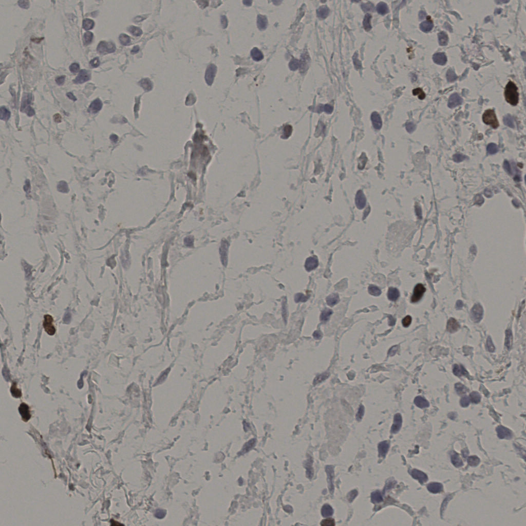
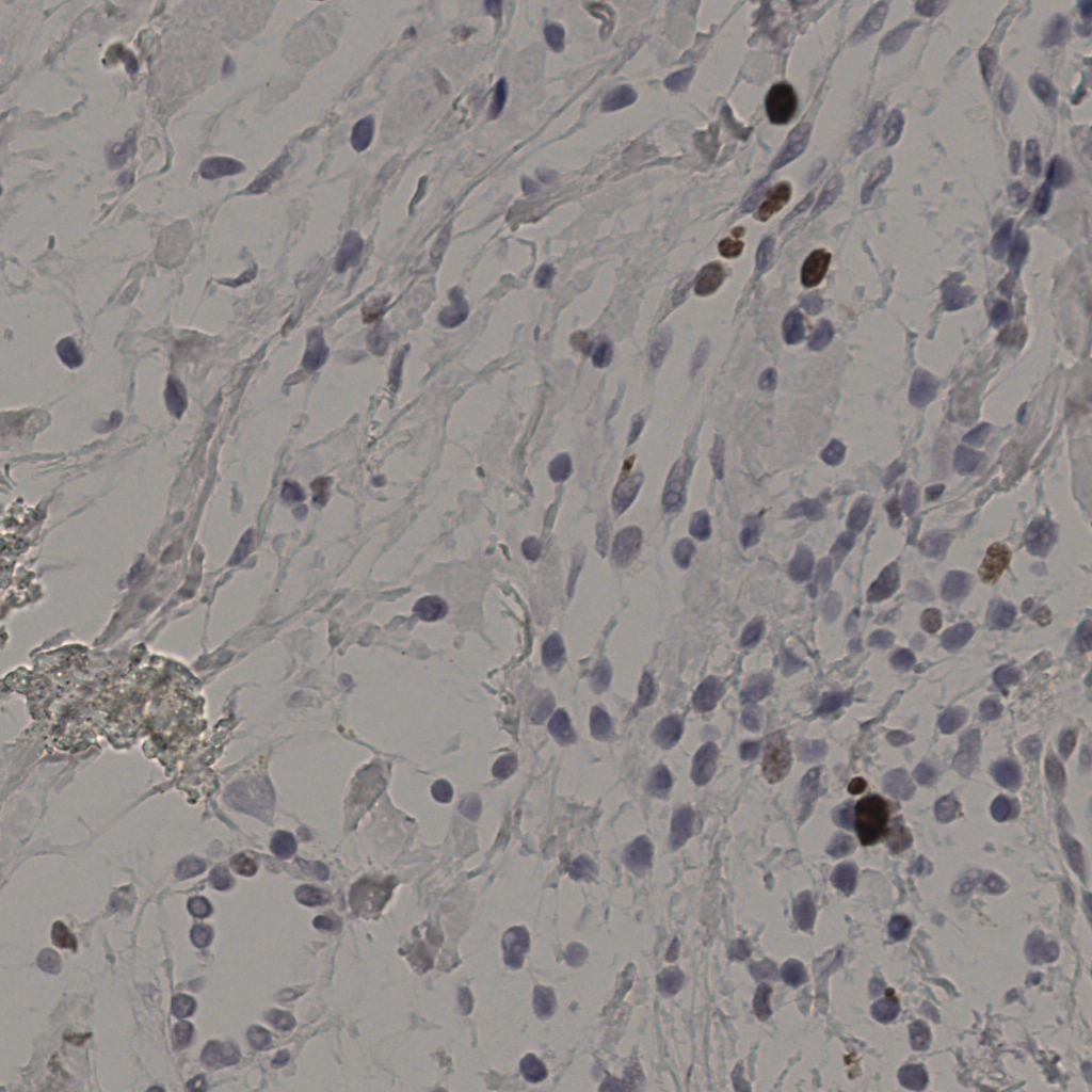
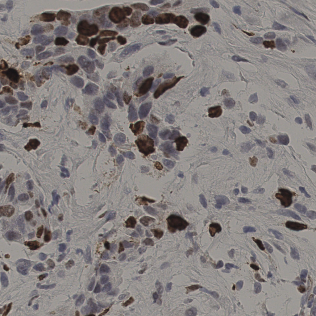
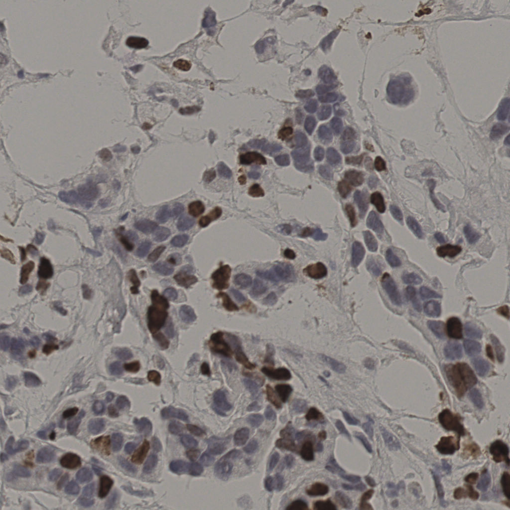
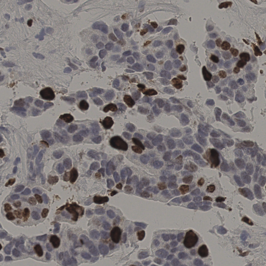
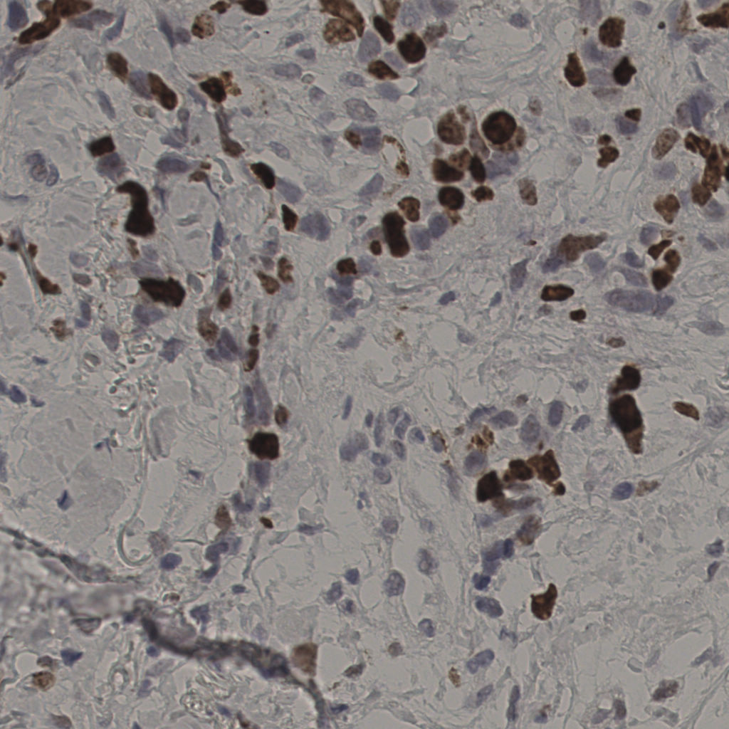
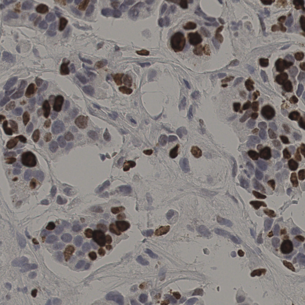
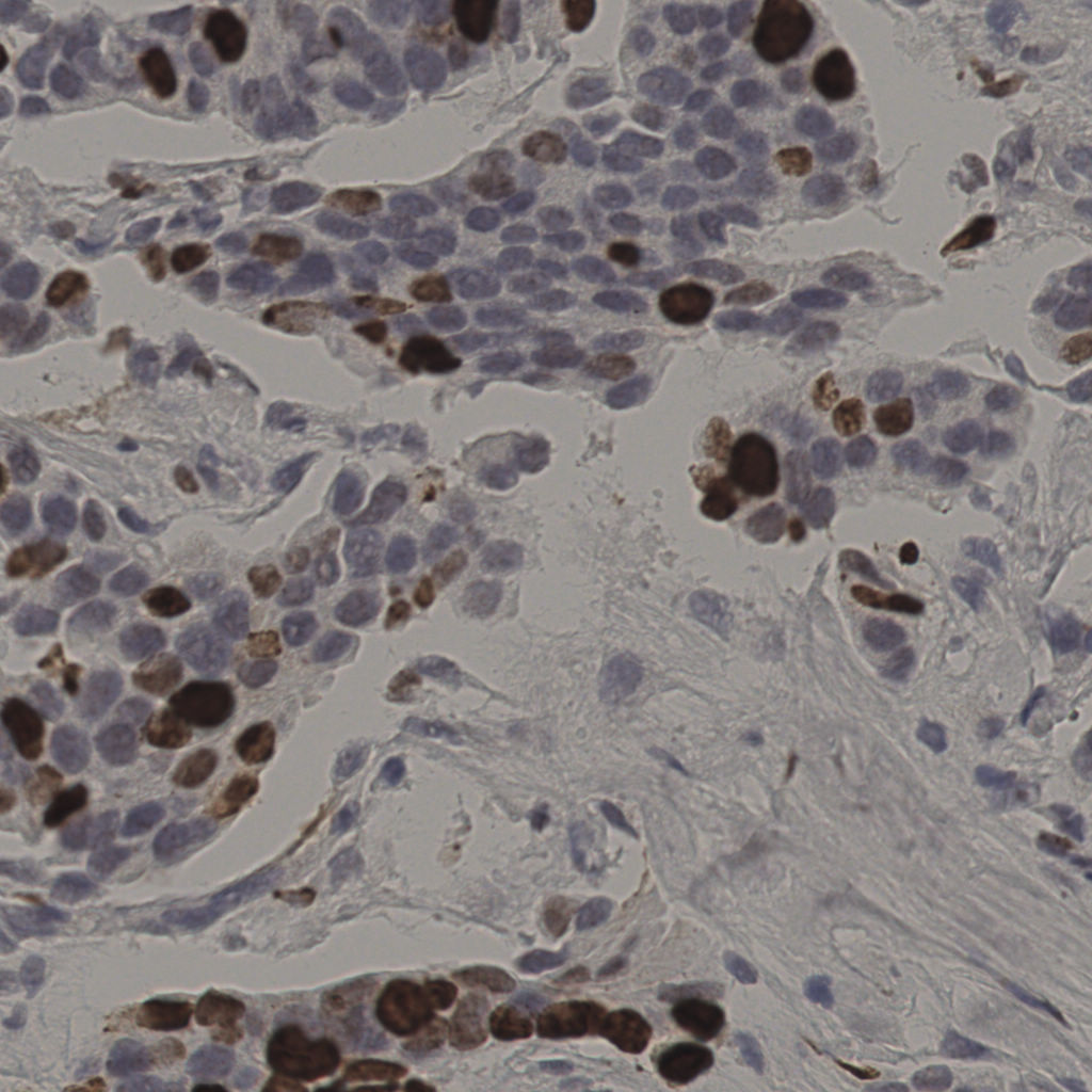
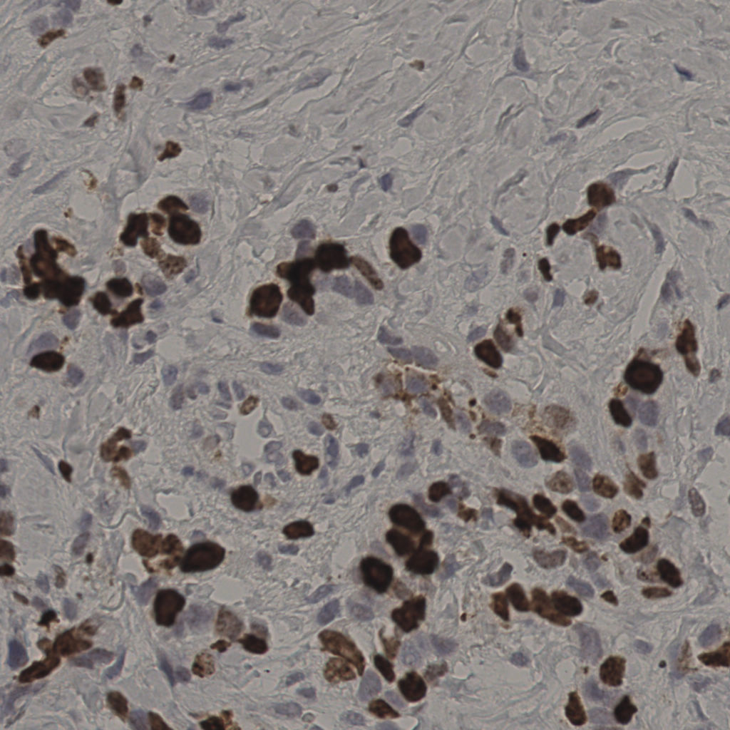
17.75%
Ki67 指数
阴 7986 阳 1723
处理信息
状态 处理完成
上传 2026-04-09 21:03
耗时 3796秒
切片统计
总切片 2640
有效 412
已标记 412
有效率 16%
缩略图
20240285Ki-67.ndpi
slice_19_40_x17024_y35840.png
slice_19_40_x1702...
slice_19_41_x17024_y36736.png
slice_19_41_x1702...
slice_19_42_x17024_y37632.png
slice_19_42_x1702...
slice_19_43_x17024_y38528.png
slice_19_43_x1702...
slice_19_44_x17024_y39424.png
slice_19_44_x1702...
slice_19_45_x17024_y40320.png
slice_19_45_x1702...
slice_20_10_x17920_y8960.png
slice_20_10_x1792...
slice_20_12_x17920_y10752.png
slice_20_12_x1792...
slice_20_16_x17920_y14336.png
slice_20_16_x1792...
slice_20_17_x17920_y15232.png
slice_20_17_x1792...
slice_20_18_x17920_y16128.png
slice_20_18_x1792...
slice_20_19_x17920_y17024.png
slice_20_19_x1792...
slice_20_20_x17920_y17920.png
slice_20_20_x1792...
slice_20_21_x17920_y18816.png
slice_20_21_x1792...
slice_20_22_x17920_y19712.png
slice_20_22_x1792...
slice_20_35_x17920_y31360.png
slice_20_35_x1792...
slice_20_37_x17920_y33152.png
slice_20_37_x1792...
slice_20_38_x17920_y34048.png
slice_20_38_x1792...
slice_20_39_x17920_y34944.png
slice_20_39_x1792...
slice_20_40_x17920_y35840.png
slice_20_40_x1792...
第 4 / 21 页,共 412 张