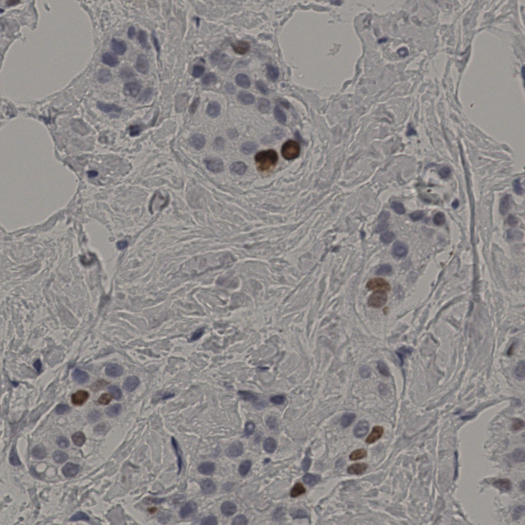
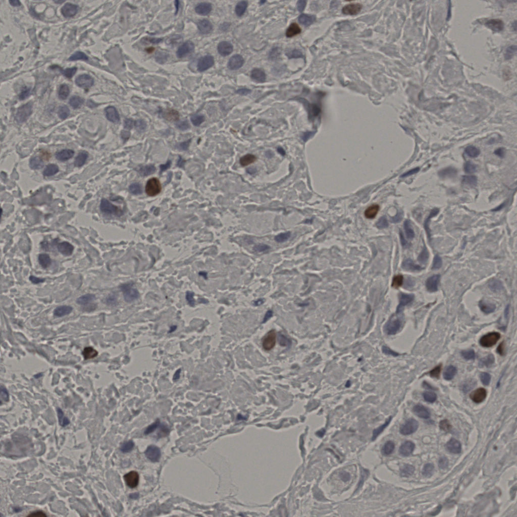
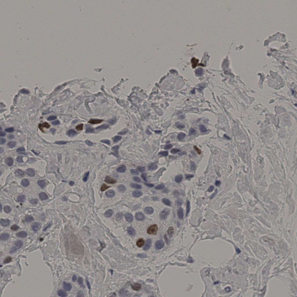
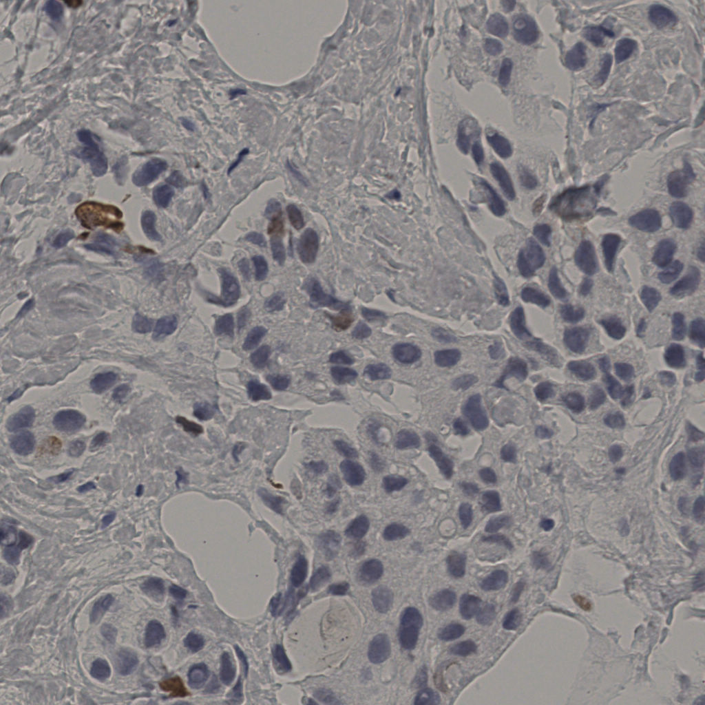
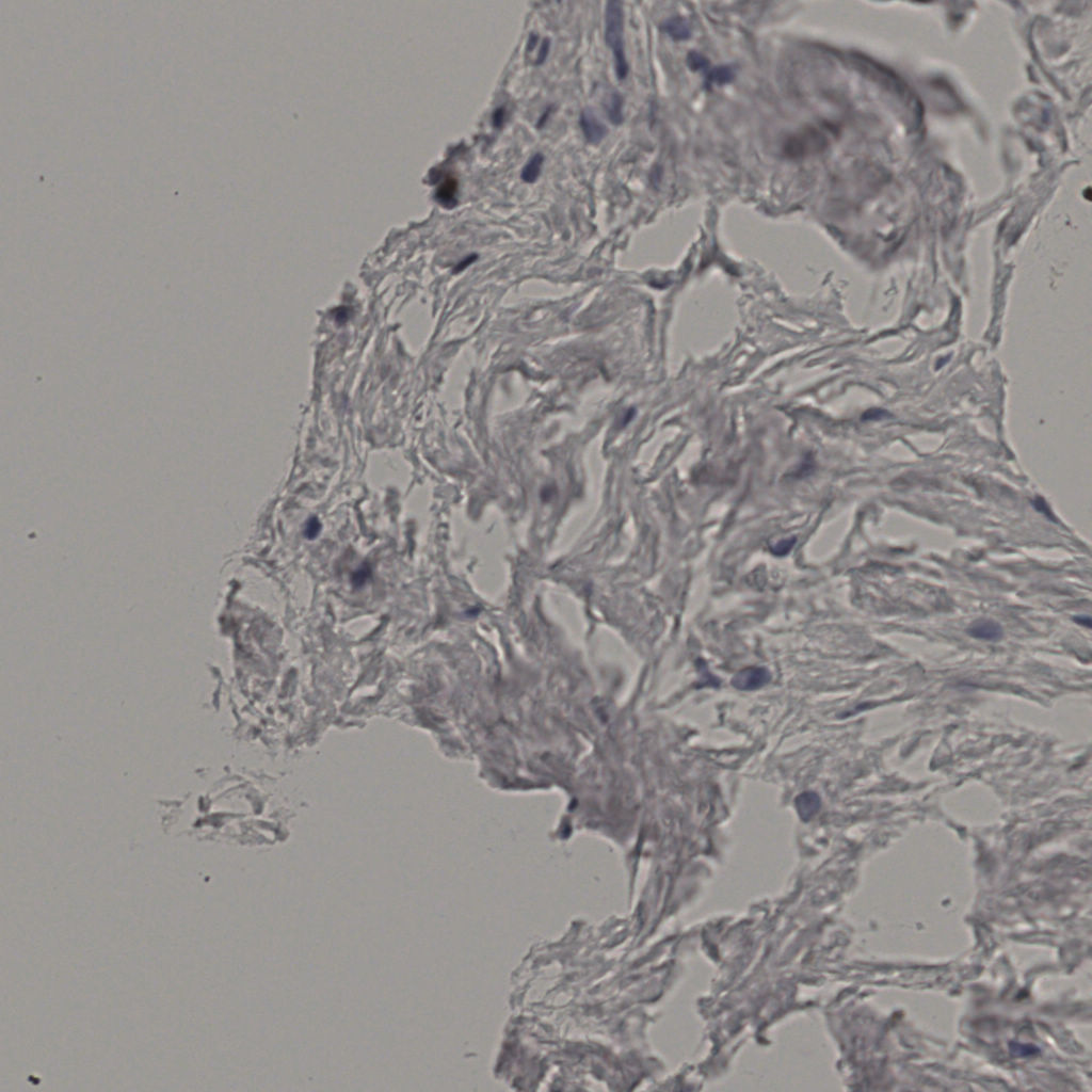
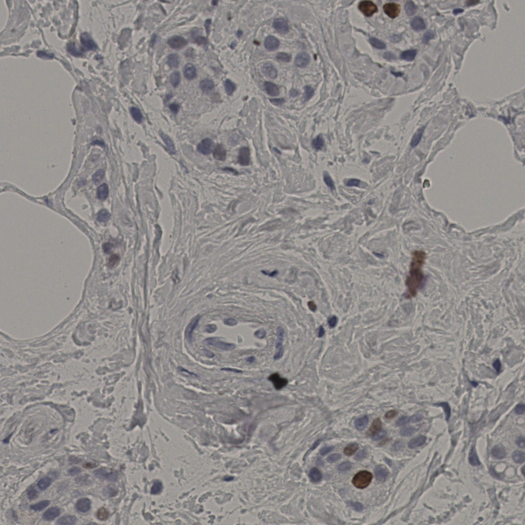
5.31%
Ki67 指数
阴 19502 阳 1093
处理信息
状态 处理完成
上传 2026-04-09 16:49
耗时 4998秒
切片统计
总切片 2970
有效 554
已标记 554
有效率 19%
缩略图
20240398Ki-67.ndpi
slice_14_45_x12544_y40320.png
slice_14_45_x1254...
slice_14_46_x12544_y41216.png
slice_14_46_x1254...
slice_14_47_x12544_y42112.png
slice_14_47_x1254...
slice_14_48_x12544_y43008.png
slice_14_48_x1254...
slice_15_15_x13440_y13440.png
slice_15_15_x1344...
slice_15_17_x13440_y15232.png
slice_15_17_x1344...
slice_15_37_x13440_y33152.png
slice_15_37_x1344...
slice_15_38_x13440_y34048.png
slice_15_38_x1344...
slice_15_39_x13440_y34944.png
slice_15_39_x1344...
slice_15_40_x13440_y35840.png
slice_15_40_x1344...
slice_15_41_x13440_y36736.png
slice_15_41_x1344...
slice_15_42_x13440_y37632.png
slice_15_42_x1344...
slice_15_45_x13440_y40320.png
slice_15_45_x1344...
slice_15_46_x13440_y41216.png
slice_15_46_x1344...
slice_15_47_x13440_y42112.png
slice_15_47_x1344...
slice_15_48_x13440_y43008.png
slice_15_48_x1344...
slice_16_15_x14336_y13440.png
slice_16_15_x1433...
slice_16_16_x14336_y14336.png
slice_16_16_x1433...
slice_16_17_x14336_y15232.png
slice_16_17_x1433...
slice_16_37_x14336_y33152.png
slice_16_37_x1433...
第 3 / 28 页,共 554 张