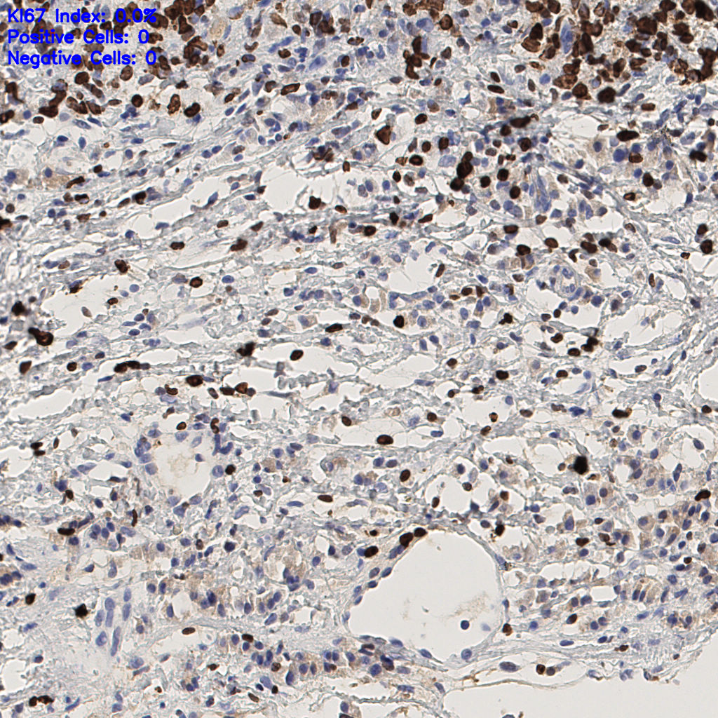
7.85%
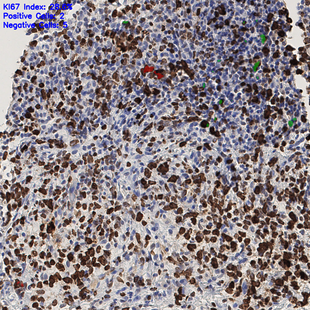
Ki67 指数
阴 1104 阳 94
处理信息
状态 处理完成
上传 2026-04-10 10:30
耗时 2617秒
切片统计
总切片 1953
有效 288
已标记 288
有效率 15%
缩略图
H255858-KI-67.ndpi
slice_46_14_x41216_y12544.png
slice_46_14_x4121...
slice_46_4_x41216_y3584.png
slice_46_4_x41216...
slice_46_5_x41216_y4480.png
slice_46_5_x41216...
slice_46_6_x41216_y5376.png
slice_46_6_x41216...
slice_46_7_x41216_y6272.png
slice_46_7_x41216...
slice_46_8_x41216_y7168.png
slice_46_8_x41216...
slice_46_9_x41216_y8064.png
slice_46_9_x41216...
slice_47_5_x42112_y4480.png
slice_47_5_x42112...
slice_47_6_x42112_y5376.png
slice_47_6_x42112...
slice_47_7_x42112_y6272.png
slice_47_7_x42112...
slice_47_8_x42112_y7168.png
slice_47_8_x42112...
slice_47_9_x42112_y8064.png
slice_47_9_x42112...
slice_48_12_x43008_y10752.png
slice_48_12_x4300...
slice_48_13_x43008_y11648.png
slice_48_13_x4300...
slice_48_4_x43008_y3584.png
slice_48_4_x43008...
slice_48_5_x43008_y4480.png
slice_48_5_x43008...
slice_48_6_x43008_y5376.png
slice_48_6_x43008...
slice_48_7_x43008_y6272.png
slice_48_7_x43008...
slice_48_8_x43008_y7168.png
slice_48_8_x43008...
slice_49_12_x43904_y10752.png
slice_49_12_x4390...
第 7 / 15 页,共 288 张