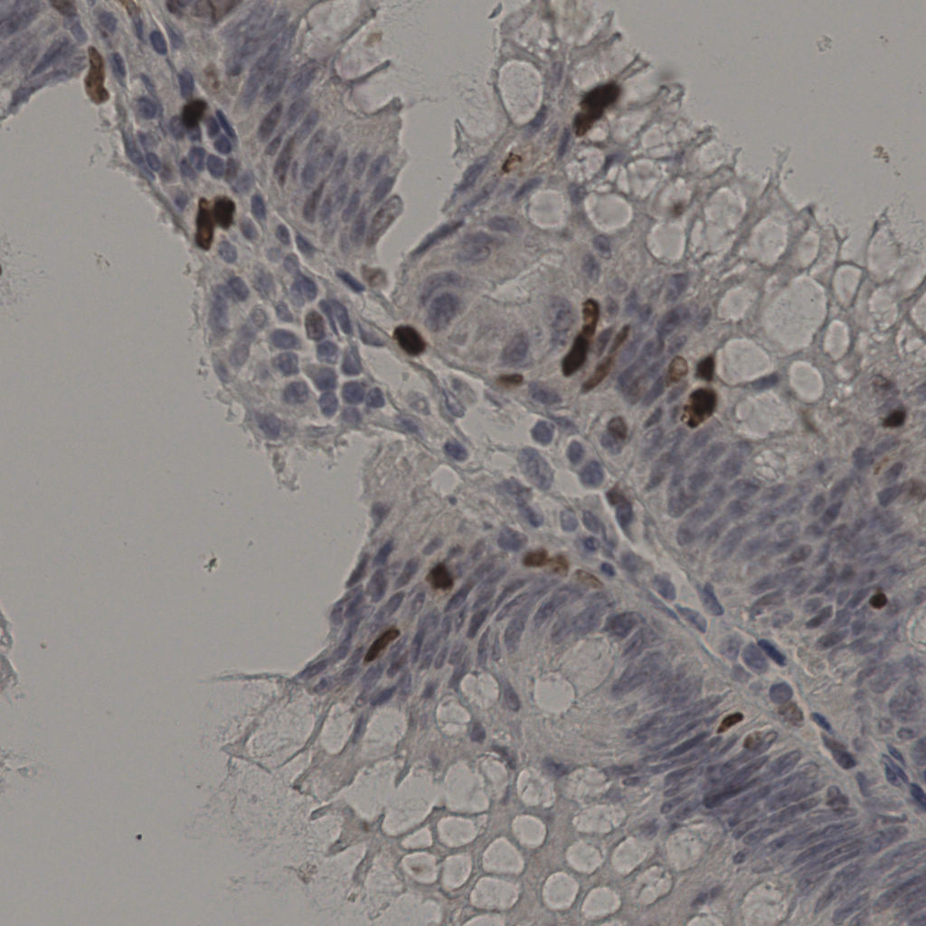
17.75%
Ki67 指数
阴 7986 阳 1723
处理信息
状态 处理完成
上传 2026-04-09 21:03
耗时 3796秒
切片统计
总切片 2640
有效 412
已标记 412
有效率 16%
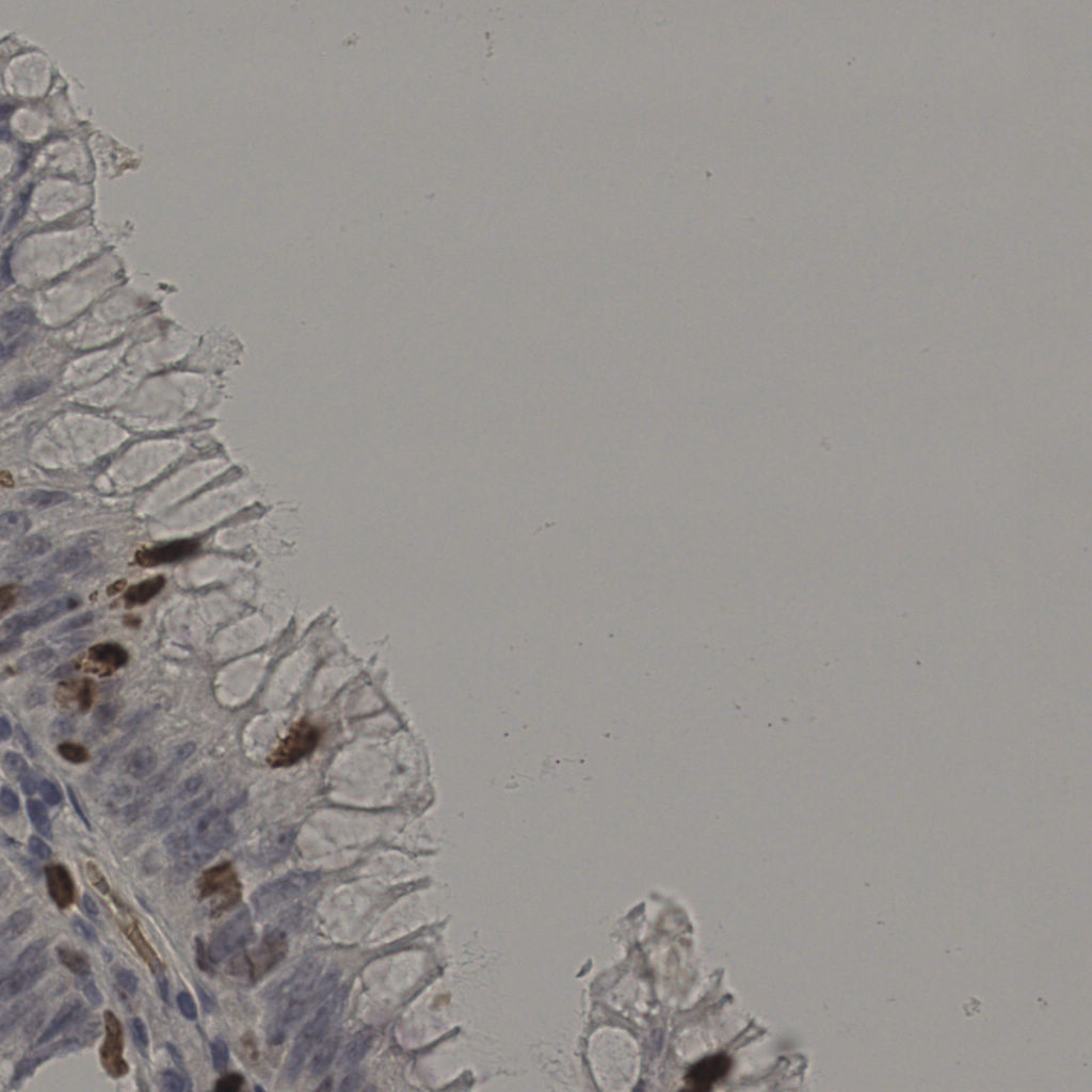
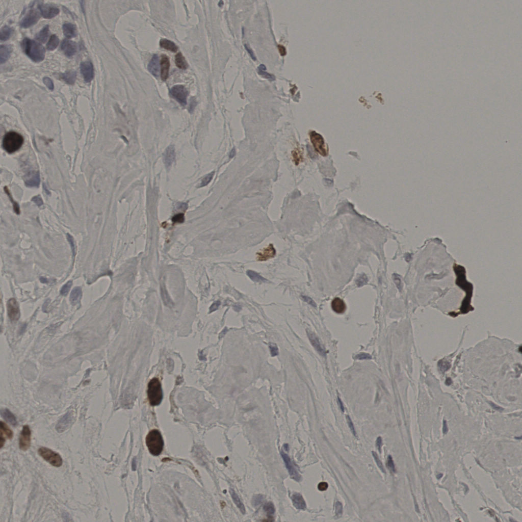
缩略图
20240285Ki-67.ndpi
slice_35_33_x31360_y29568.png
slice_35_33_x3136...
slice_35_34_x31360_y30464.png
slice_35_34_x3136...
slice_36_23_x32256_y20608.png
slice_36_23_x3225...
slice_36_24_x32256_y21504.png
slice_36_24_x3225...
slice_36_25_x32256_y22400.png
slice_36_25_x3225...
slice_36_26_x32256_y23296.png
slice_36_26_x3225...
slice_36_27_x32256_y24192.png
slice_36_27_x3225...
slice_36_28_x32256_y25088.png
slice_36_28_x3225...
slice_37_26_x33152_y23296.png
slice_37_26_x3315...
slice_37_27_x33152_y24192.png
slice_37_27_x3315...
slice_38_23_x34048_y20608.png
slice_38_23_x3404...
slice_38_24_x34048_y21504.png
slice_38_24_x3404...
slice_38_26_x34048_y23296.png
slice_38_26_x3404...
slice_39_24_x34944_y21504.png
slice_39_24_x3494...
slice_39_25_x34944_y22400.png
slice_39_25_x3494...
slice_39_26_x34944_y23296.png
slice_39_26_x3494...
slice_39_27_x34944_y24192.png
slice_39_27_x3494...
slice_3_27_x2688_y24192.png
slice_3_27_x2688_...
slice_40_14_x35840_y12544.png
slice_40_14_x3584...
slice_40_25_x35840_y22400.png
slice_40_25_x3584...
第 18 / 21 页,共 412 张