17.75%
Ki67 指数
阴 7986 阳 1723
处理信息
状态 处理完成
上传 2026-04-09 21:03
耗时 3796秒
切片统计
总切片 2640
有效 412
已标记 412
有效率 16%
缩略图
20240285Ki-67.ndpi
slice_25_42_x22400_y37632.png
slice_25_42_x2240...
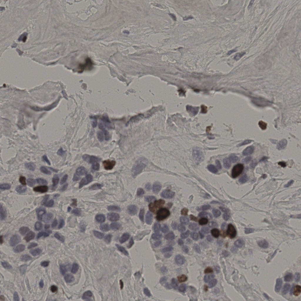
slice_25_43_x22400_y38528.png
slice_25_43_x2240...
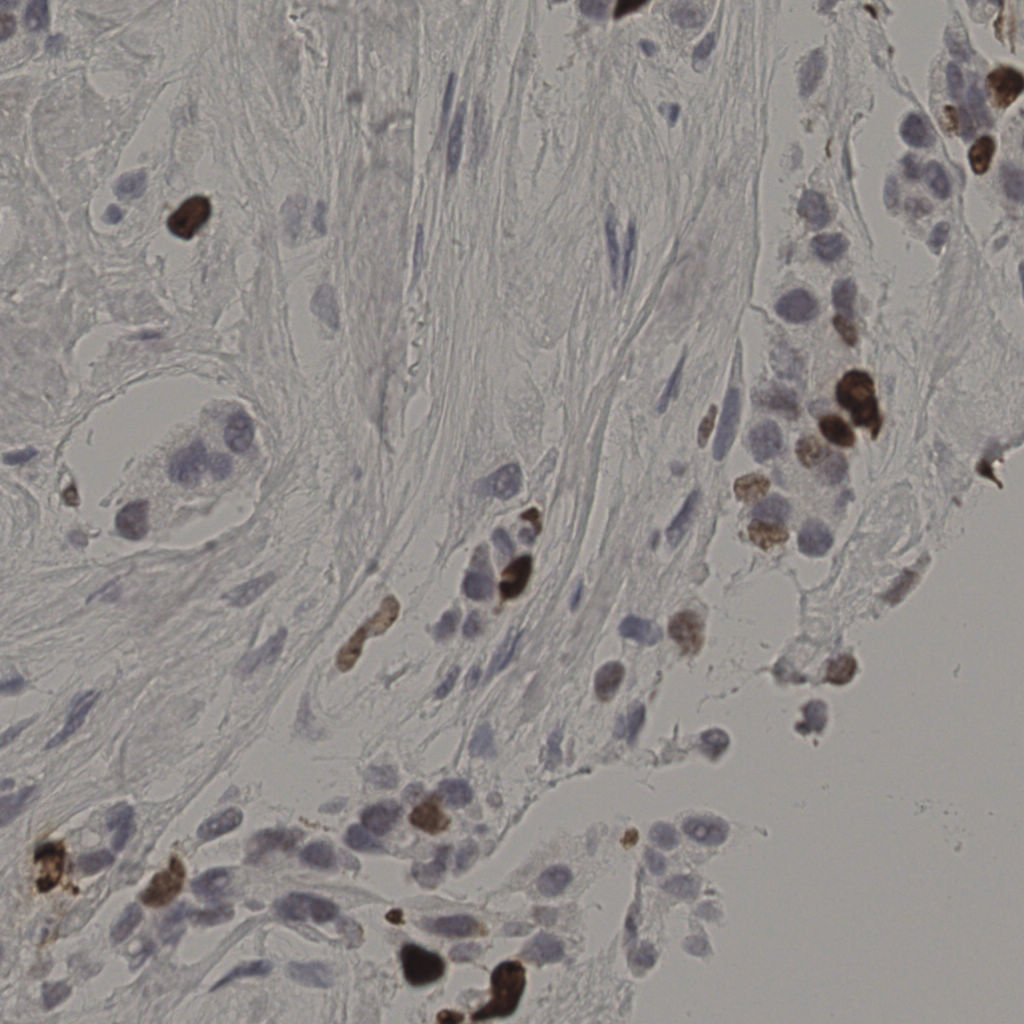
slice_25_44_x22400_y39424.png
slice_25_44_x2240...
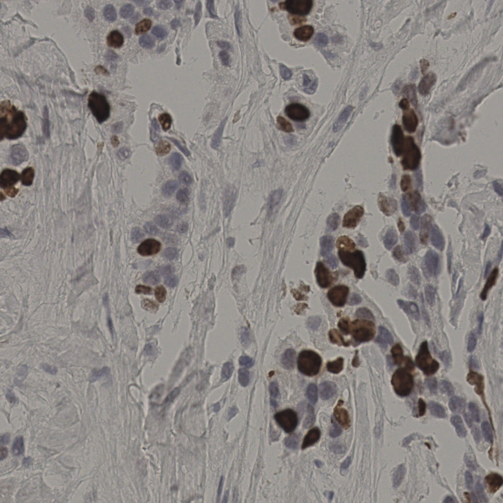
slice_25_45_x22400_y40320.png
slice_25_45_x2240...
slice_26_13_x23296_y11648.png
slice_26_13_x2329...
slice_26_14_x23296_y12544.png
slice_26_14_x2329...
slice_26_15_x23296_y13440.png
slice_26_15_x2329...
slice_26_16_x23296_y14336.png
slice_26_16_x2329...
slice_26_17_x23296_y15232.png
slice_26_17_x2329...
slice_26_40_x23296_y35840.png
slice_26_40_x2329...
slice_26_41_x23296_y36736.png
slice_26_41_x2329...
slice_26_42_x23296_y37632.png
slice_26_42_x2329...
slice_26_43_x23296_y38528.png
slice_26_43_x2329...
slice_26_44_x23296_y39424.png
slice_26_44_x2329...
slice_26_45_x23296_y40320.png
slice_26_45_x2329...
slice_26_46_x23296_y41216.png
slice_26_46_x2329...
slice_26_47_x23296_y42112.png
slice_26_47_x2329...
slice_27_13_x24192_y11648.png
slice_27_13_x2419...
slice_27_14_x24192_y12544.png
slice_27_14_x2419...
slice_27_15_x24192_y13440.png
slice_27_15_x2419...
第 9 / 21 页,共 412 张