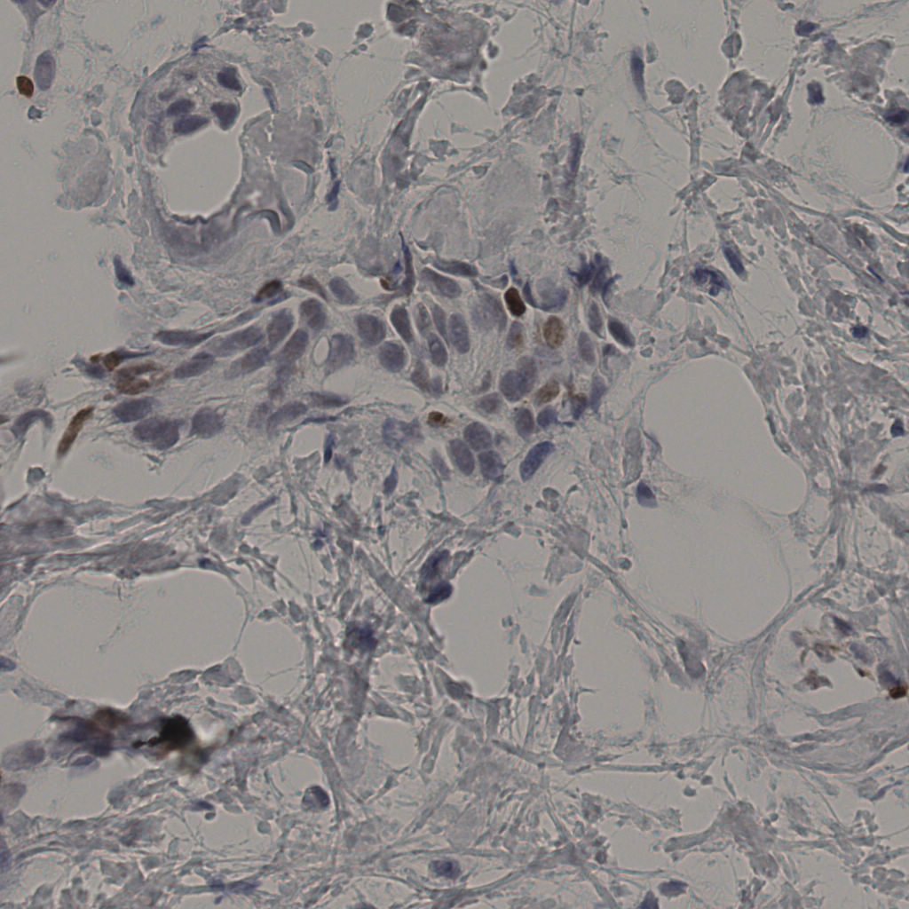
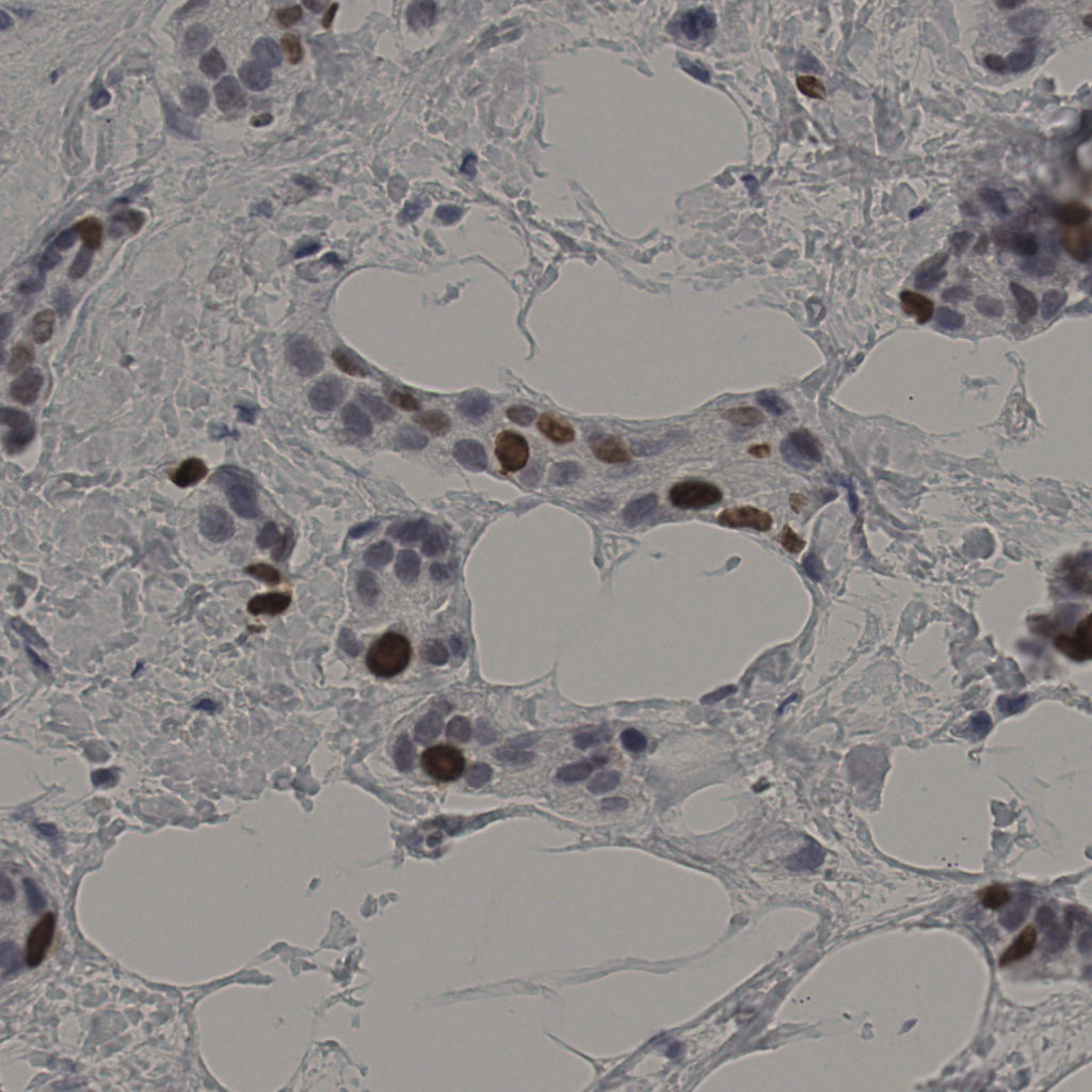
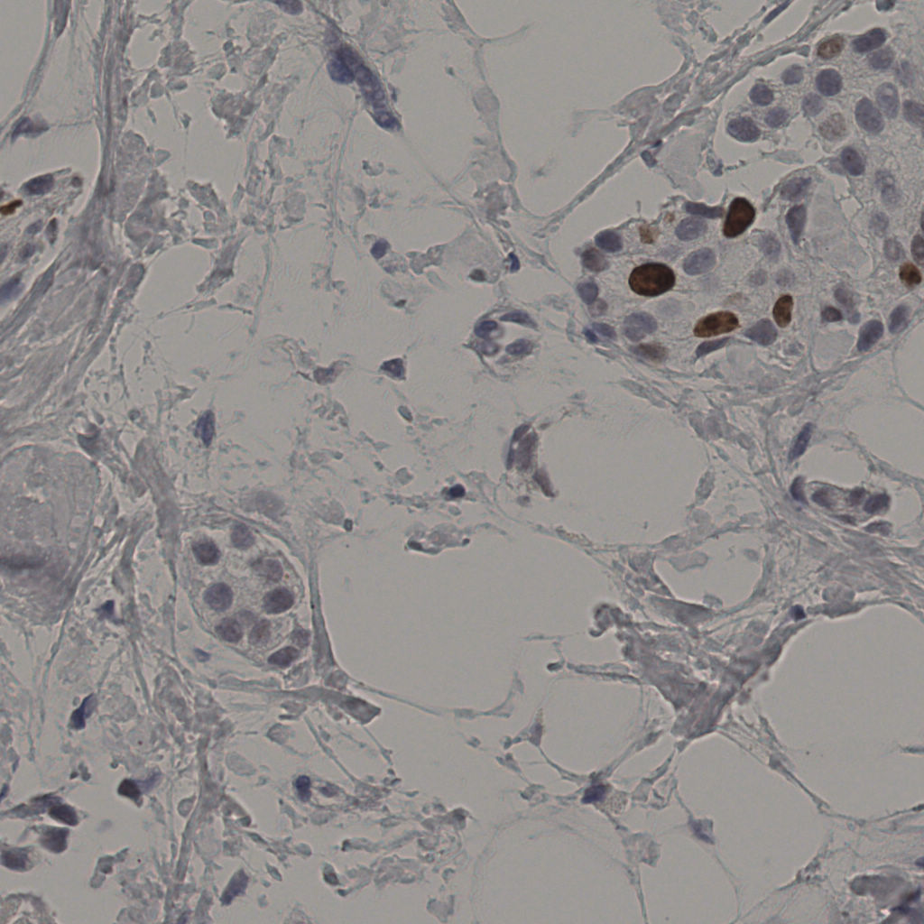
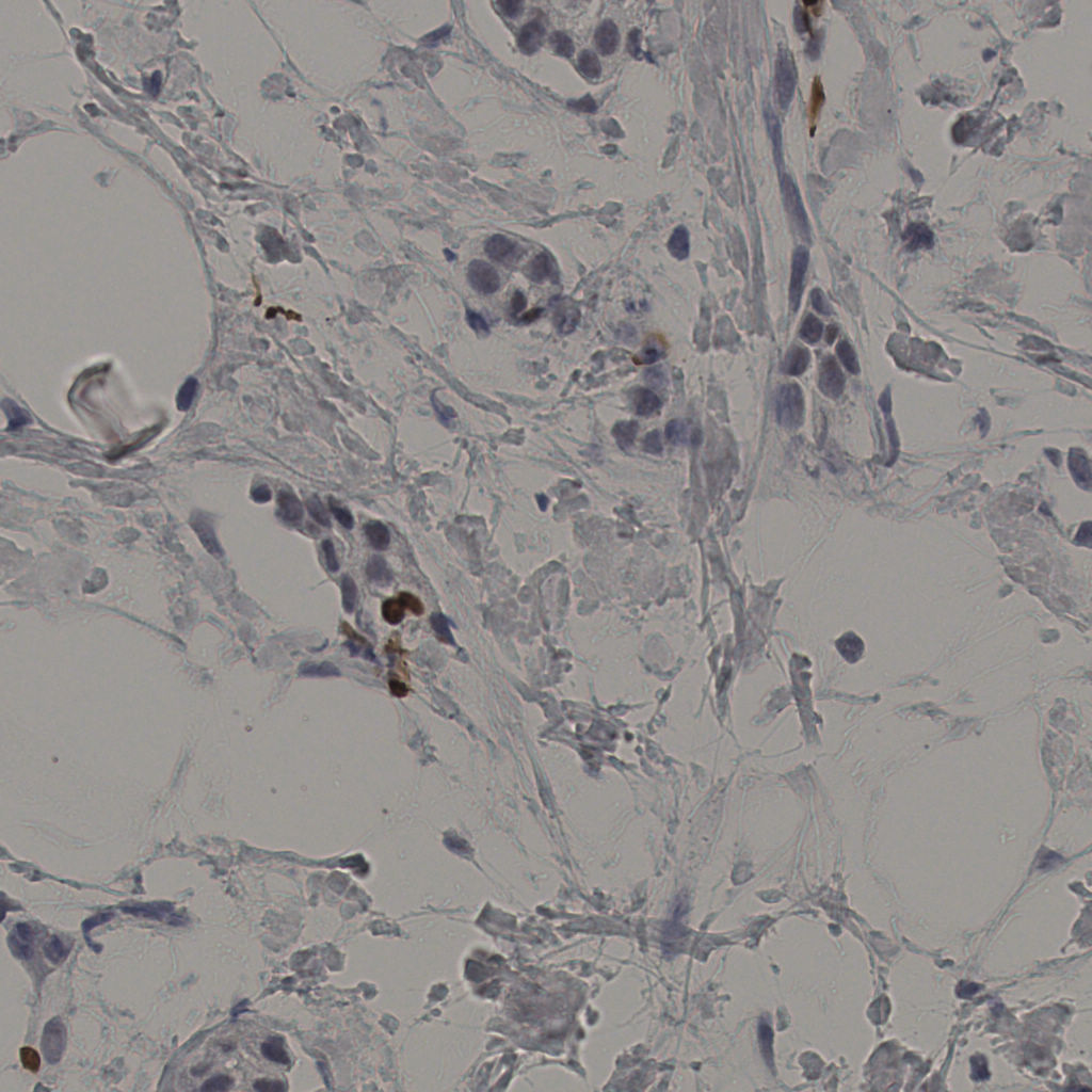
5.31%
Ki67 指数
阴 19502
阳 1093
处理信息
状态
处理完成
上传
2026-04-09 16:49
耗时
4998秒
切片统计
总切片
2970
有效
554
已标记
554
有效率
19%
缩略图
slice_40_25_x3584...
slice_40_26_x3584...
slice_40_27_x3584...
slice_40_28_x3584...
slice_40_29_x3584...
slice_40_30_x3584...
slice_40_31_x3584...
slice_40_32_x3584...
slice_41_14_x3673...
slice_41_15_x3673...
slice_41_16_x3673...
slice_41_17_x3673...
slice_41_18_x3673...
slice_41_19_x3673...
slice_41_20_x3673...
slice_41_22_x3673...
slice_41_23_x3673...
slice_41_24_x3673...
slice_41_25_x3673...
slice_41_26_x3673...
标记后
标记前