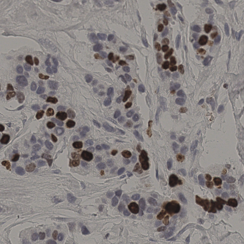
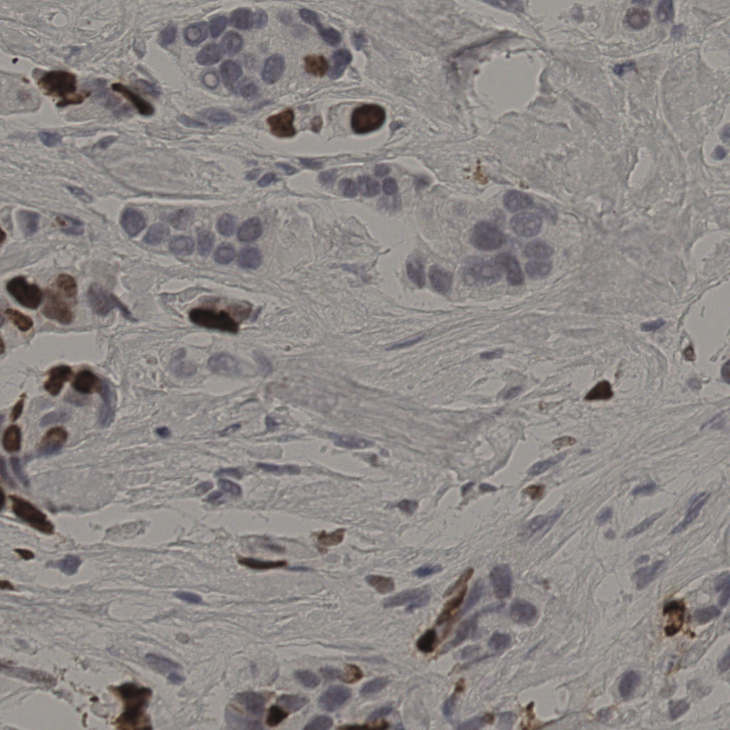
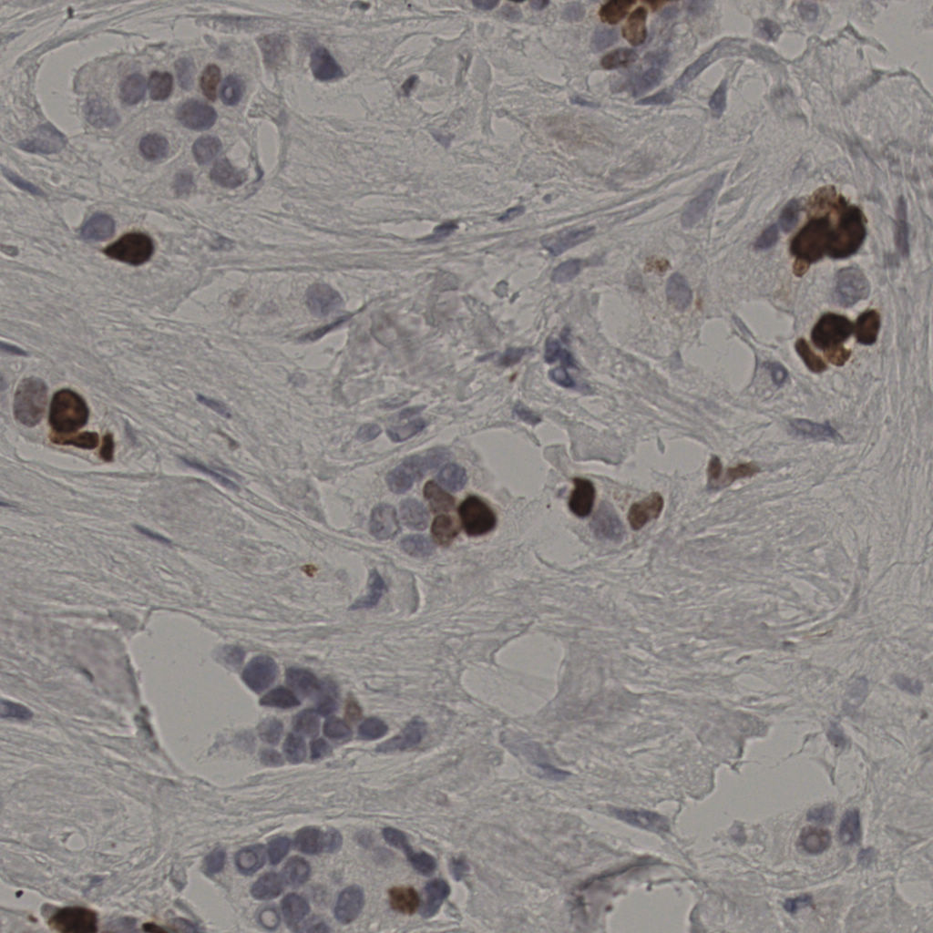
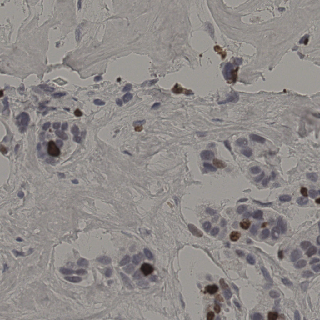
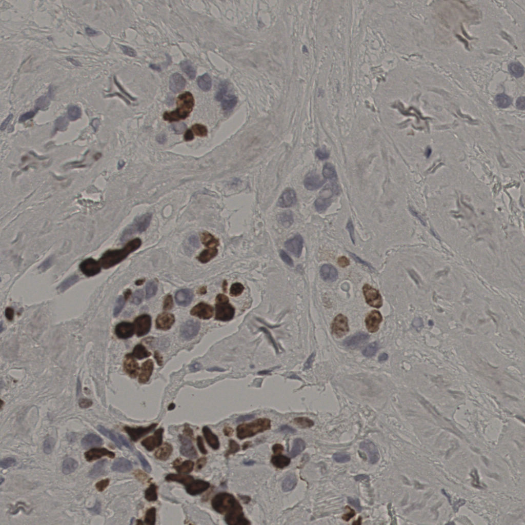
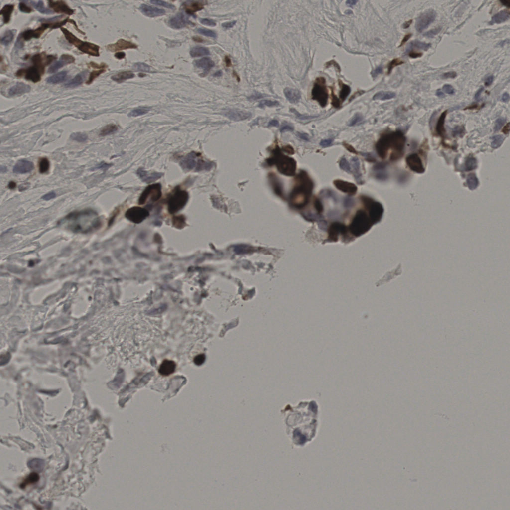
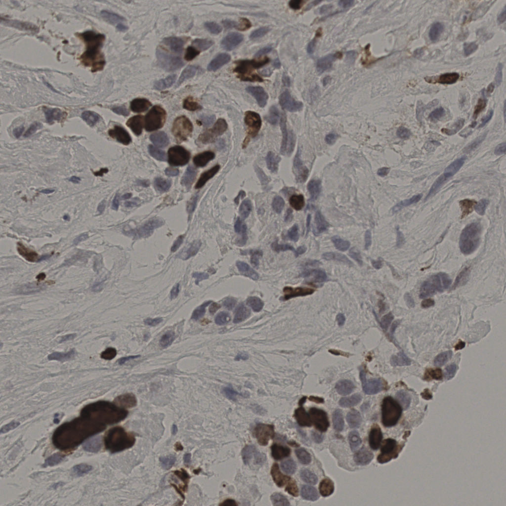
17.75%
Ki67 指数
阴 7986 阳 1723
处理信息
状态 处理完成
上传 2026-04-09 21:03
耗时 3796秒
切片统计
总切片 2640
有效 412
已标记 412
有效率 16%
缩略图
20240285Ki-67.ndpi
slice_24_17_x21504_y15232.png
slice_24_17_x2150...
slice_24_18_x21504_y16128.png
slice_24_18_x2150...
slice_24_29_x21504_y25984.png
slice_24_29_x2150...
slice_24_30_x21504_y26880.png
slice_24_30_x2150...
slice_24_36_x21504_y32256.png
slice_24_36_x2150...
slice_24_37_x21504_y33152.png
slice_24_37_x2150...
slice_24_42_x21504_y37632.png
slice_24_42_x2150...
slice_24_43_x21504_y38528.png
slice_24_43_x2150...
slice_24_44_x21504_y39424.png
slice_24_44_x2150...
slice_24_45_x21504_y40320.png
slice_24_45_x2150...
slice_24_46_x21504_y41216.png
slice_24_46_x2150...
slice_25_13_x22400_y11648.png
slice_25_13_x2240...
slice_25_14_x22400_y12544.png
slice_25_14_x2240...
slice_25_15_x22400_y13440.png
slice_25_15_x2240...
slice_25_16_x22400_y14336.png
slice_25_16_x2240...
slice_25_17_x22400_y15232.png
slice_25_17_x2240...
slice_25_18_x22400_y16128.png
slice_25_18_x2240...
slice_25_34_x22400_y30464.png
slice_25_34_x2240...
slice_25_40_x22400_y35840.png
slice_25_40_x2240...
slice_25_41_x22400_y36736.png
slice_25_41_x2240...
第 8 / 21 页,共 412 张