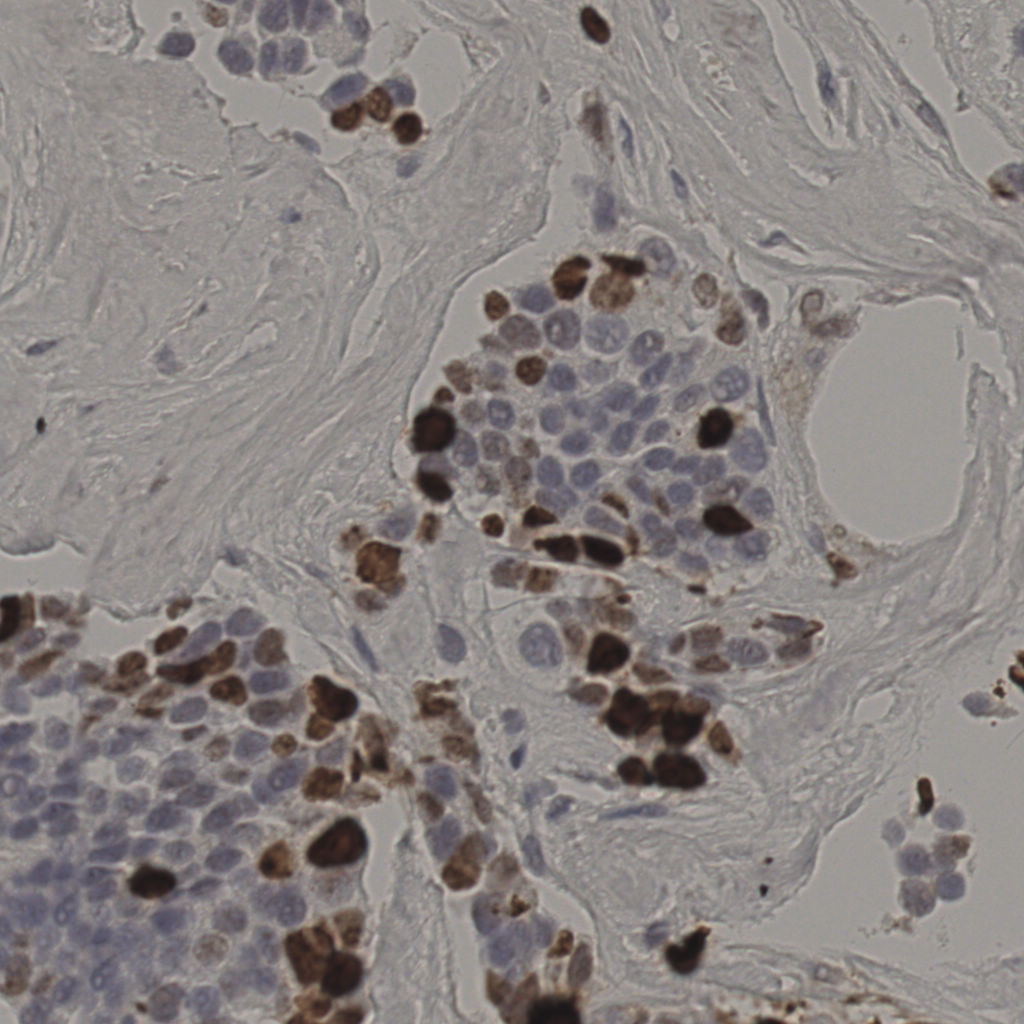
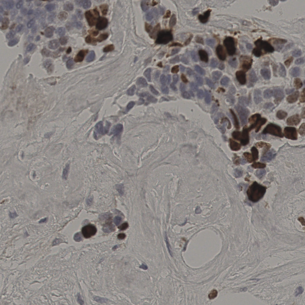
17.75%
Ki67 指数
阴 7986
阳 1723
处理信息
状态
处理完成
上传
2026-04-09 21:03
耗时
3796秒
切片统计
总切片
2640
有效
412
已标记
412
有效率
16%
缩略图
slice_31_24_x2777...
slice_31_30_x2777...
slice_31_31_x2777...
slice_31_32_x2777...
slice_31_33_x2777...
slice_31_34_x2777...
slice_31_35_x2777...
slice_31_36_x2777...
slice_31_37_x2777...
slice_31_38_x2777...
slice_32_10_x2867...
slice_32_11_x2867...
slice_32_13_x2867...
slice_32_14_x2867...
slice_32_15_x2867...
slice_32_16_x2867...
slice_32_17_x2867...
slice_32_18_x2867...
slice_32_21_x2867...
slice_32_22_x2867...
标记后
标记前