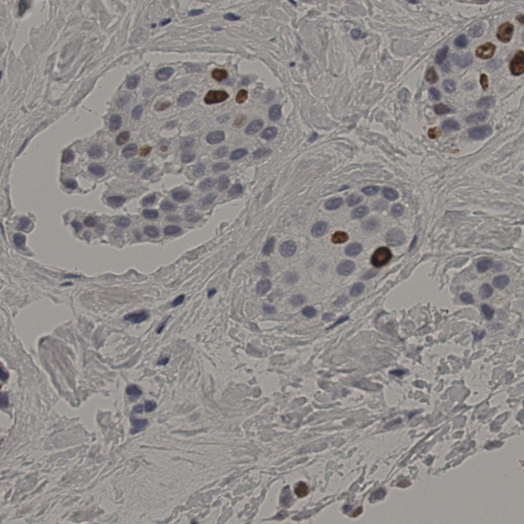
5.31%
Ki67 指数
阴 19502
阳 1093
处理信息
状态
处理完成
上传
2026-04-09 16:49
耗时
4998秒
切片统计
总切片
2970
有效
554
已标记
554
有效率
19%
缩略图
slice_16_38_x1433...
slice_16_39_x1433...
slice_16_40_x1433...
slice_16_41_x1433...
slice_16_45_x1433...
slice_16_46_x1433...
slice_16_47_x1433...
slice_16_48_x1433...
slice_17_16_x1523...
slice_17_17_x1523...
slice_17_36_x1523...
slice_17_37_x1523...
slice_17_38_x1523...
slice_17_39_x1523...
slice_17_40_x1523...
slice_17_41_x1523...
slice_17_44_x1523...
slice_17_45_x1523...
slice_17_46_x1523...
slice_17_47_x1523...
标记后
标记前