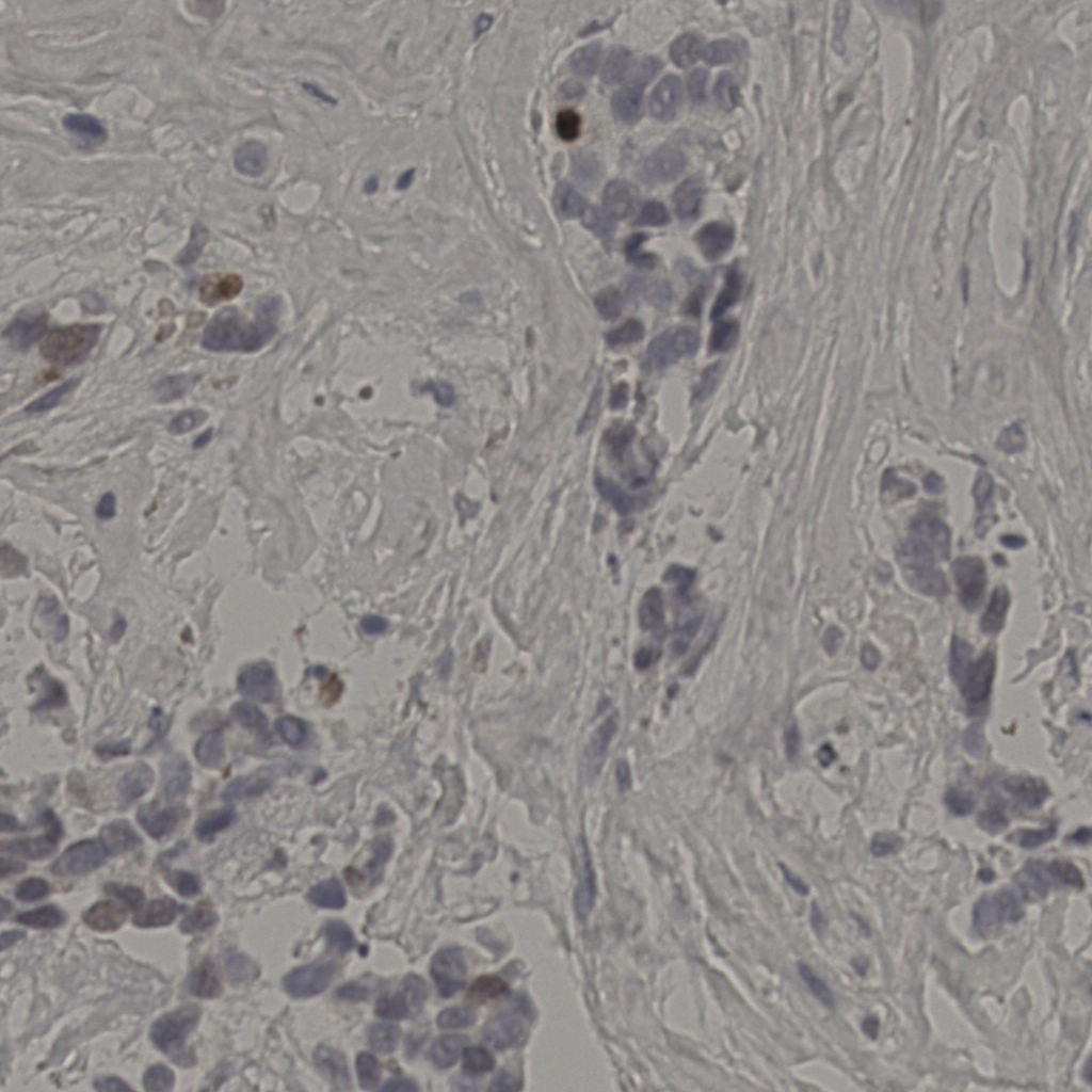
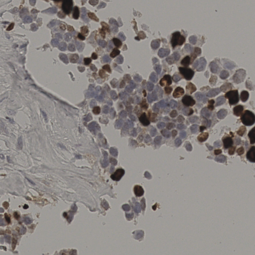
17.75%
Ki67 指数
阴 7986
阳 1723
处理信息
状态
处理完成
上传
2026-04-09 21:03
耗时
3796秒
切片统计
总切片
2640
有效
412
已标记
412
有效率
16%
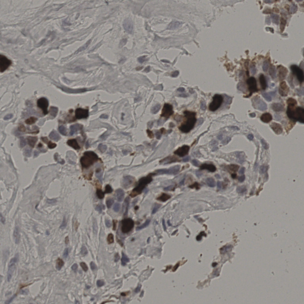
缩略图
slice_45_13_x4032...
slice_45_14_x4032...
slice_45_15_x4032...
slice_46_14_x4121...
slice_46_15_x4121...
slice_47_11_x4211...
slice_47_12_x4211...
slice_47_13_x4211...
slice_47_14_x4211...
slice_47_15_x4211...
slice_48_11_x4300...
slice_48_12_x4300...
slice_48_13_x4300...
slice_49_11_x4390...
slice_49_12_x4390...
slice_4_27_x3584_...
slice_5_26_x4480_...
slice_5_27_x4480_...
slice_6_4_x5376_y...
slice_7_3_x6272_y...
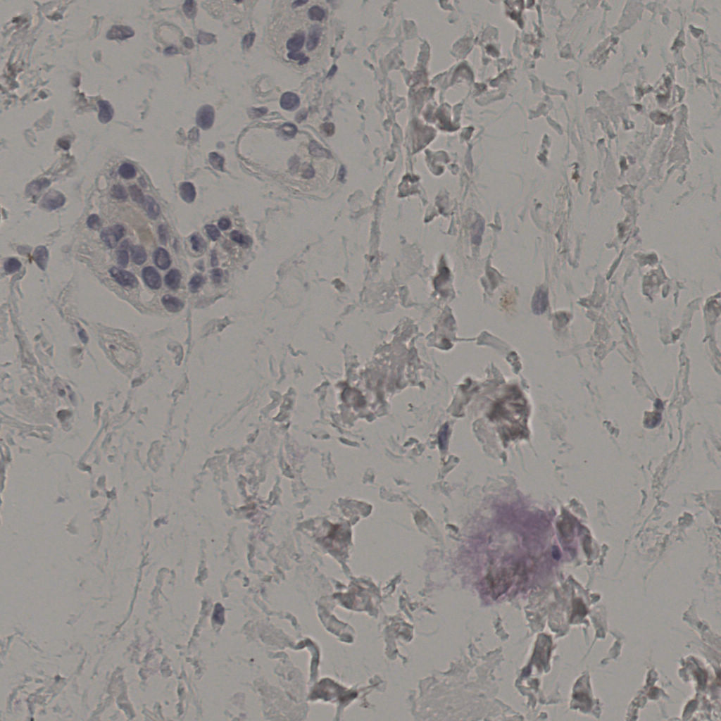
标记后
标记前