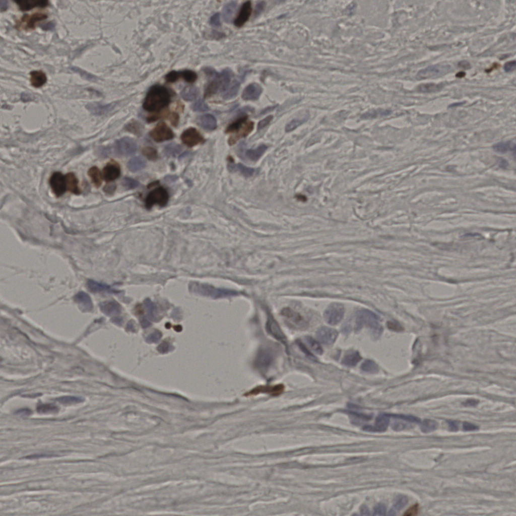
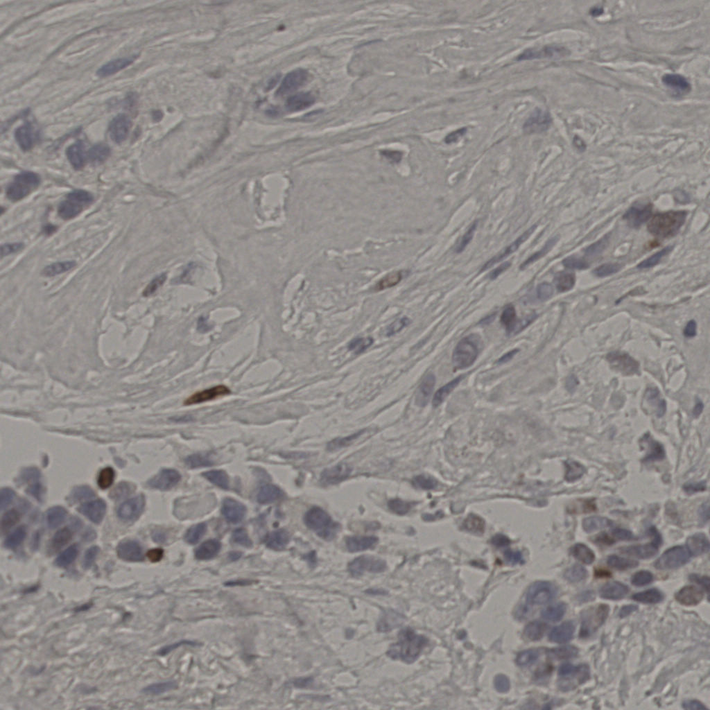
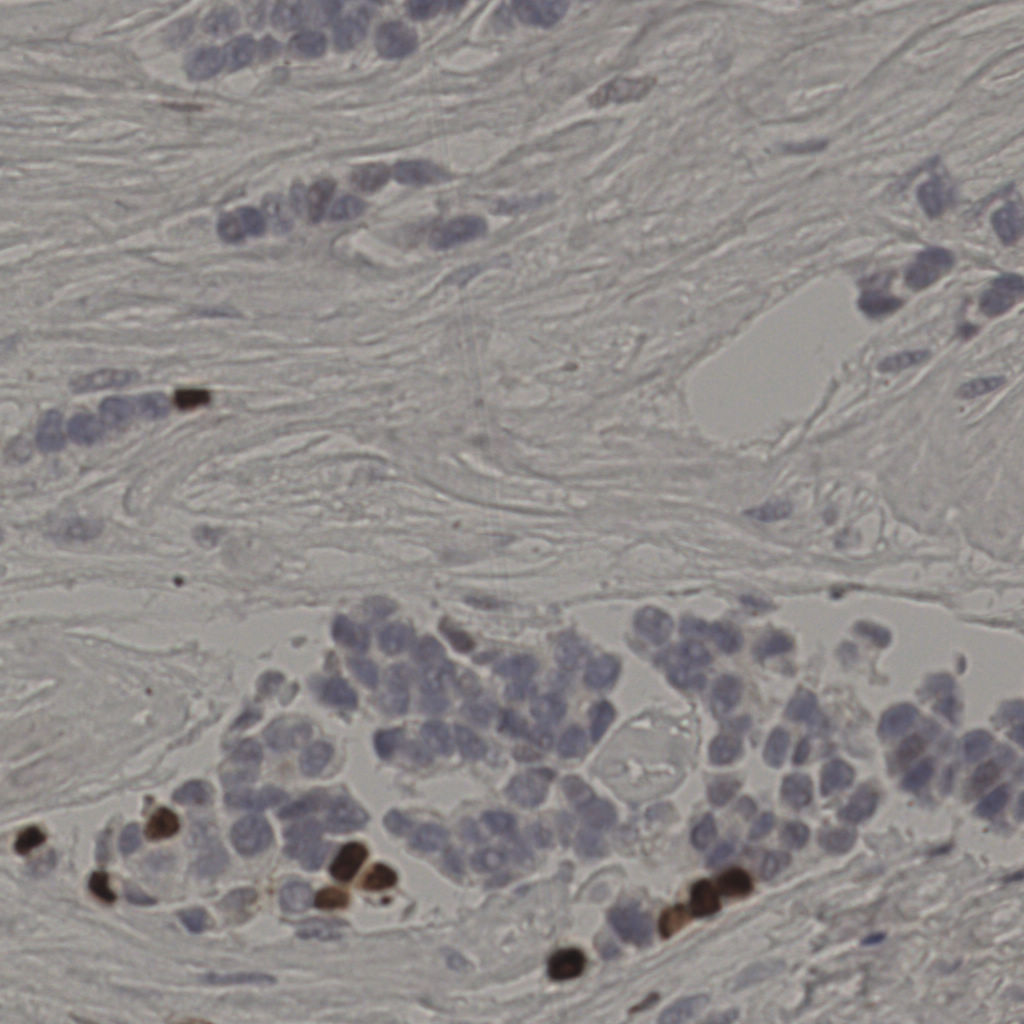
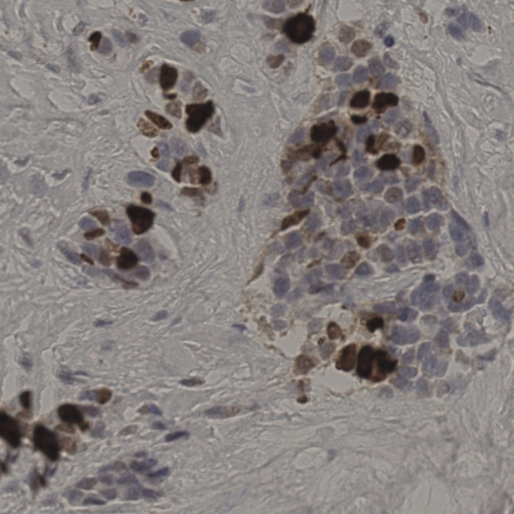
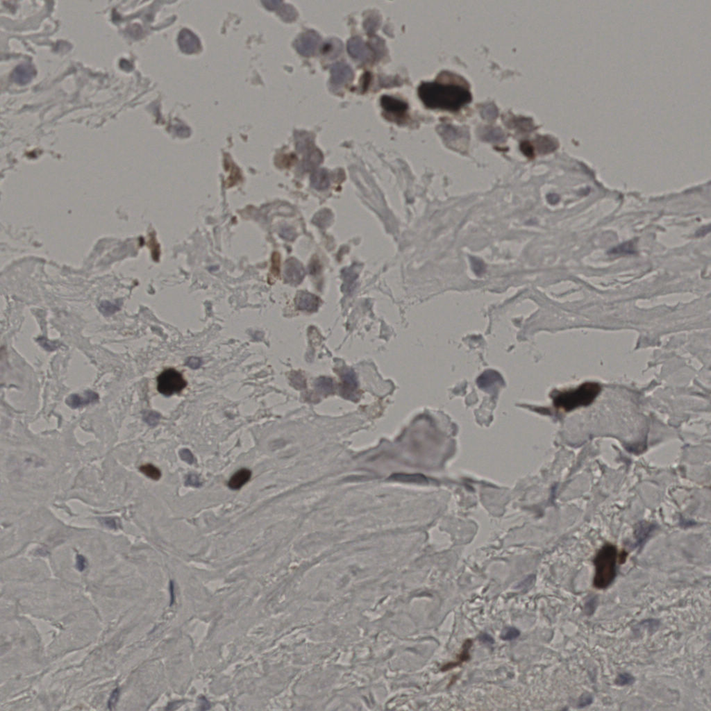
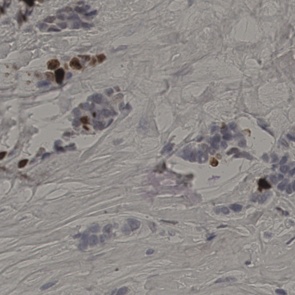
17.75%
Ki67 指数
阴 7986 阳 1723
处理信息
状态 处理完成
上传 2026-04-09 21:03
耗时 3796秒
切片统计
总切片 2640
有效 412
已标记 412
有效率 16%
缩略图
20240285Ki-67.ndpi
slice_40_26_x35840_y23296.png
slice_40_26_x3584...
slice_40_27_x35840_y24192.png
slice_40_27_x3584...
slice_41_11_x36736_y9856.png
slice_41_11_x3673...
slice_41_12_x36736_y10752.png
slice_41_12_x3673...
slice_41_13_x36736_y11648.png
slice_41_13_x3673...
slice_42_11_x37632_y9856.png
slice_42_11_x3763...
slice_42_12_x37632_y10752.png
slice_42_12_x3763...
slice_42_13_x37632_y11648.png
slice_42_13_x3763...
slice_42_14_x37632_y12544.png
slice_42_14_x3763...
slice_42_15_x37632_y13440.png
slice_42_15_x3763...
slice_43_12_x38528_y10752.png
slice_43_12_x3852...
slice_43_13_x38528_y11648.png
slice_43_13_x3852...
slice_43_14_x38528_y12544.png
slice_43_14_x3852...
slice_43_15_x38528_y13440.png
slice_43_15_x3852...
slice_44_11_x39424_y9856.png
slice_44_11_x3942...
slice_44_12_x39424_y10752.png
slice_44_12_x3942...
slice_44_13_x39424_y11648.png
slice_44_13_x3942...
slice_44_14_x39424_y12544.png
slice_44_14_x3942...
slice_44_15_x39424_y13440.png
slice_44_15_x3942...
slice_45_12_x40320_y10752.png
slice_45_12_x4032...
第 19 / 21 页,共 412 张