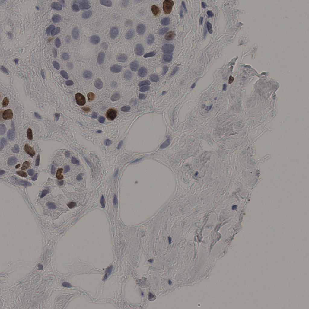
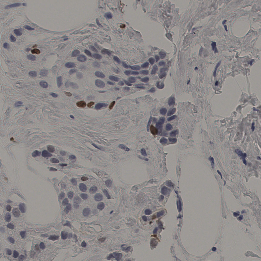
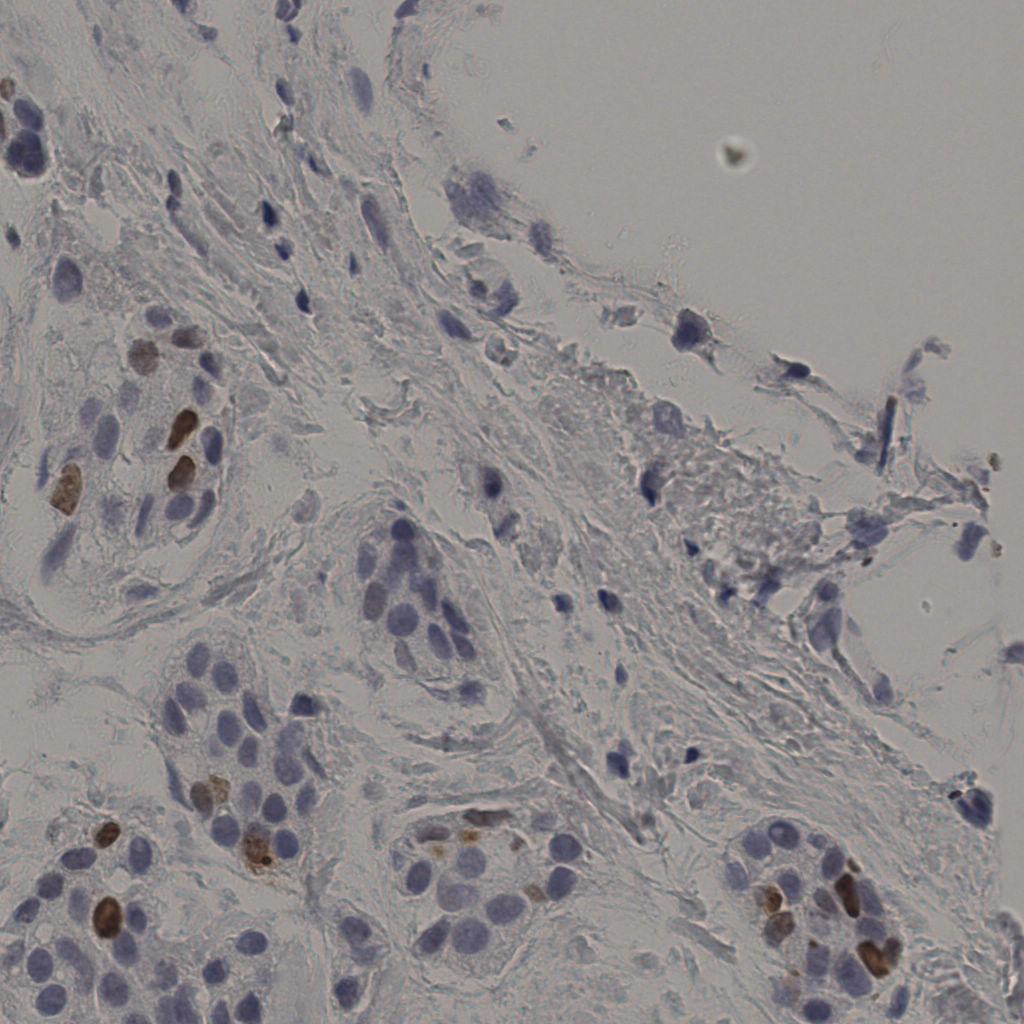
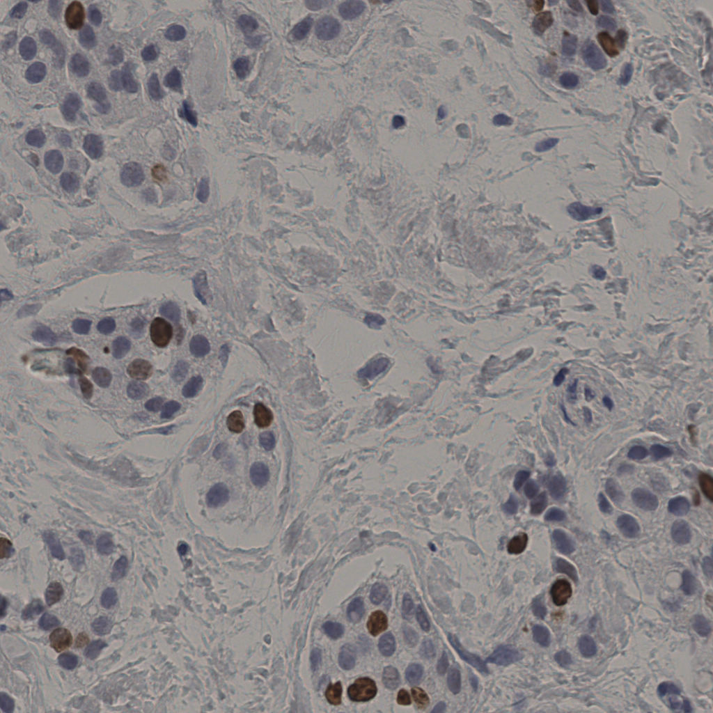
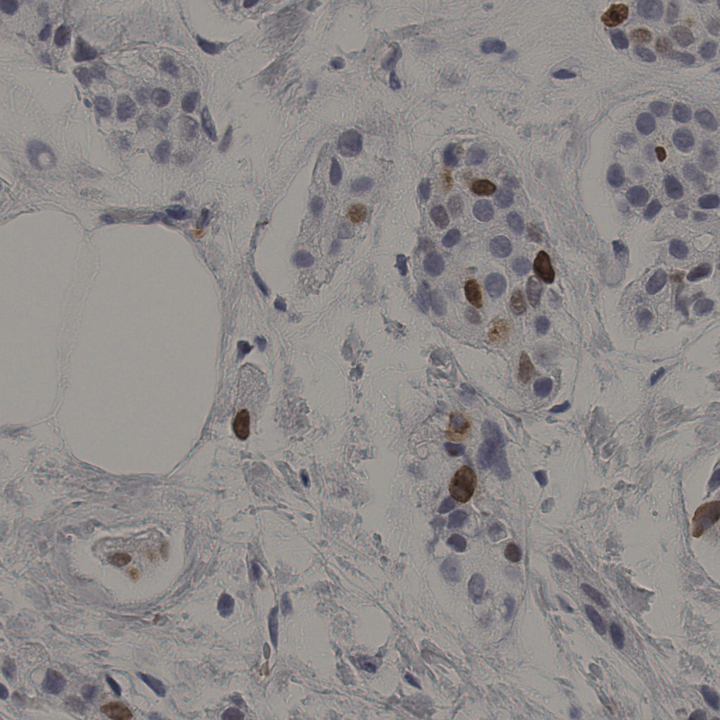
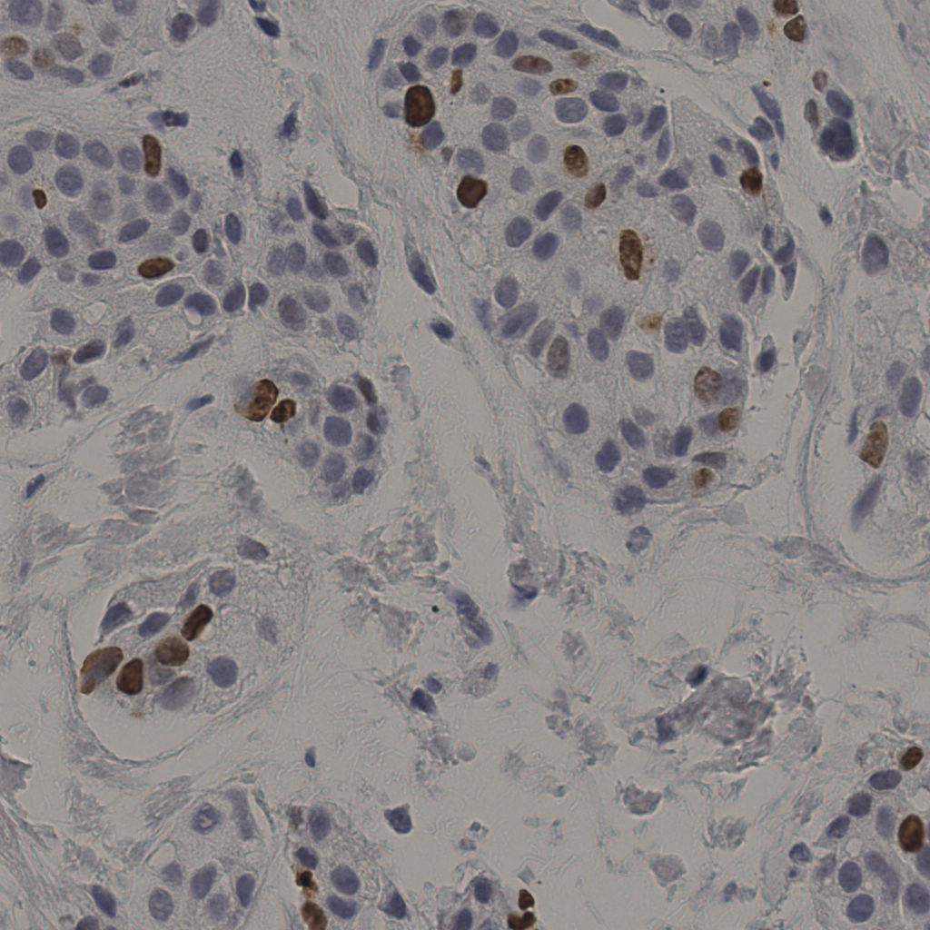
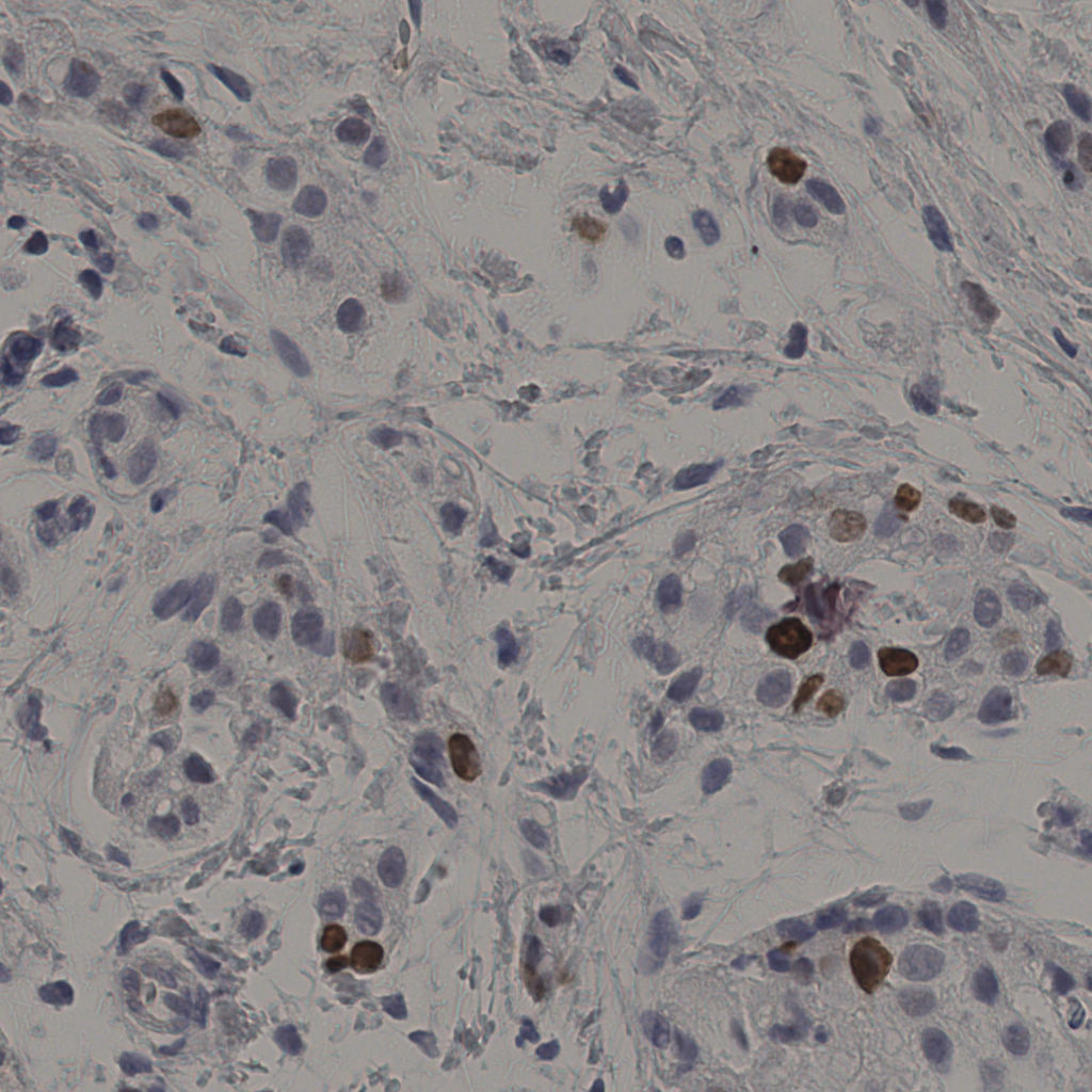
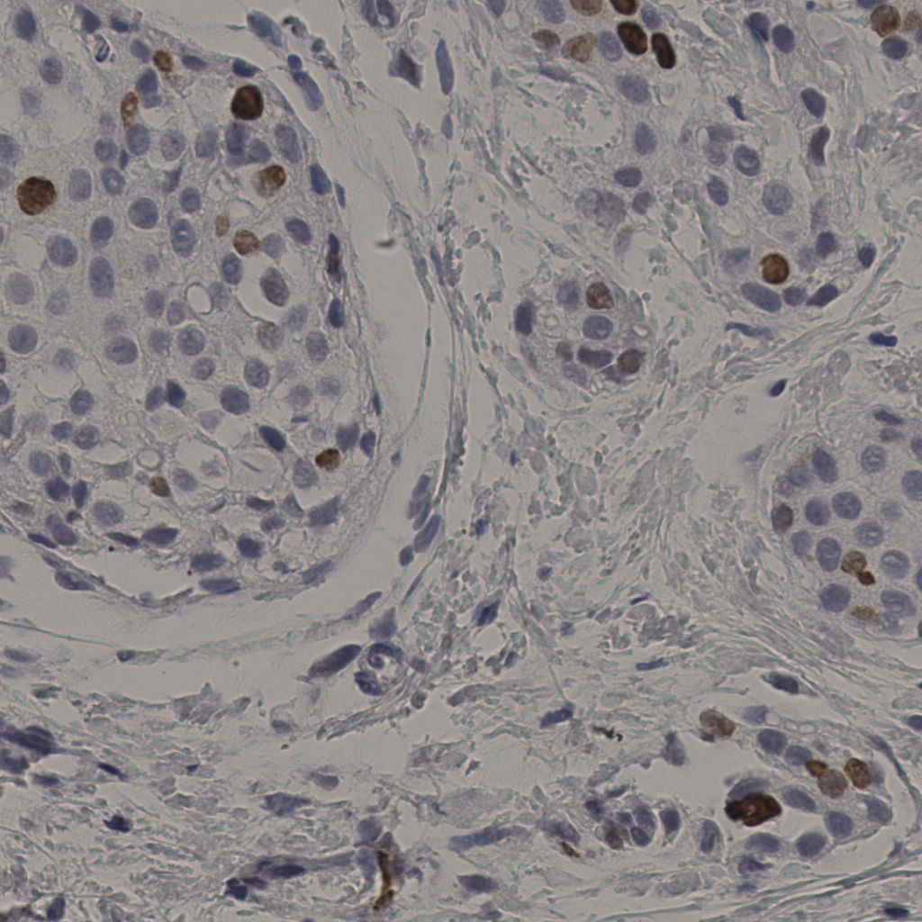
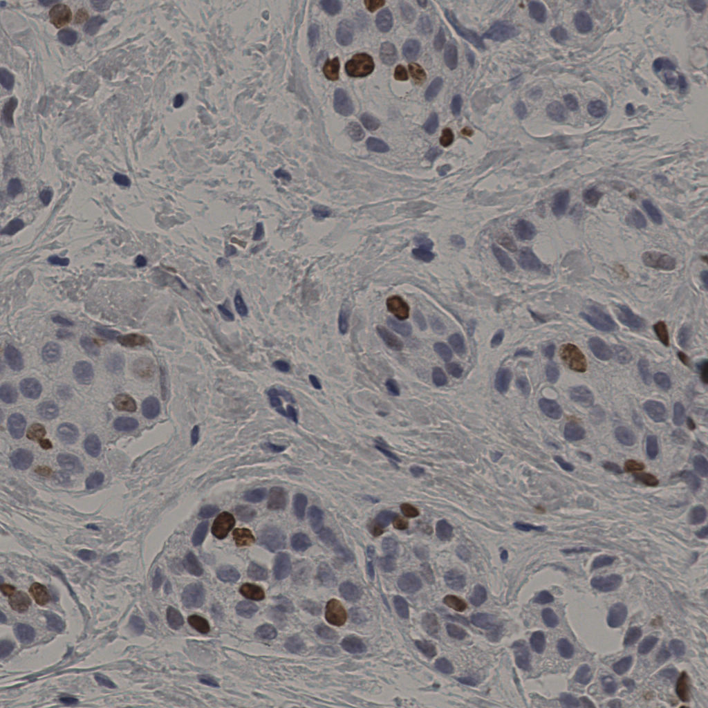
5.31%
Ki67 指数
阴 19502
阳 1093
处理信息
状态
处理完成
上传
2026-04-09 16:49
耗时
4998秒
切片统计
总切片
2970
有效
554
已标记
554
有效率
19%
缩略图
slice_5_43_x4480_...
slice_5_44_x4480_...
slice_5_45_x4480_...
slice_5_46_x4480_...
slice_6_35_x5376_...
slice_6_39_x5376_...
slice_6_40_x5376_...
slice_6_41_x5376_...
slice_6_43_x5376_...
slice_6_44_x5376_...
slice_6_45_x5376_...
slice_6_46_x5376_...
slice_6_47_x5376_...
slice_7_40_x6272_...
slice_7_44_x6272_...
slice_7_45_x6272_...
slice_7_46_x6272_...
slice_7_47_x6272_...
slice_7_48_x6272_...
slice_8_40_x7168_...
标记后
标记前