5.31%
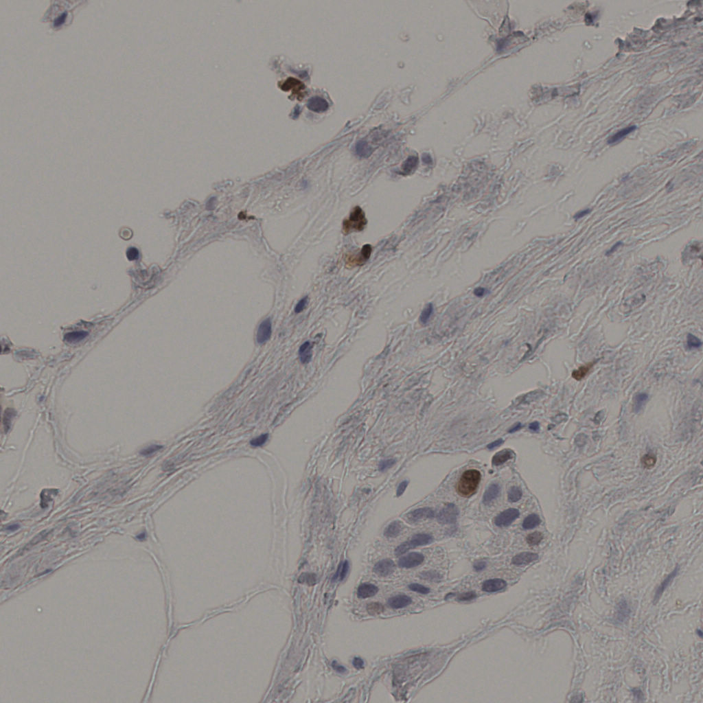
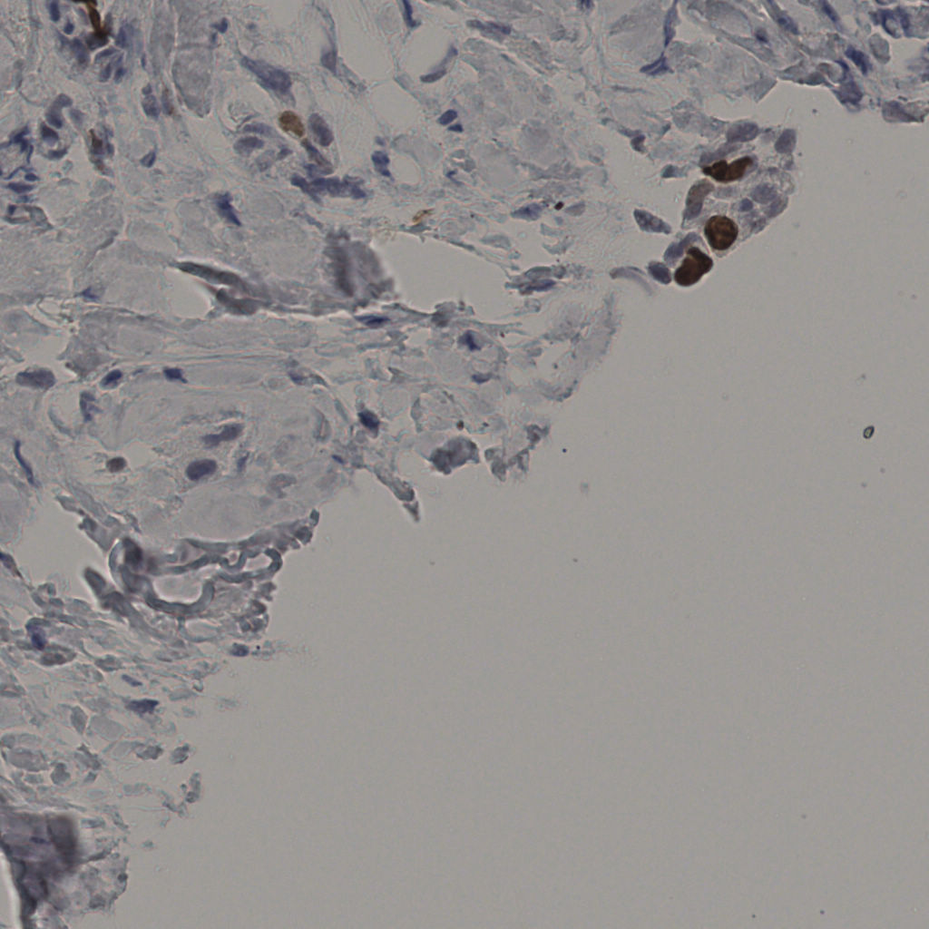
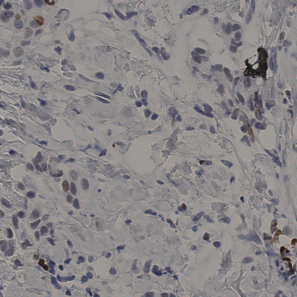
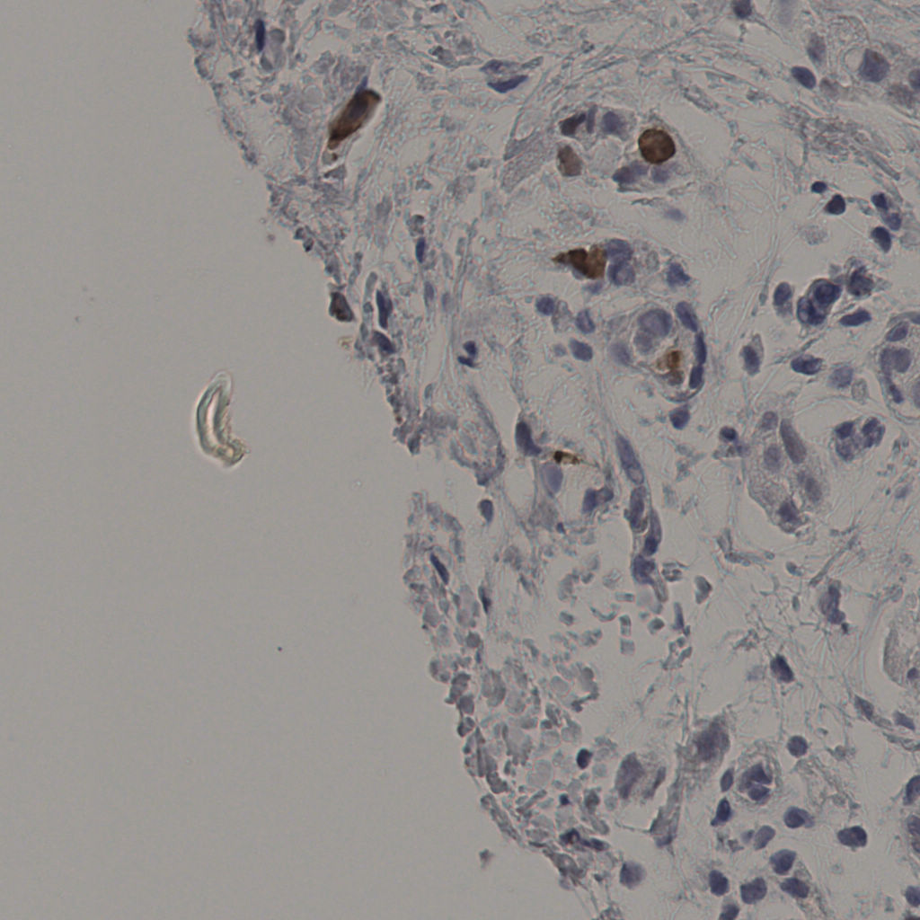
Ki67 指数
阴 19502 阳 1093
处理信息
状态 处理完成
上传 2026-04-09 16:49
耗时 4998秒
切片统计
总切片 2970
有效 554
已标记 554
有效率 19%
缩略图
20240398Ki-67.ndpi
slice_48_27_x43008_y24192.png
slice_48_27_x4300...
slice_48_28_x43008_y25088.png
slice_48_28_x4300...
slice_48_29_x43008_y25984.png
slice_48_29_x4300...
slice_49_26_x43904_y23296.png
slice_49_26_x4390...
slice_49_27_x43904_y24192.png
slice_49_27_x4390...
slice_49_28_x43904_y25088.png
slice_49_28_x4390...
slice_4_12_x3584_y10752.png
slice_4_12_x3584_...
slice_4_13_x3584_y11648.png
slice_4_13_x3584_...
slice_4_14_x3584_y12544.png
slice_4_14_x3584_...
slice_4_15_x3584_y13440.png
slice_4_15_x3584_...
slice_4_41_x3584_y36736.png
slice_4_41_x3584_...
slice_4_43_x3584_y38528.png
slice_4_43_x3584_...
slice_4_44_x3584_y39424.png
slice_4_44_x3584_...
slice_4_45_x3584_y40320.png
slice_4_45_x3584_...
slice_5_12_x4480_y10752.png
slice_5_12_x4480_...
slice_5_34_x4480_y30464.png
slice_5_34_x4480_...
slice_5_35_x4480_y31360.png
slice_5_35_x4480_...
slice_5_40_x4480_y35840.png
slice_5_40_x4480_...
slice_5_41_x4480_y36736.png
slice_5_41_x4480_...
slice_5_42_x4480_y37632.png
slice_5_42_x4480_...
第 26 / 28 页,共 554 张