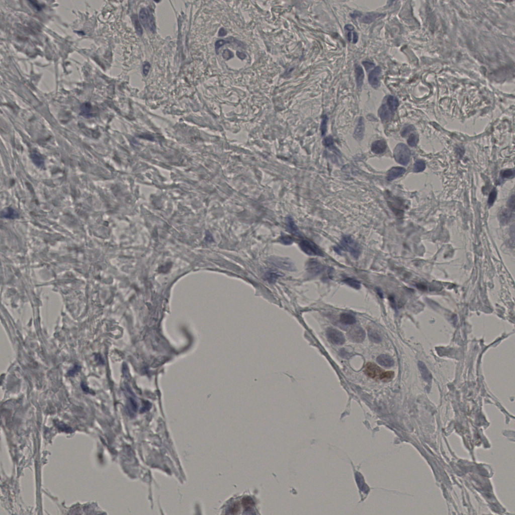
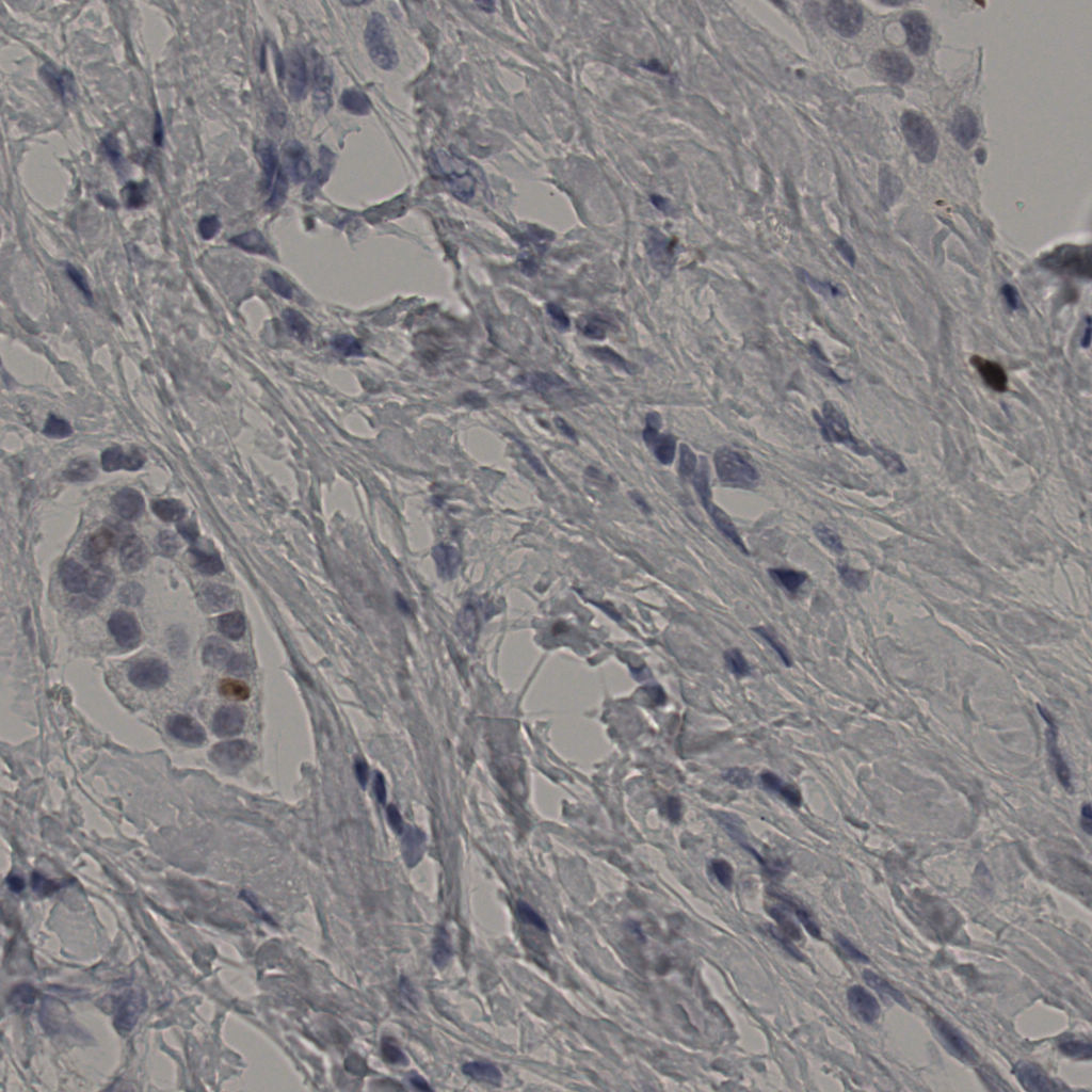
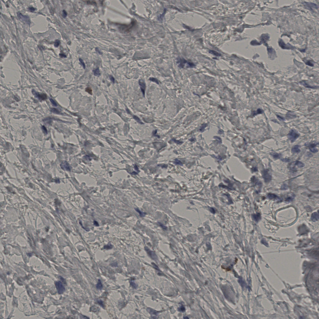
5.31%
Ki67 指数
阴 19502 阳 1093
处理信息
状态 处理完成
上传 2026-04-09 16:49
耗时 4998秒
切片统计
总切片 2970
有效 554
已标记 554
有效率 19%
缩略图
20240398Ki-67.ndpi
slice_42_31_x37632_y27776.png
slice_42_31_x3763...
slice_43_26_x38528_y23296.png
slice_43_26_x3852...
slice_43_27_x38528_y24192.png
slice_43_27_x3852...
slice_43_28_x38528_y25088.png
slice_43_28_x3852...
slice_43_29_x38528_y25984.png
slice_43_29_x3852...
slice_43_30_x38528_y26880.png
slice_43_30_x3852...
slice_43_31_x38528_y27776.png
slice_43_31_x3852...
slice_44_25_x39424_y22400.png
slice_44_25_x3942...
slice_44_26_x39424_y23296.png
slice_44_26_x3942...
slice_44_27_x39424_y24192.png
slice_44_27_x3942...
slice_44_28_x39424_y25088.png
slice_44_28_x3942...
slice_44_29_x39424_y25984.png
slice_44_29_x3942...
slice_44_30_x39424_y26880.png
slice_44_30_x3942...
slice_44_31_x39424_y27776.png
slice_44_31_x3942...
slice_45_24_x40320_y21504.png
slice_45_24_x4032...
slice_45_25_x40320_y22400.png
slice_45_25_x4032...
slice_45_26_x40320_y23296.png
slice_45_26_x4032...
slice_45_27_x40320_y24192.png
slice_45_27_x4032...
slice_45_28_x40320_y25088.png
slice_45_28_x4032...
slice_45_29_x40320_y25984.png
slice_45_29_x4032...
第 24 / 28 页,共 554 张