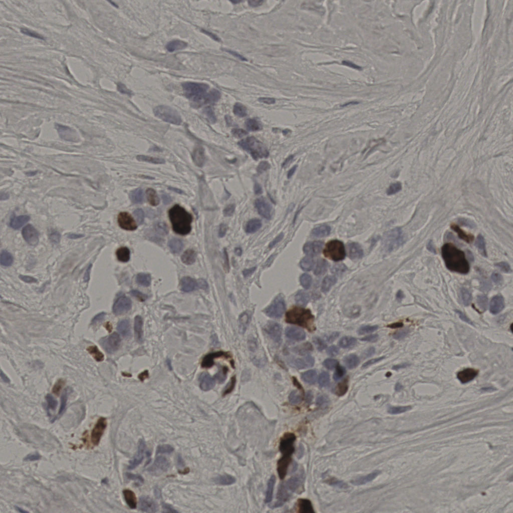
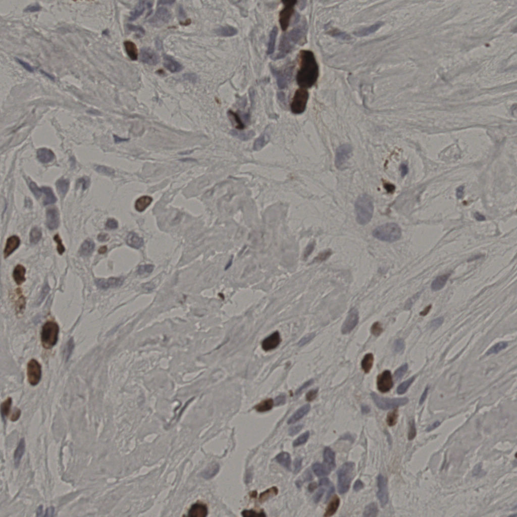
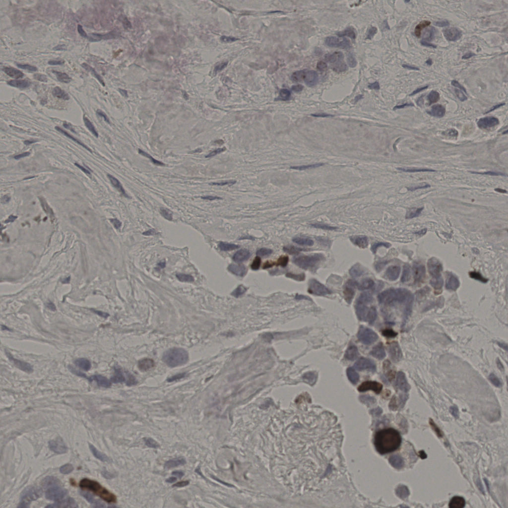
17.75%
Ki67 指数
阴 7986
阳 1723
处理信息
状态
处理完成
上传
2026-04-09 21:03
耗时
3796秒
切片统计
总切片
2640
有效
412
已标记
412
有效率
16%
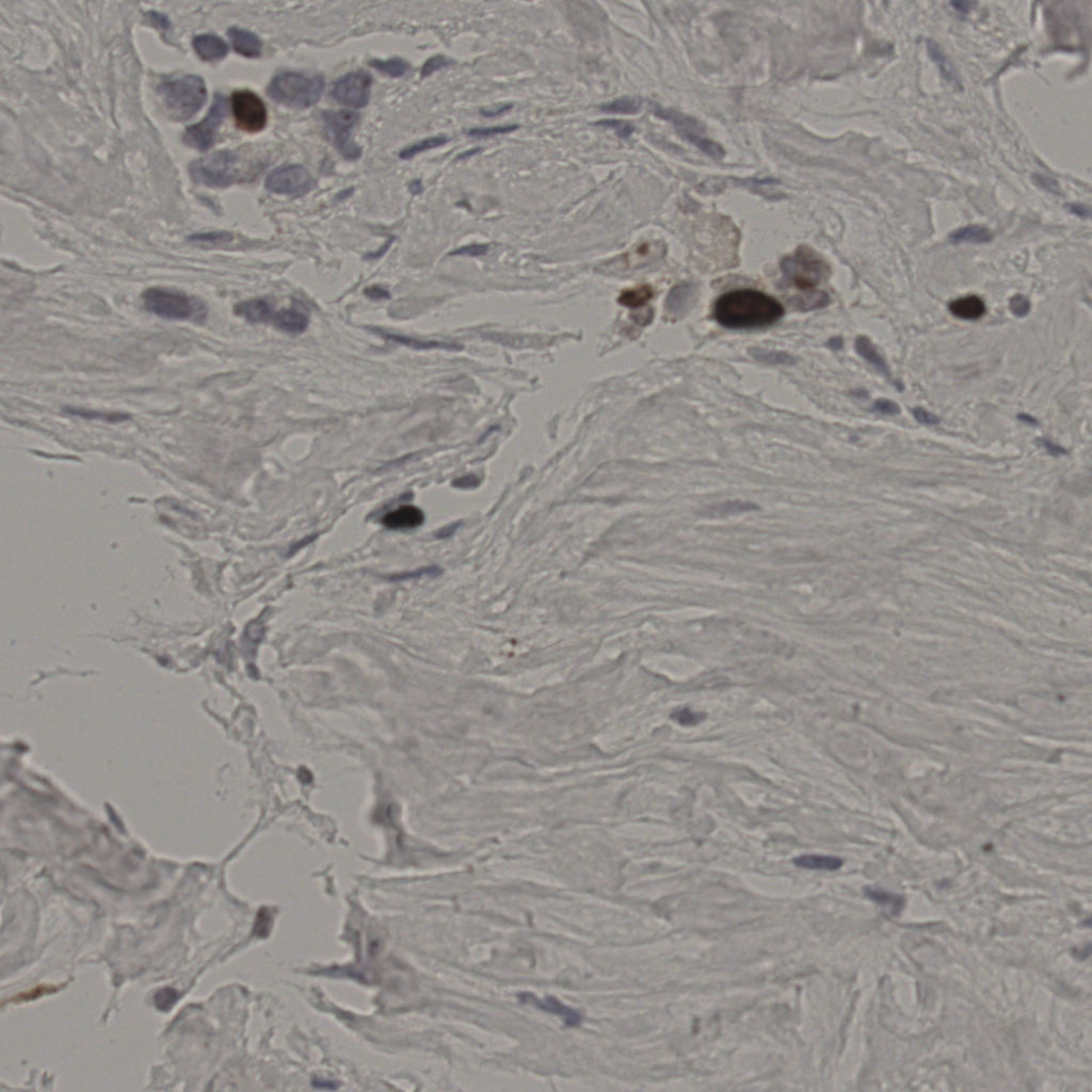
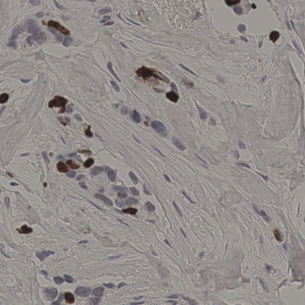
缩略图
slice_33_16_x2956...
slice_33_17_x2956...
slice_33_21_x2956...
slice_33_22_x2956...
slice_33_25_x2956...
slice_33_26_x2956...
slice_33_28_x2956...
slice_33_29_x2956...
slice_33_30_x2956...
slice_33_31_x2956...
slice_33_32_x2956...
slice_33_34_x2956...
slice_33_35_x2956...
slice_33_36_x2956...
slice_33_37_x2956...
slice_34_11_x3046...
slice_34_16_x3046...
slice_34_17_x3046...
slice_34_21_x3046...
slice_34_22_x3046...
标记后
标记前