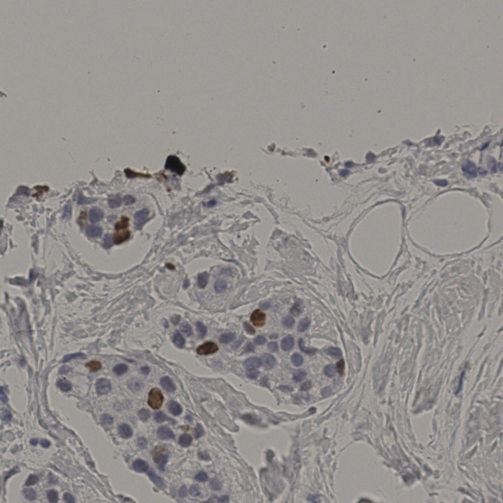
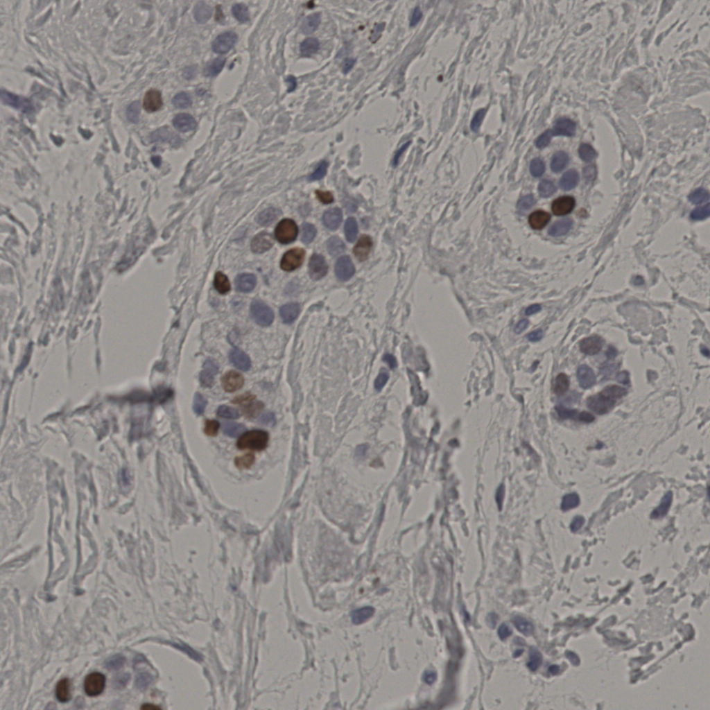
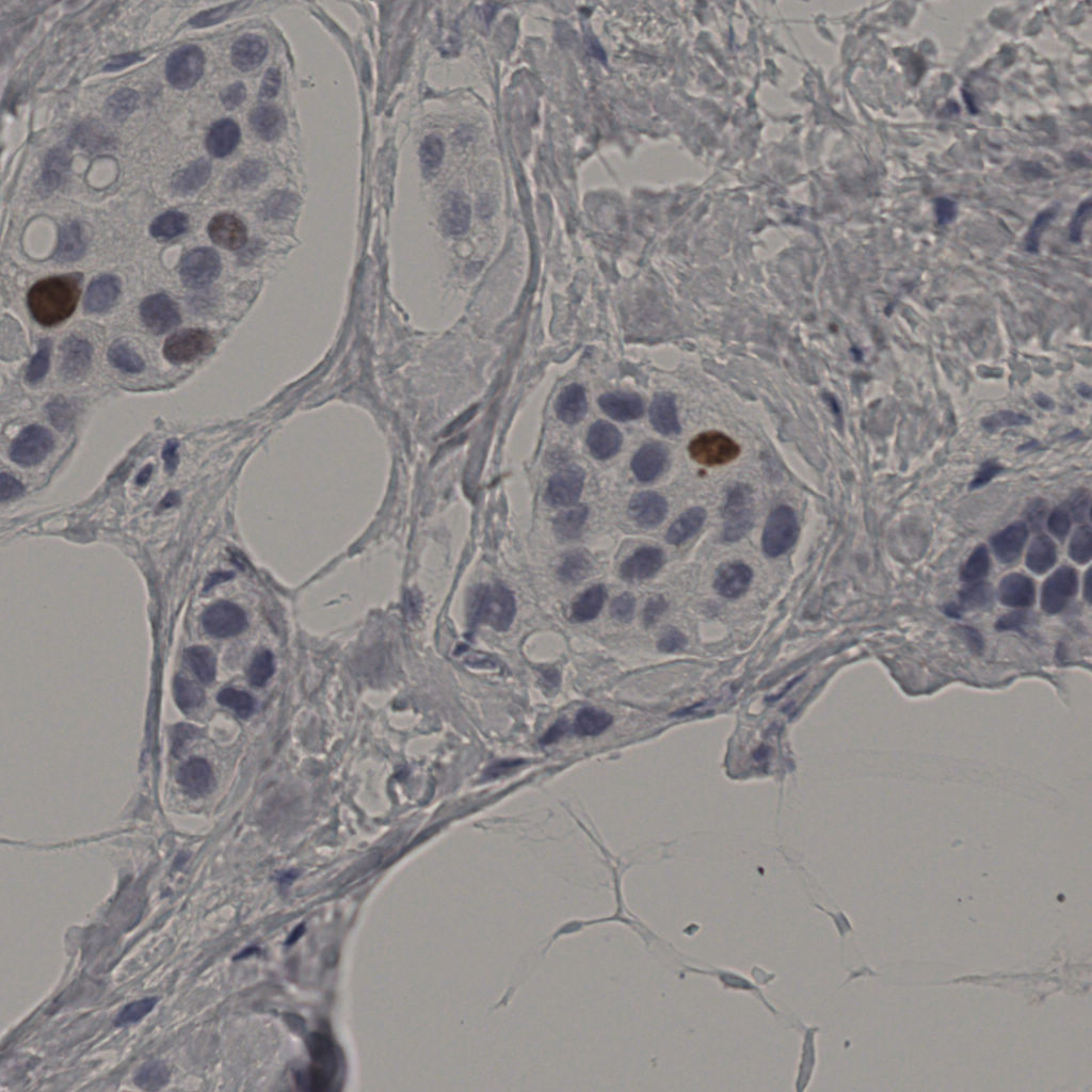
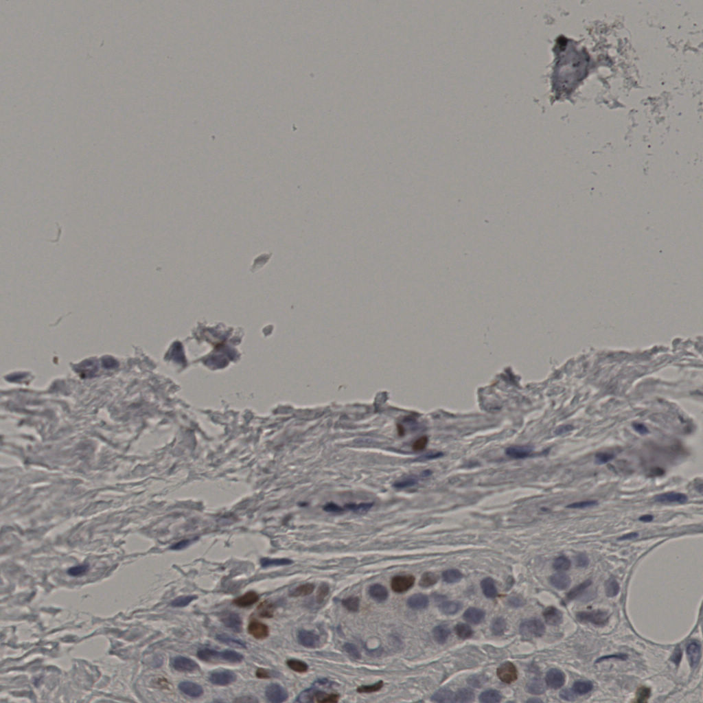
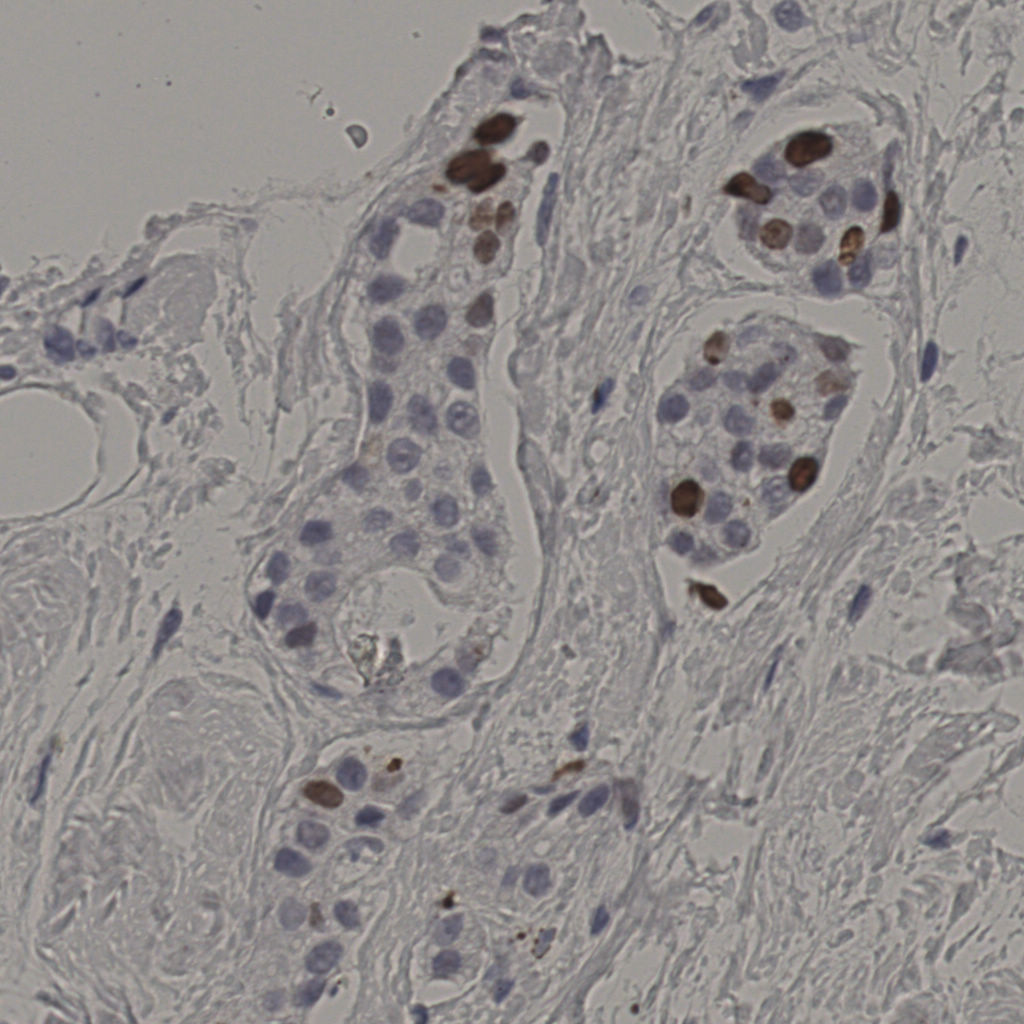
5.31%
Ki67 指数
阴 19502
阳 1093
处理信息
状态
处理完成
上传
2026-04-09 16:49
耗时
4998秒
切片统计
总切片
2970
有效
554
已标记
554
有效率
19%
缩略图
slice_19_37_x1702...
slice_19_38_x1702...
slice_19_39_x1702...
slice_19_40_x1702...
slice_19_41_x1702...
slice_19_44_x1702...
slice_19_45_x1702...
slice_19_46_x1702...
slice_20_19_x1792...
slice_20_20_x1792...
slice_20_21_x1792...
slice_20_22_x1792...
slice_20_35_x1792...
slice_20_36_x1792...
slice_20_37_x1792...
slice_20_38_x1792...
slice_20_39_x1792...
slice_20_40_x1792...
slice_20_44_x1792...
slice_20_45_x1792...
标记后
标记前