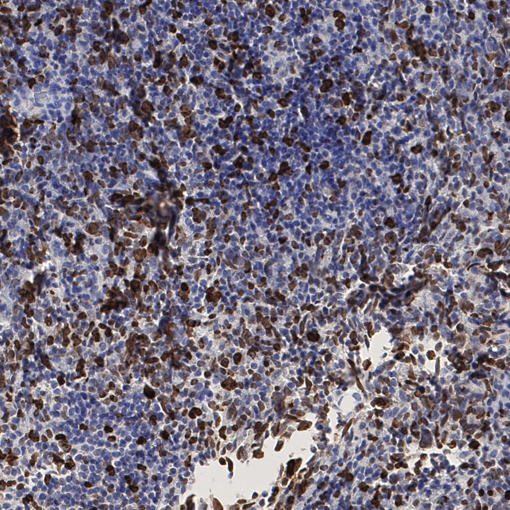
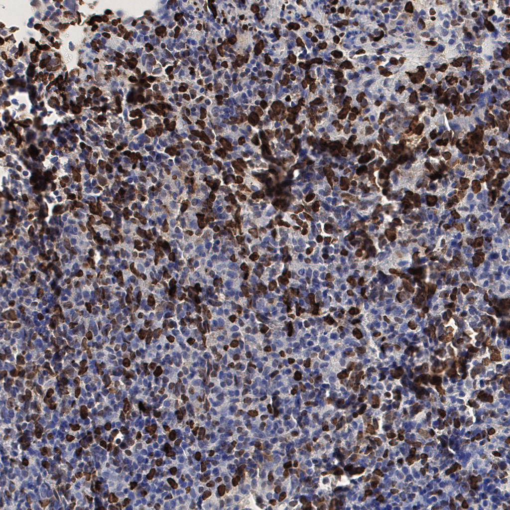
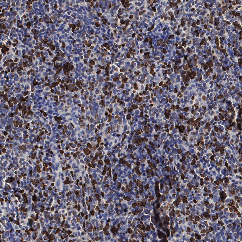
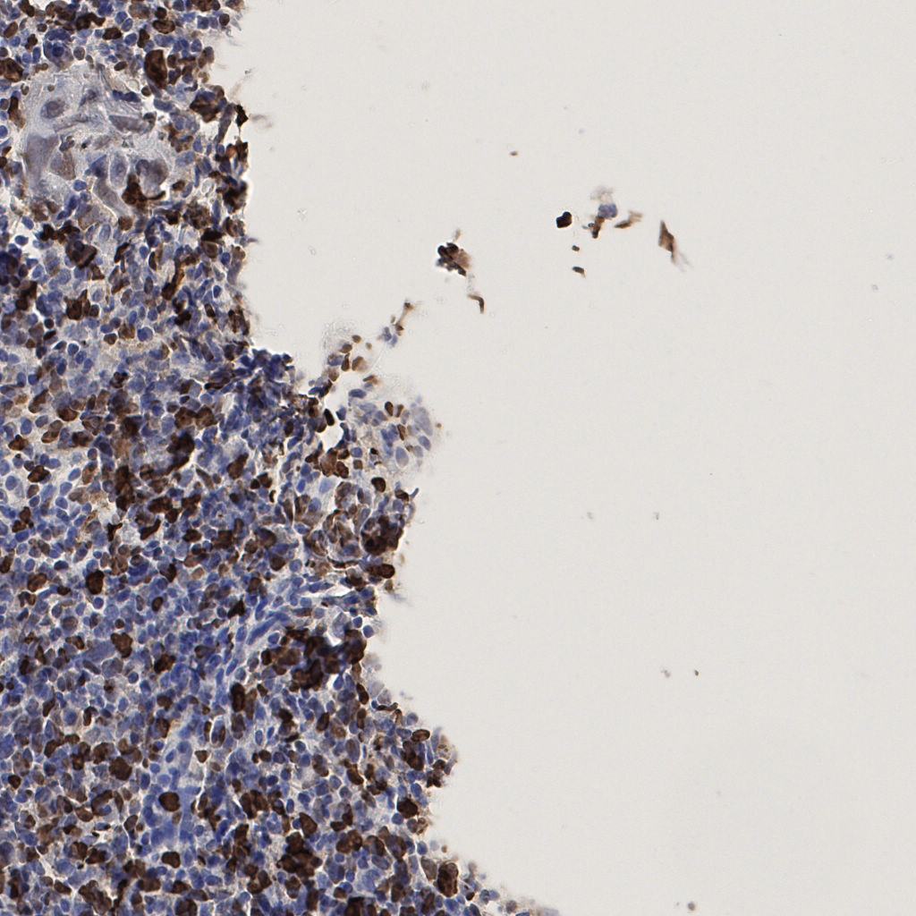
7.85%
Ki67 指数
阴 1104 阳 94
处理信息
状态 处理完成
上传 2026-04-10 10:30
耗时 2617秒
切片统计
总切片 1953
有效 288
已标记 288
有效率 15%
缩略图
H255858-KI-67.ndpi
slice_53_19_x47488_y17024.png
slice_53_19_x4748...
slice_53_20_x47488_y17920.png
slice_53_20_x4748...
slice_53_21_x47488_y18816.png
slice_53_21_x4748...
slice_53_2_x47488_y1792.png
slice_53_2_x47488...
slice_53_3_x47488_y2688.png
slice_53_3_x47488...
slice_53_4_x47488_y3584.png
slice_53_4_x47488...
slice_53_5_x47488_y4480.png
slice_53_5_x47488...
slice_54_16_x48384_y14336.png
slice_54_16_x4838...
slice_54_17_x48384_y15232.png
slice_54_17_x4838...
slice_54_18_x48384_y16128.png
slice_54_18_x4838...
slice_54_19_x48384_y17024.png
slice_54_19_x4838...
slice_54_20_x48384_y17920.png
slice_54_20_x4838...
slice_54_21_x48384_y18816.png
slice_54_21_x4838...
slice_54_2_x48384_y1792.png
slice_54_2_x48384...
slice_54_3_x48384_y2688.png
slice_54_3_x48384...
slice_54_4_x48384_y3584.png
slice_54_4_x48384...
slice_54_5_x48384_y4480.png
slice_54_5_x48384...
slice_55_17_x49280_y15232.png
slice_55_17_x4928...
slice_55_18_x49280_y16128.png
slice_55_18_x4928...
slice_55_19_x49280_y17024.png
slice_55_19_x4928...
第 10 / 15 页,共 288 张