17.75%
Ki67 指数
阴 7986 阳 1723
处理信息
状态 处理完成
上传 2026-04-09 21:03
耗时 3796秒
切片统计
总切片 2640
有效 412
已标记 412
有效率 16%
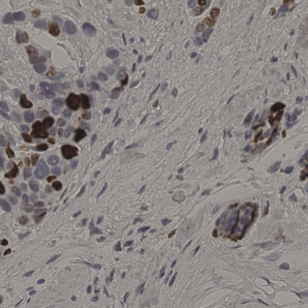
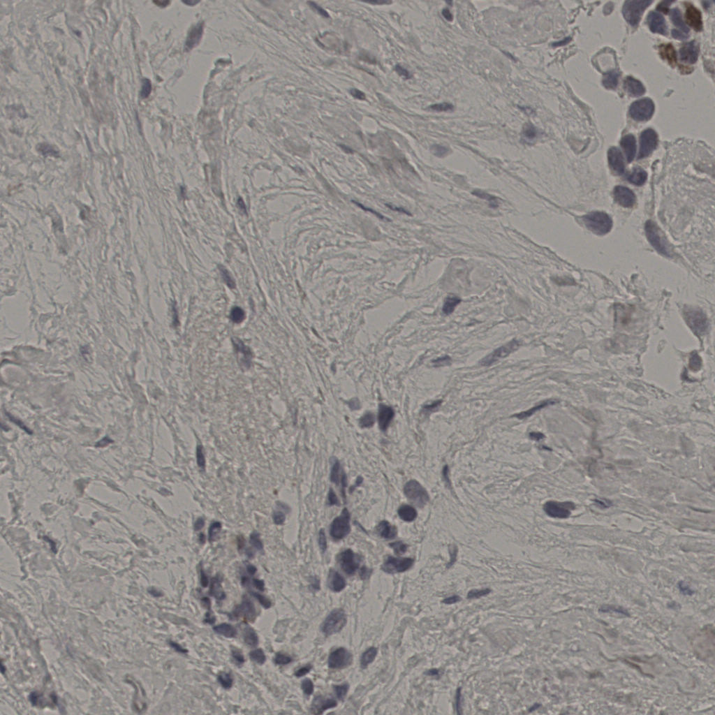
缩略图
20240285Ki-67.ndpi
slice_28_24_x25088_y21504.png
slice_28_24_x2508...
slice_28_25_x25088_y22400.png
slice_28_25_x2508...
slice_28_26_x25088_y23296.png
slice_28_26_x2508...
slice_28_36_x25088_y32256.png
slice_28_36_x2508...
slice_28_38_x25088_y34048.png
slice_28_38_x2508...
slice_28_39_x25088_y34944.png
slice_28_39_x2508...
slice_28_40_x25088_y35840.png
slice_28_40_x2508...
slice_28_41_x25088_y36736.png
slice_28_41_x2508...
slice_28_8_x25088_y7168.png
slice_28_8_x25088...
slice_28_9_x25088_y8064.png
slice_28_9_x25088...
slice_29_10_x25984_y8960.png
slice_29_10_x2598...
slice_29_13_x25984_y11648.png
slice_29_13_x2598...
slice_29_14_x25984_y12544.png
slice_29_14_x2598...
slice_29_15_x25984_y13440.png
slice_29_15_x2598...
slice_29_16_x25984_y14336.png
slice_29_16_x2598...
slice_29_17_x25984_y15232.png
slice_29_17_x2598...
slice_29_18_x25984_y16128.png
slice_29_18_x2598...
slice_29_21_x25984_y18816.png
slice_29_21_x2598...
slice_29_22_x25984_y19712.png
slice_29_22_x2598...
slice_29_23_x25984_y20608.png
slice_29_23_x2598...
第 11 / 21 页,共 412 张