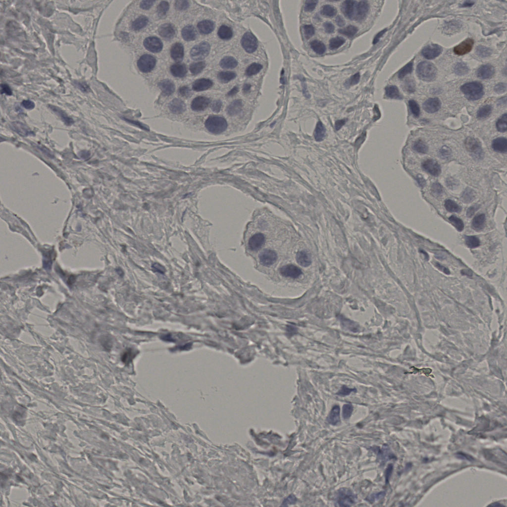
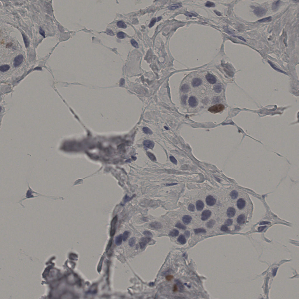
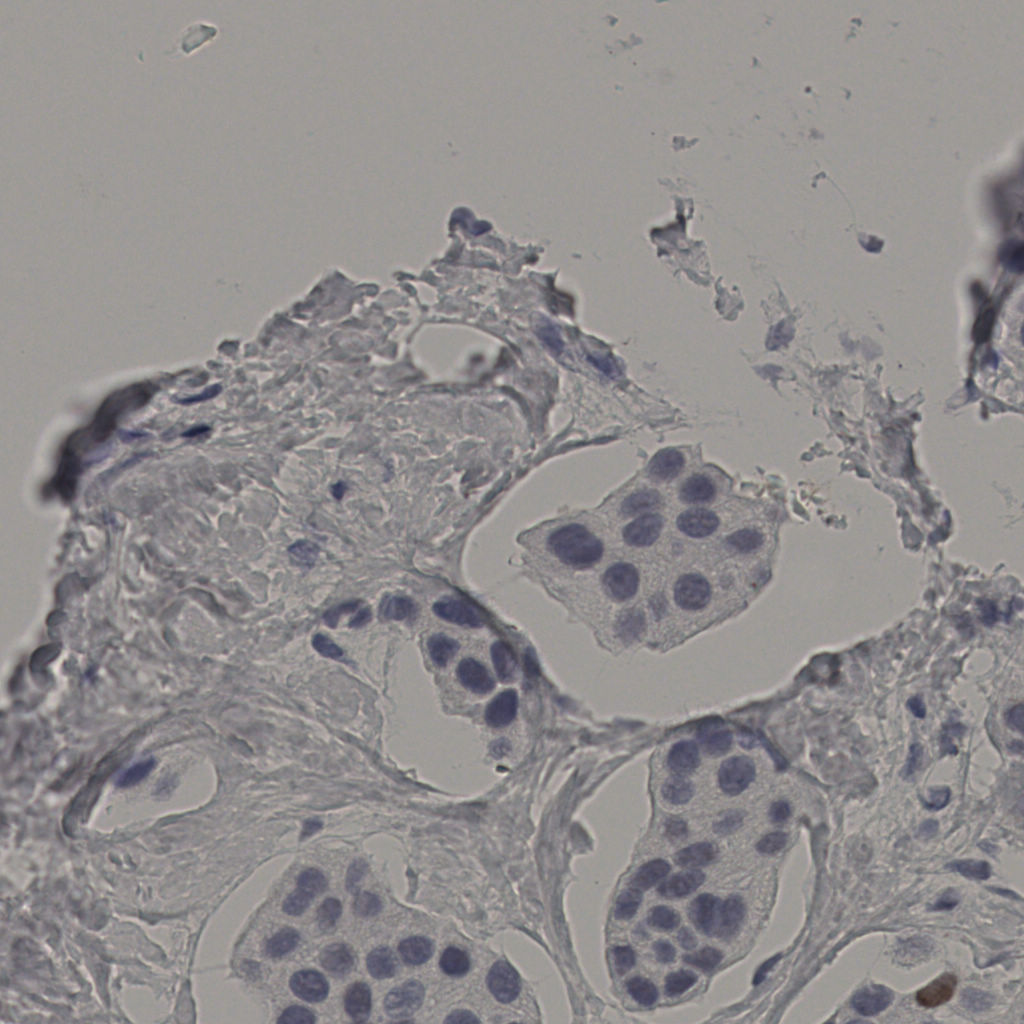
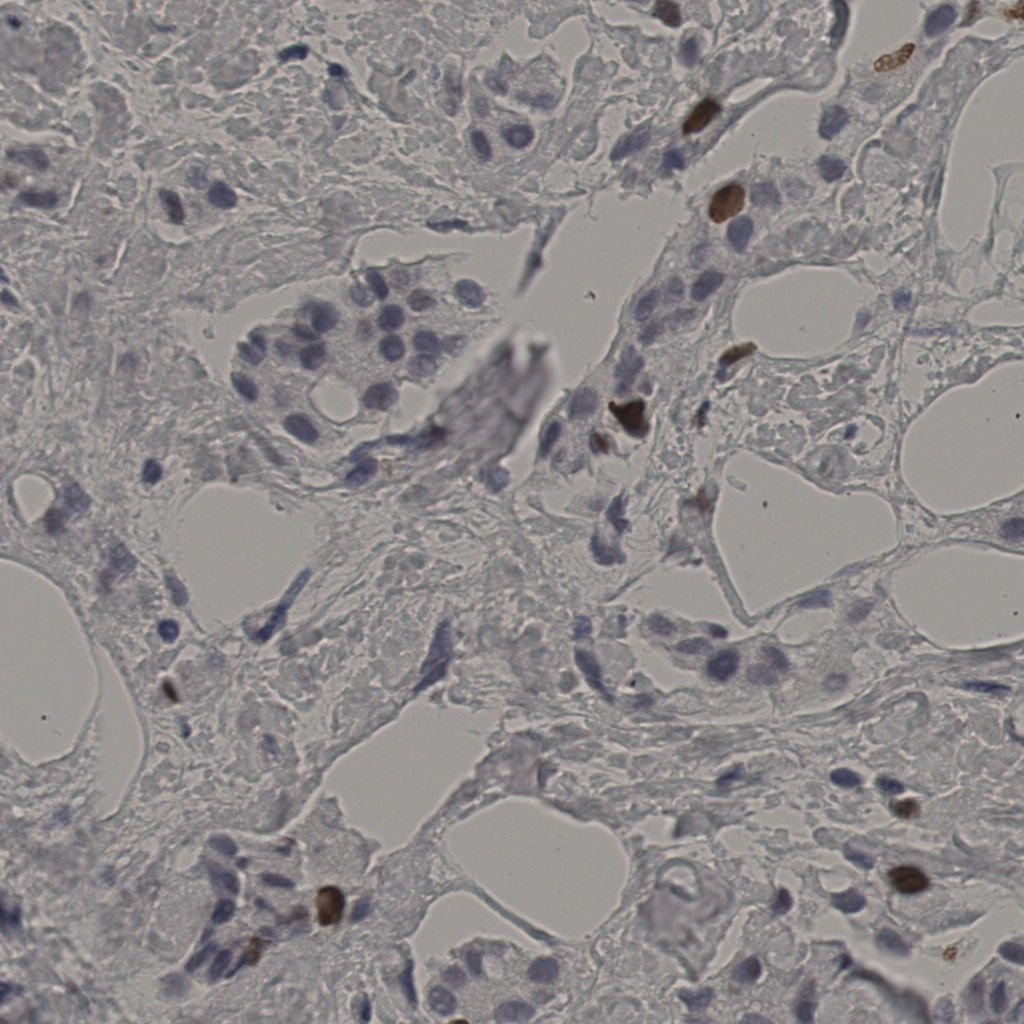
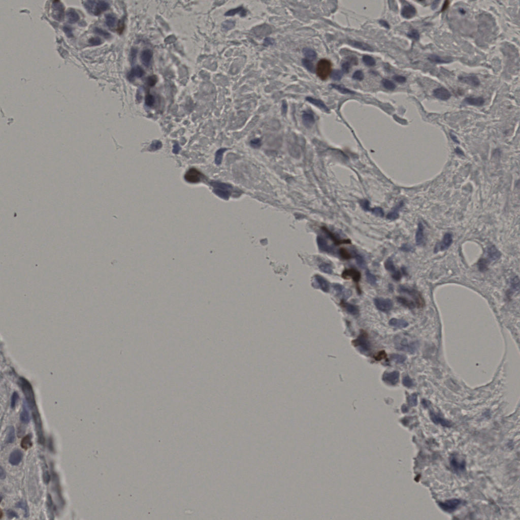
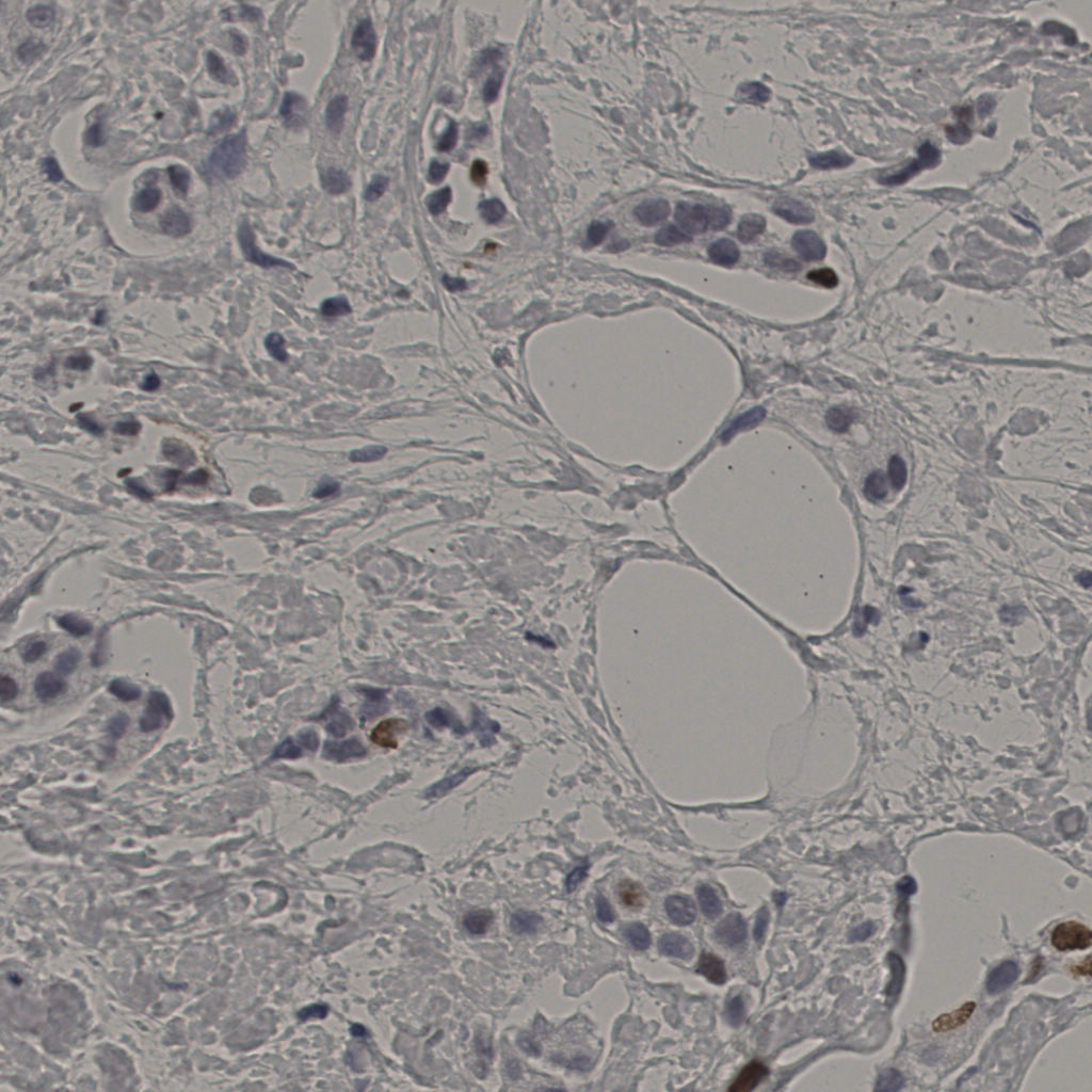
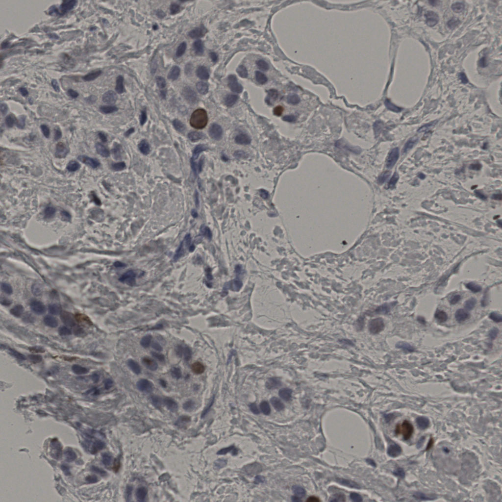
5.31%
Ki67 指数
阴 19502
阳 1093
处理信息
状态
处理完成
上传
2026-04-09 16:49
耗时
4998秒
切片统计
总切片
2970
有效
554
已标记
554
有效率
19%
缩略图
slice_22_37_x1971...
slice_22_38_x1971...
slice_22_39_x1971...
slice_22_43_x1971...
slice_22_44_x1971...
slice_23_19_x2060...
slice_23_20_x2060...
slice_23_21_x2060...
slice_23_34_x2060...
slice_23_35_x2060...
slice_23_36_x2060...
slice_23_37_x2060...
slice_23_38_x2060...
slice_23_43_x2060...
slice_24_20_x2150...
slice_24_21_x2150...
slice_24_22_x2150...
slice_24_33_x2150...
slice_24_34_x2150...
slice_24_35_x2150...
标记后
标记前