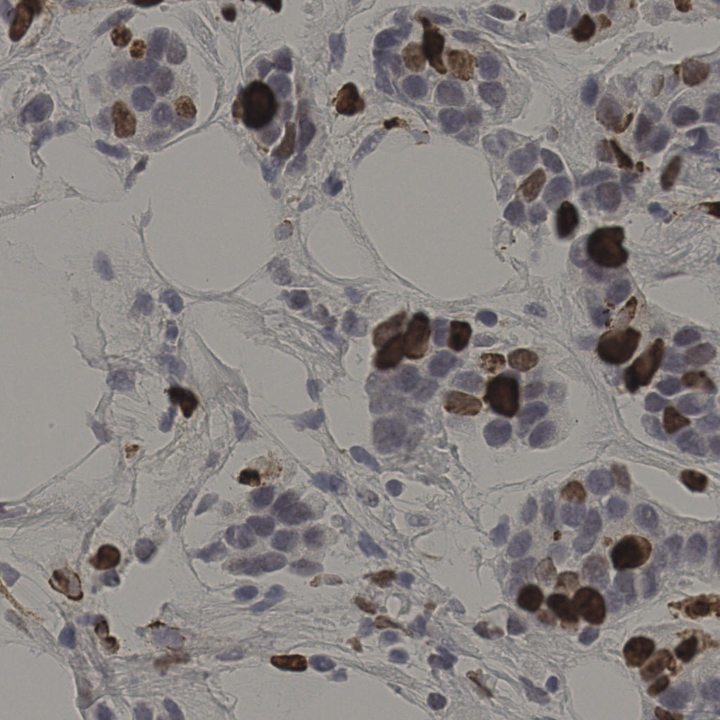
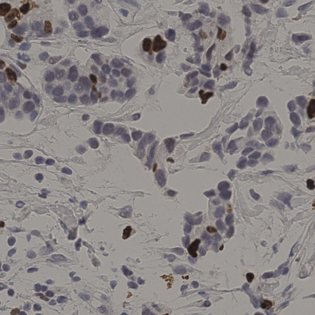
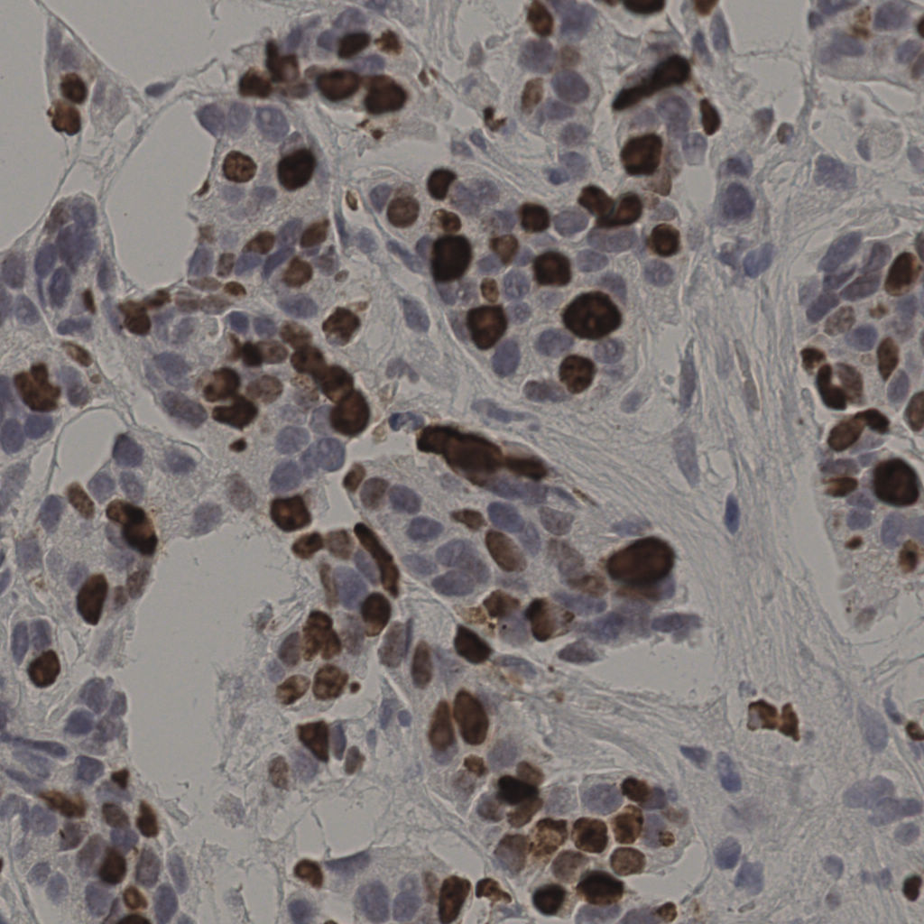
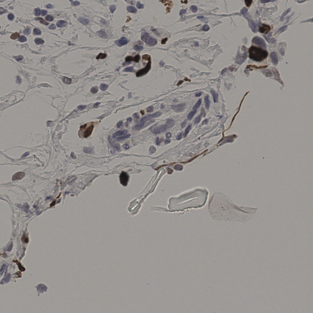
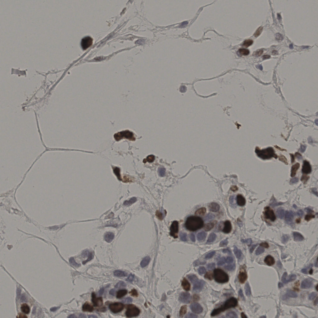
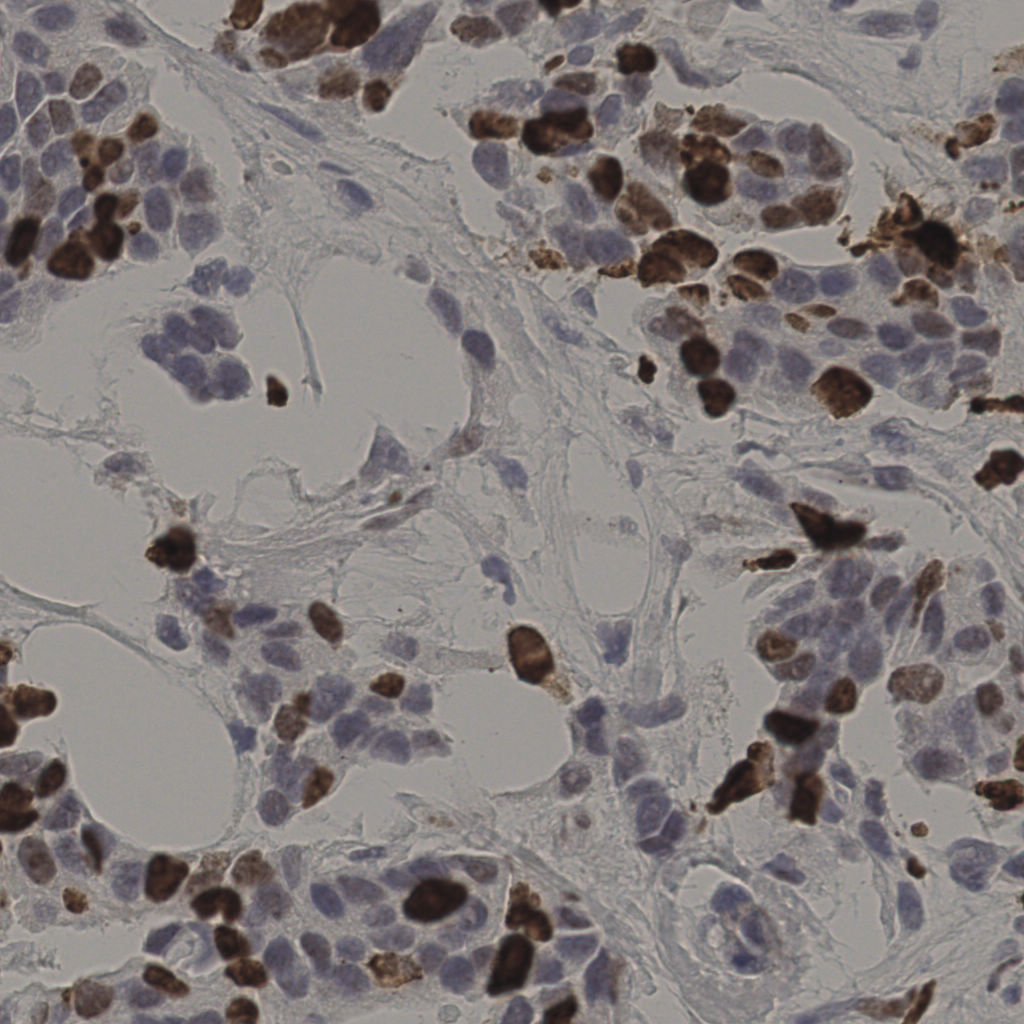
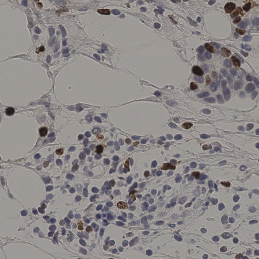
17.75%
Ki67 指数
阴 7986
阳 1723
处理信息
状态
处理完成
上传
2026-04-09 21:03
耗时
3796秒
切片统计
总切片
2640
有效
412
已标记
412
有效率
16%
缩略图
slice_18_21_x1612...
slice_18_22_x1612...
slice_18_23_x1612...
slice_18_24_x1612...
slice_18_42_x1612...
slice_18_43_x1612...
slice_18_44_x1612...
slice_19_16_x1702...
slice_19_17_x1702...
slice_19_18_x1702...
slice_19_19_x1702...
slice_19_20_x1702...
slice_19_21_x1702...
slice_19_22_x1702...
slice_19_23_x1702...
slice_19_35_x1702...
slice_19_36_x1702...
slice_19_37_x1702...
slice_19_38_x1702...
slice_19_39_x1702...
标记后
标记前