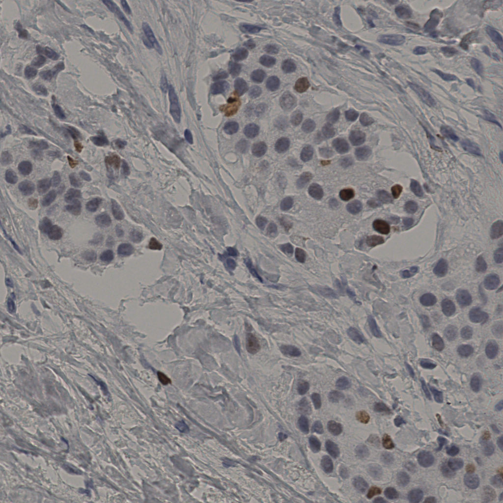
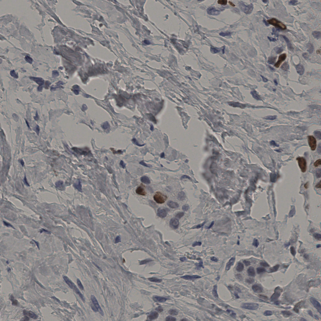
5.31%
Ki67 指数
阴 19502 阳 1093
处理信息
状态 处理完成
上传 2026-04-09 16:49
耗时 4998秒
切片统计
总切片 2970
有效 554
已标记 554
有效率 19%
缩略图
20240398Ki-67.ndpi
slice_45_30_x40320_y26880.png
slice_45_30_x4032...
slice_46_24_x41216_y21504.png
slice_46_24_x4121...
slice_46_25_x41216_y22400.png
slice_46_25_x4121...
slice_46_26_x41216_y23296.png
slice_46_26_x4121...
slice_46_27_x41216_y24192.png
slice_46_27_x4121...
slice_46_28_x41216_y25088.png
slice_46_28_x4121...
slice_46_29_x41216_y25984.png
slice_46_29_x4121...
slice_47_14_x42112_y12544.png
slice_47_14_x4211...
slice_47_15_x42112_y13440.png
slice_47_15_x4211...
slice_47_24_x42112_y21504.png
slice_47_24_x4211...
slice_47_25_x42112_y22400.png
slice_47_25_x4211...
slice_47_26_x42112_y23296.png
slice_47_26_x4211...
slice_47_27_x42112_y24192.png
slice_47_27_x4211...
slice_47_28_x42112_y25088.png
slice_47_28_x4211...
slice_47_29_x42112_y25984.png
slice_47_29_x4211...
slice_48_16_x43008_y14336.png
slice_48_16_x4300...
slice_48_17_x43008_y15232.png
slice_48_17_x4300...
slice_48_24_x43008_y21504.png
slice_48_24_x4300...
slice_48_25_x43008_y22400.png
slice_48_25_x4300...
slice_48_26_x43008_y23296.png
slice_48_26_x4300...
第 25 / 28 页,共 554 张