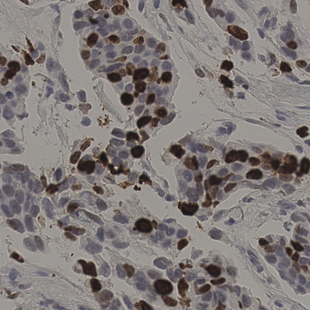
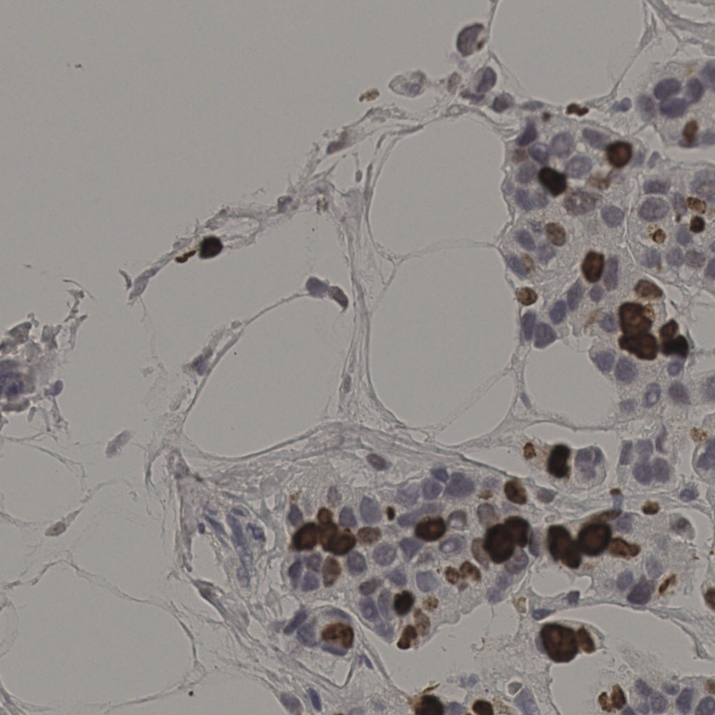
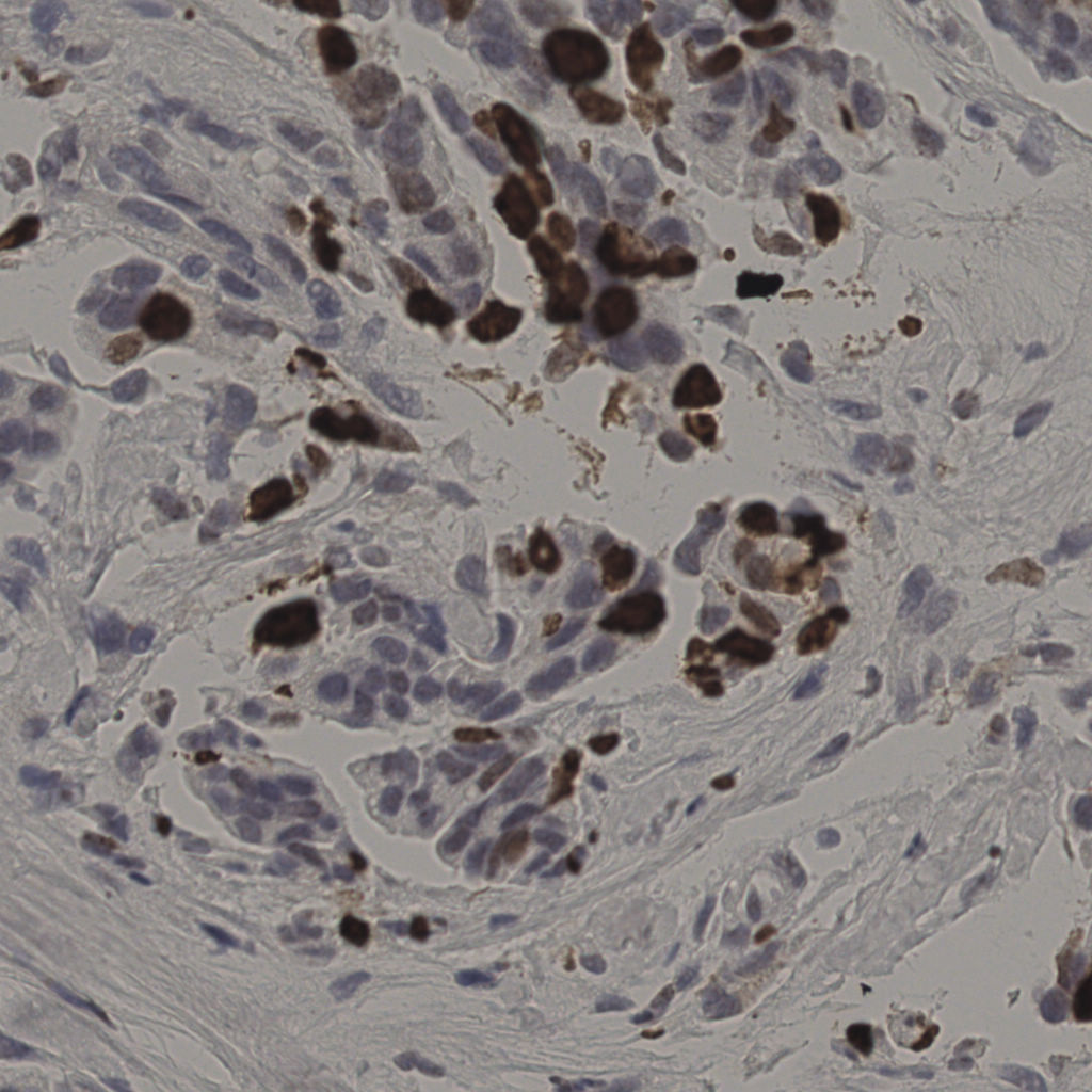
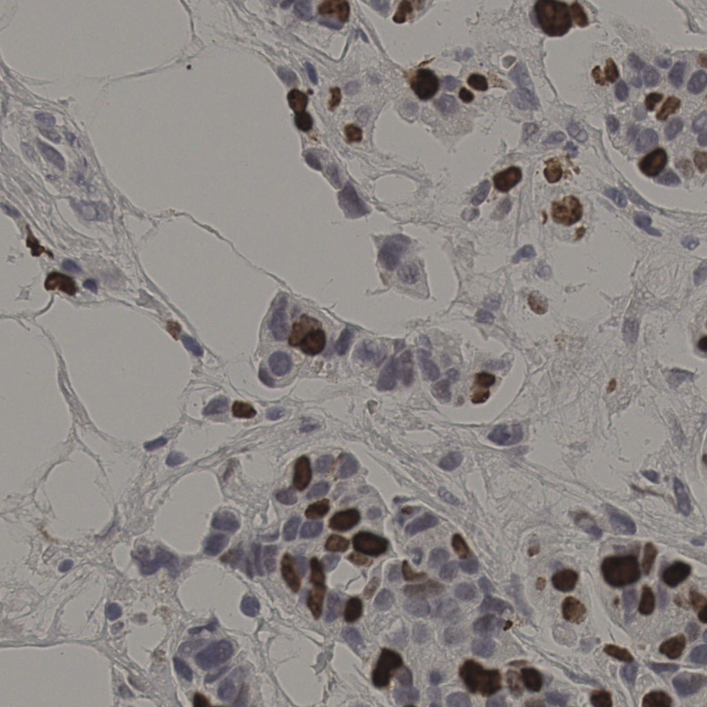
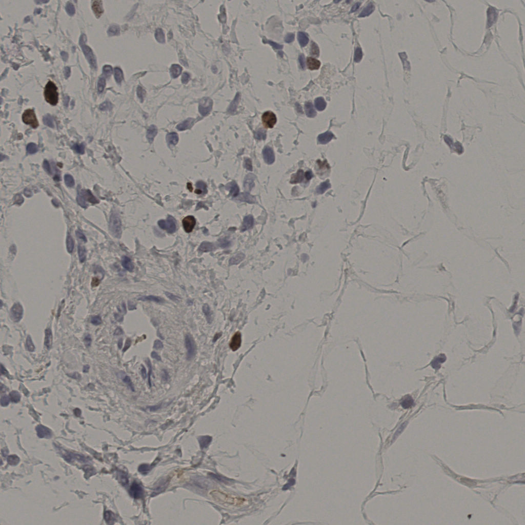
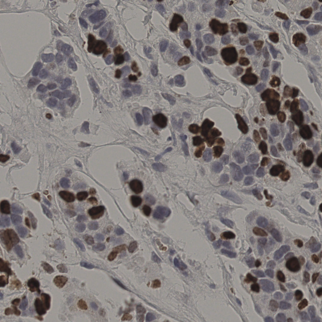
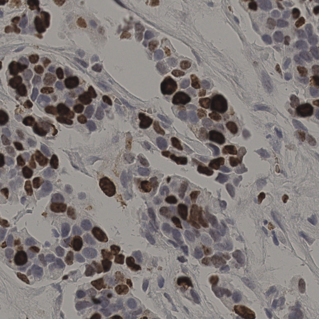
17.75%
Ki67 指数
阴 7986 阳 1723
处理信息
状态 处理完成
上传 2026-04-09 21:03
耗时 3796秒
切片统计
总切片 2640
有效 412
已标记 412
有效率 16%
缩略图
20240285Ki-67.ndpi
slice_20_41_x17920_y36736.png
slice_20_41_x1792...
slice_20_42_x17920_y37632.png
slice_20_42_x1792...
slice_20_43_x17920_y38528.png
slice_20_43_x1792...
slice_20_44_x17920_y39424.png
slice_20_44_x1792...
slice_20_45_x17920_y40320.png
slice_20_45_x1792...
slice_20_7_x17920_y6272.png
slice_20_7_x17920...
slice_21_10_x18816_y8960.png
slice_21_10_x1881...
slice_21_14_x18816_y12544.png
slice_21_14_x1881...
slice_21_15_x18816_y13440.png
slice_21_15_x1881...
slice_21_16_x18816_y14336.png
slice_21_16_x1881...
slice_21_17_x18816_y15232.png
slice_21_17_x1881...
slice_21_18_x18816_y16128.png
slice_21_18_x1881...
slice_21_19_x18816_y17024.png
slice_21_19_x1881...
slice_21_20_x18816_y17920.png
slice_21_20_x1881...
slice_21_21_x18816_y18816.png
slice_21_21_x1881...
slice_21_36_x18816_y32256.png
slice_21_36_x1881...
slice_21_37_x18816_y33152.png
slice_21_37_x1881...
slice_21_38_x18816_y34048.png
slice_21_38_x1881...
slice_21_39_x18816_y34944.png
slice_21_39_x1881...
slice_21_40_x18816_y35840.png
slice_21_40_x1881...
第 5 / 21 页,共 412 张