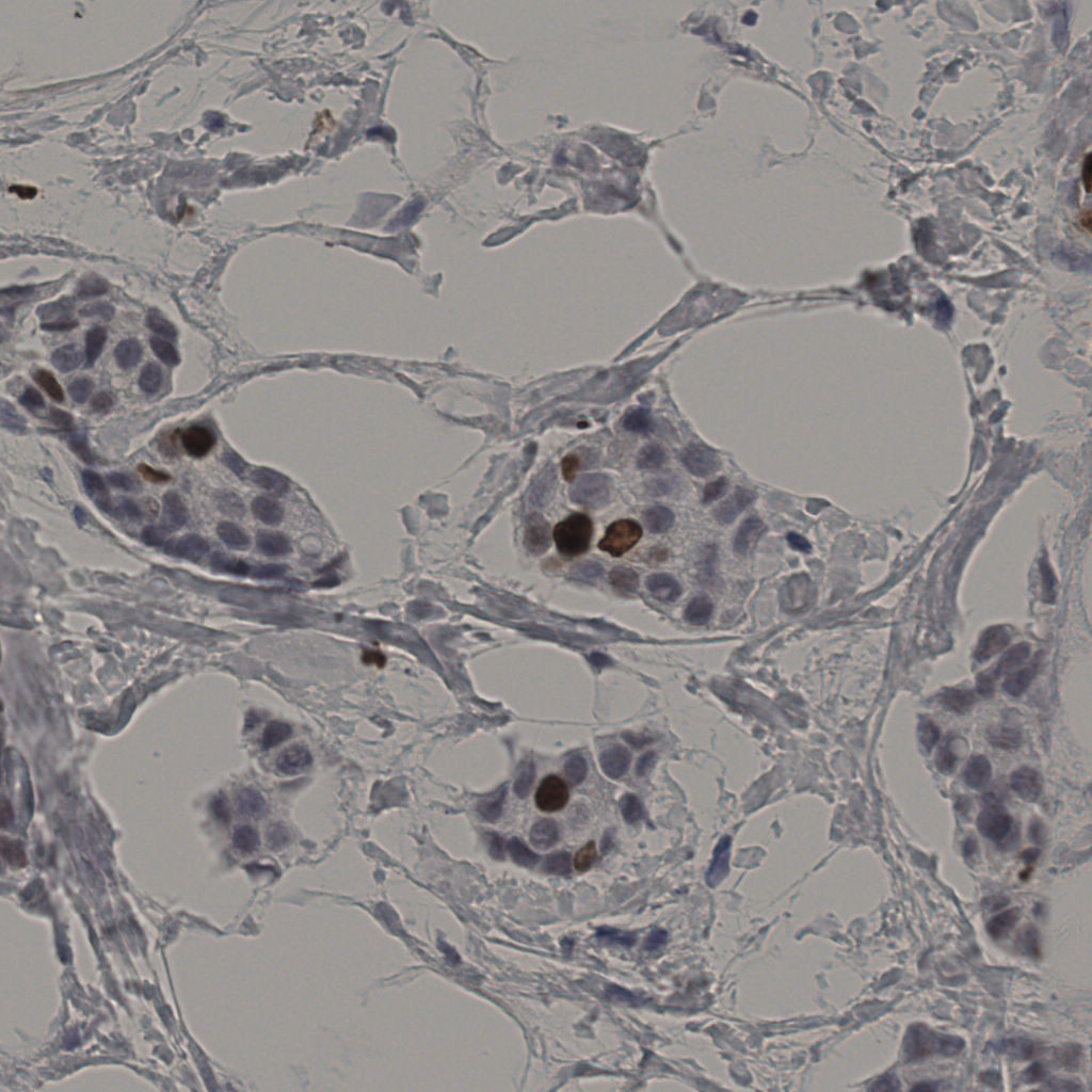
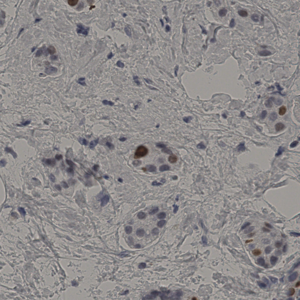
5.31%
Ki67 指数
阴 19502
阳 1093
处理信息
状态
处理完成
上传
2026-04-09 16:49
耗时
4998秒
切片统计
总切片
2970
有效
554
已标记
554
有效率
19%
缩略图
slice_38_32_x3404...
slice_38_33_x3404...
slice_38_8_x34048...
slice_38_9_x34048...
slice_39_10_x3494...
slice_39_11_x3494...
slice_39_12_x3494...
slice_39_13_x3494...
slice_39_14_x3494...
slice_39_15_x3494...
slice_39_16_x3494...
slice_39_17_x3494...
slice_39_18_x3494...
slice_39_19_x3494...
slice_39_23_x3494...
slice_39_24_x3494...
slice_39_25_x3494...
slice_39_26_x3494...
slice_39_27_x3494...
slice_39_28_x3494...
标记后
标记前