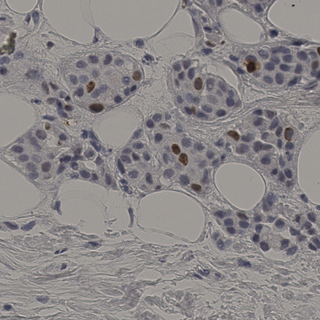
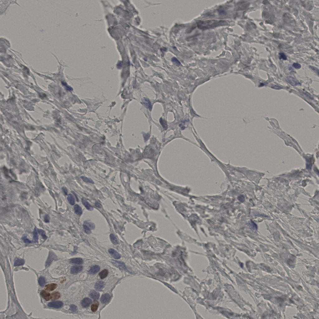
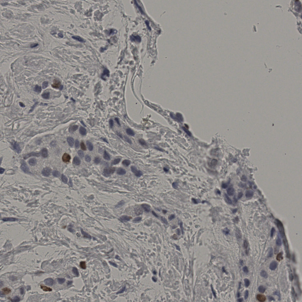
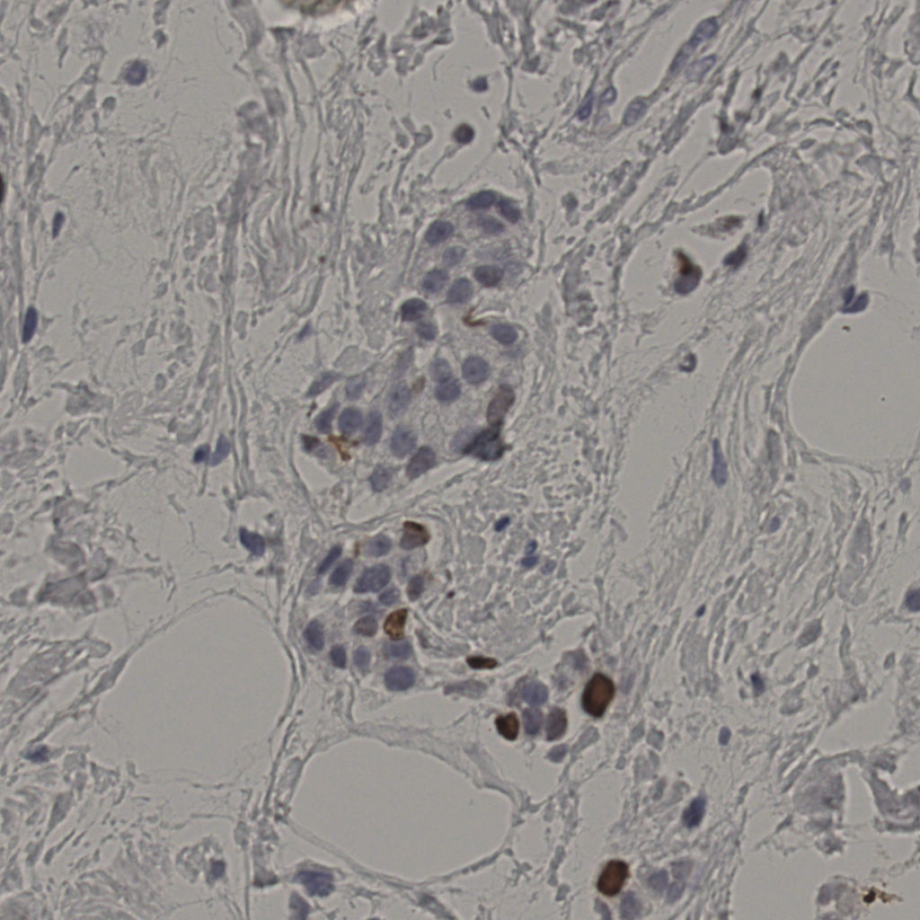
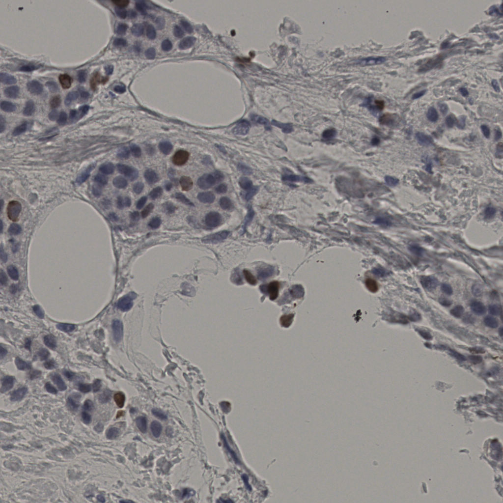
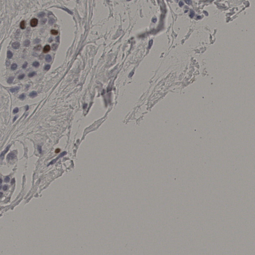
5.31%
Ki67 指数
阴 19502 阳 1093
处理信息
状态 处理完成
上传 2026-04-09 16:49
耗时 4998秒
切片统计
总切片 2970
有效 554
已标记 554
有效率 19%
缩略图
20240398Ki-67.ndpi
slice_20_46_x17920_y41216.png
slice_20_46_x1792...
slice_21_19_x18816_y17024.png
slice_21_19_x1881...
slice_21_20_x18816_y17920.png
slice_21_20_x1881...
slice_21_21_x18816_y18816.png
slice_21_21_x1881...
slice_21_22_x18816_y19712.png
slice_21_22_x1881...
slice_21_36_x18816_y32256.png
slice_21_36_x1881...
slice_21_37_x18816_y33152.png
slice_21_37_x1881...
slice_21_38_x18816_y34048.png
slice_21_38_x1881...
slice_21_39_x18816_y34944.png
slice_21_39_x1881...
slice_21_40_x18816_y35840.png
slice_21_40_x1881...
slice_21_43_x18816_y38528.png
slice_21_43_x1881...
slice_21_44_x18816_y39424.png
slice_21_44_x1881...
slice_21_45_x18816_y40320.png
slice_21_45_x1881...
slice_22_19_x19712_y17024.png
slice_22_19_x1971...
slice_22_20_x19712_y17920.png
slice_22_20_x1971...
slice_22_21_x19712_y18816.png
slice_22_21_x1971...
slice_22_22_x19712_y19712.png
slice_22_22_x1971...
slice_22_23_x19712_y20608.png
slice_22_23_x1971...
slice_22_35_x19712_y31360.png
slice_22_35_x1971...
slice_22_36_x19712_y32256.png
slice_22_36_x1971...
第 7 / 28 页,共 554 张