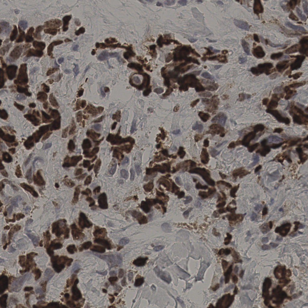
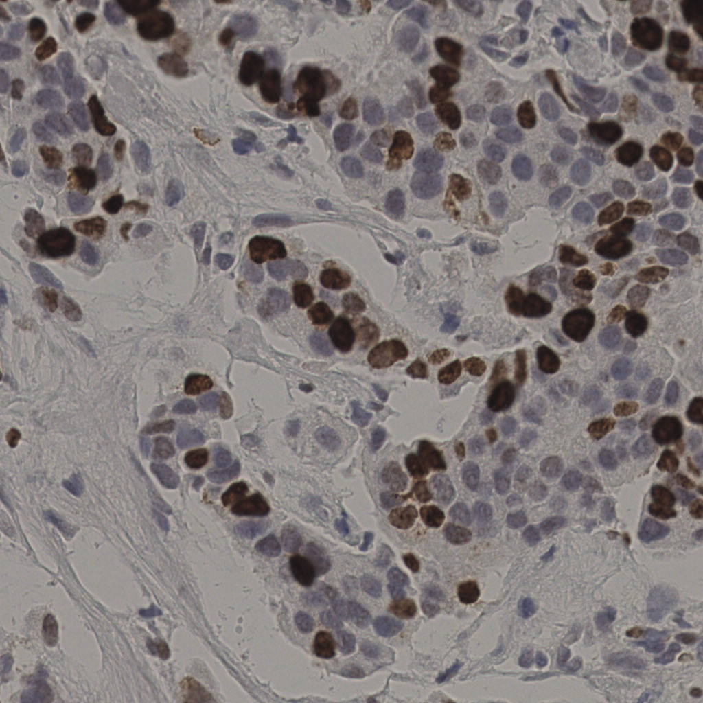
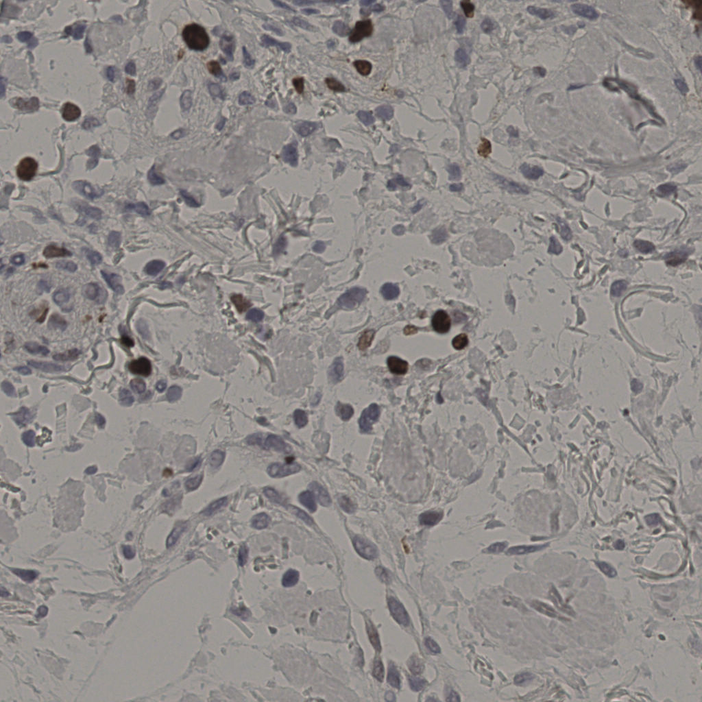
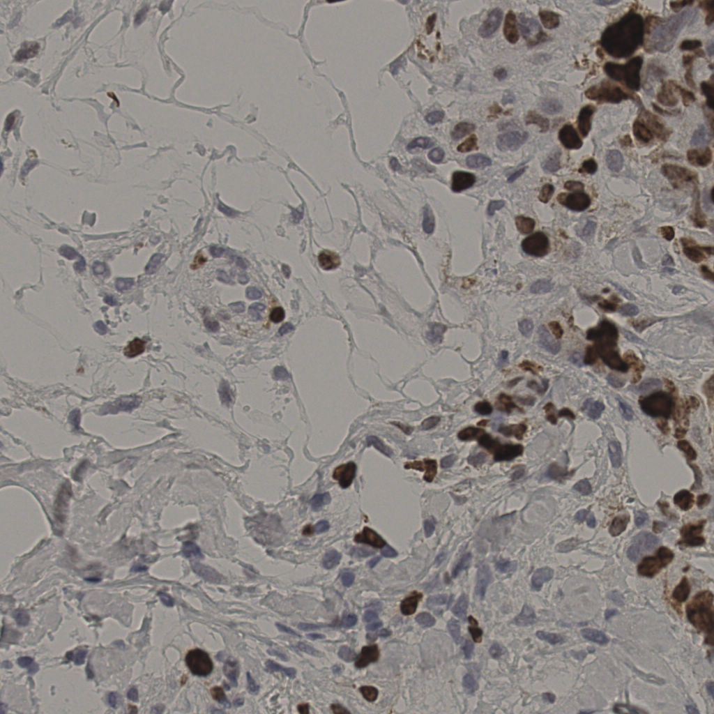
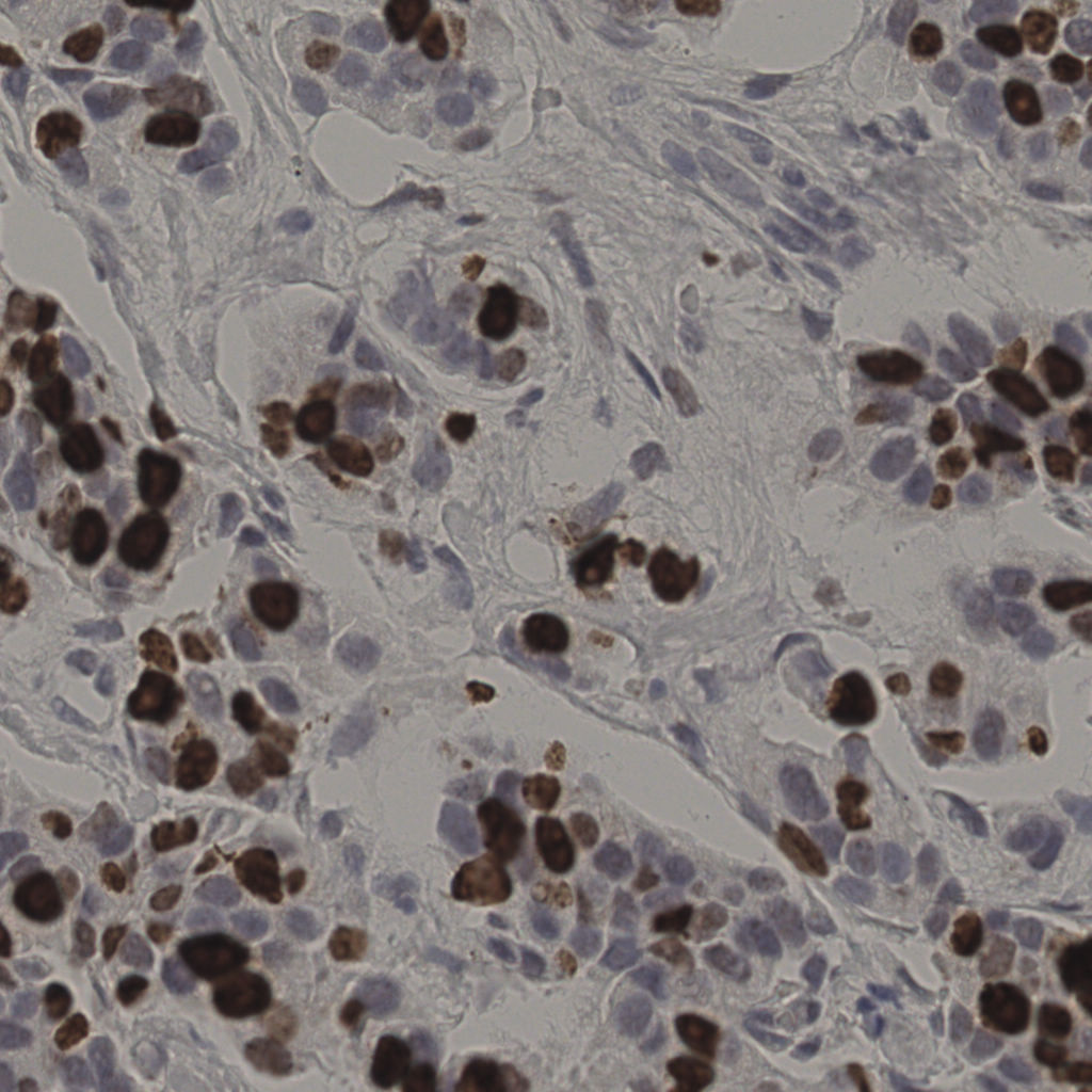
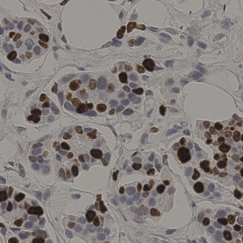
17.75%
Ki67 指数
阴 7986 阳 1723
处理信息
状态 处理完成
上传 2026-04-09 21:03
耗时 3796秒
切片统计
总切片 2640
有效 412
已标记 412
有效率 16%
缩略图
20240285Ki-67.ndpi
slice_21_41_x18816_y36736.png
slice_21_41_x1881...
slice_21_42_x18816_y37632.png
slice_21_42_x1881...
slice_21_44_x18816_y39424.png
slice_21_44_x1881...
slice_21_9_x18816_y8064.png
slice_21_9_x18816...
slice_22_10_x19712_y8960.png
slice_22_10_x1971...
slice_22_12_x19712_y10752.png
slice_22_12_x1971...
slice_22_13_x19712_y11648.png
slice_22_13_x1971...
slice_22_14_x19712_y12544.png
slice_22_14_x1971...
slice_22_15_x19712_y13440.png
slice_22_15_x1971...
slice_22_16_x19712_y14336.png
slice_22_16_x1971...
slice_22_17_x19712_y15232.png
slice_22_17_x1971...
slice_22_18_x19712_y16128.png
slice_22_18_x1971...
slice_22_19_x19712_y17024.png
slice_22_19_x1971...
slice_22_20_x19712_y17920.png
slice_22_20_x1971...
slice_22_37_x19712_y33152.png
slice_22_37_x1971...
slice_22_38_x19712_y34048.png
slice_22_38_x1971...
slice_22_39_x19712_y34944.png
slice_22_39_x1971...
slice_22_40_x19712_y35840.png
slice_22_40_x1971...
slice_22_41_x19712_y36736.png
slice_22_41_x1971...
slice_22_42_x19712_y37632.png
slice_22_42_x1971...
第 6 / 21 页,共 412 张