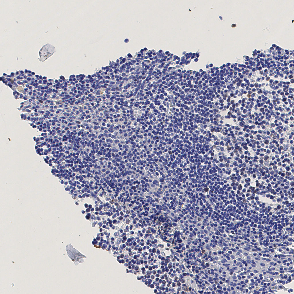
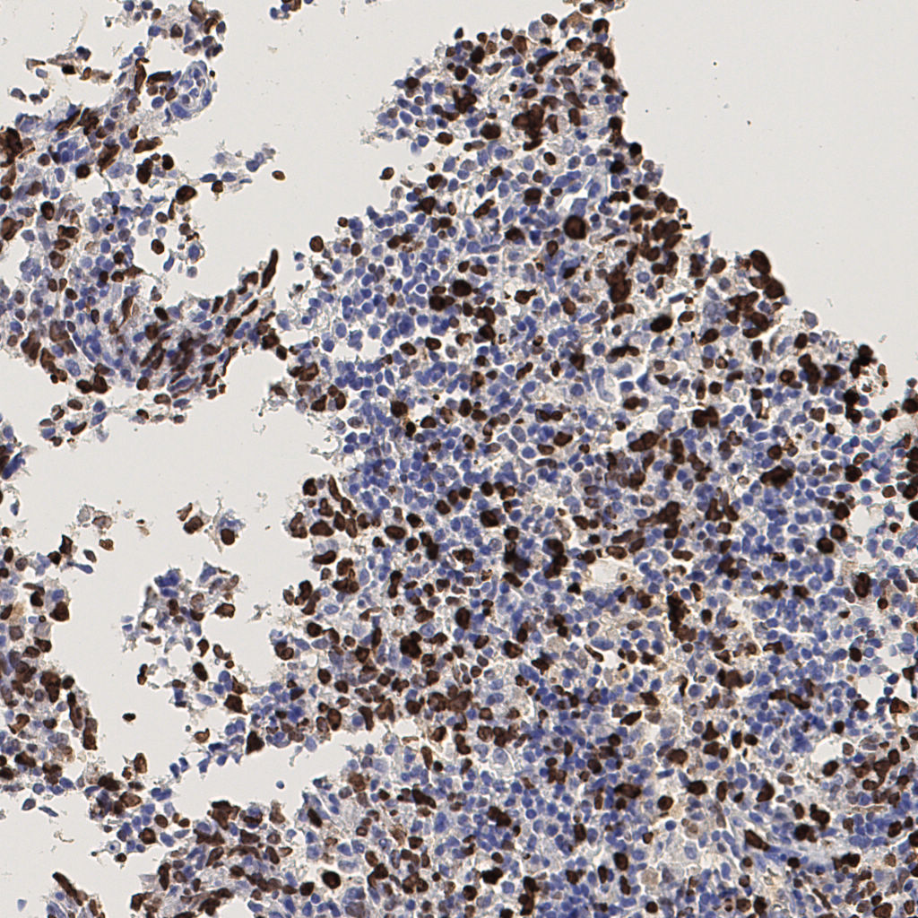
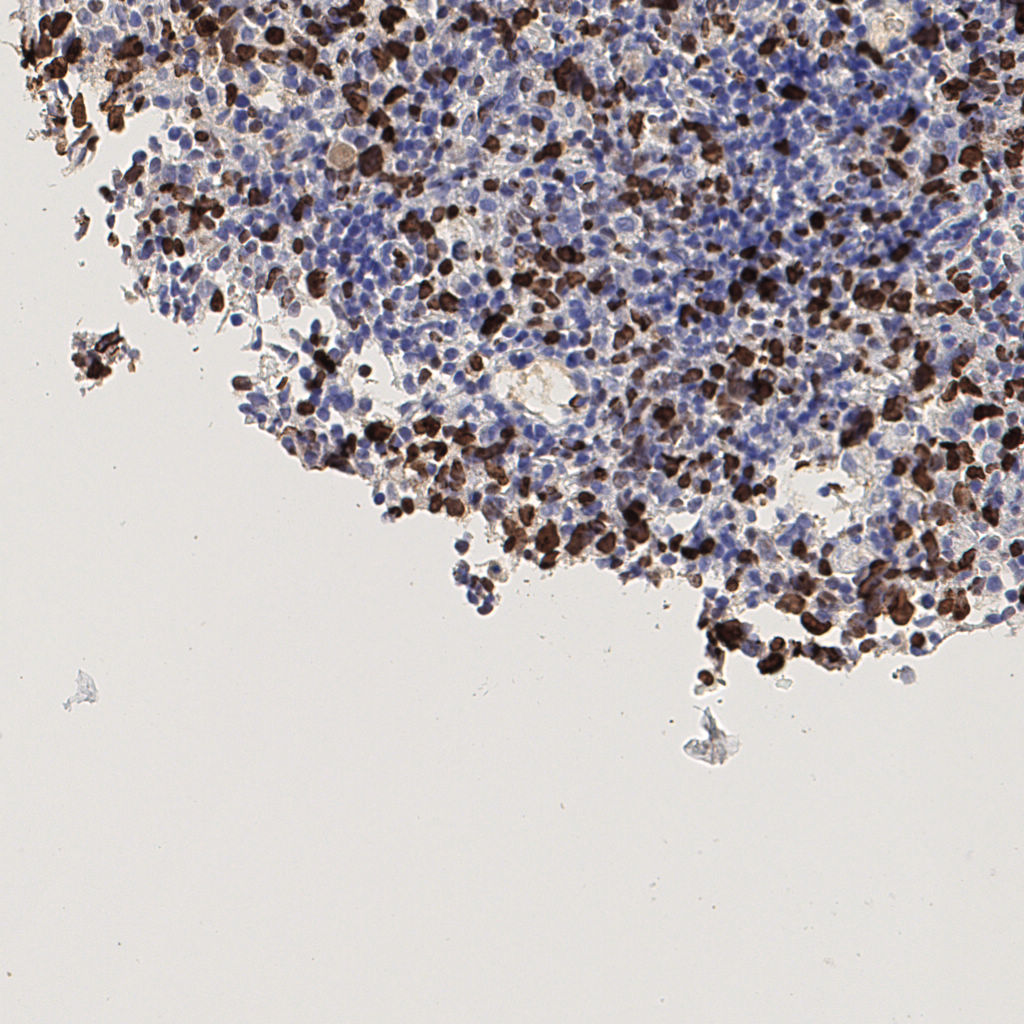
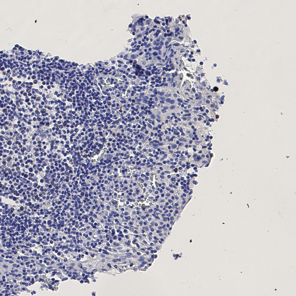
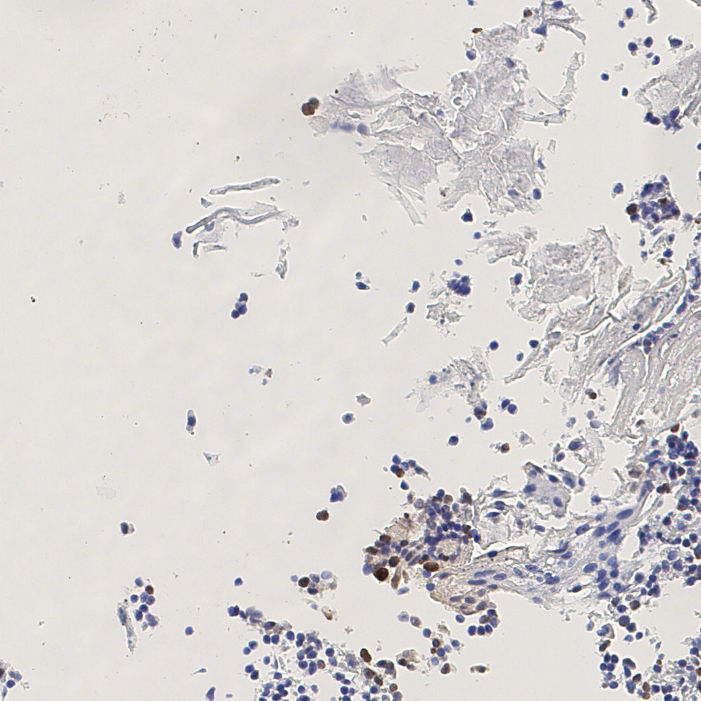
7.85%
Ki67 指数
阴 1104 阳 94
处理信息
状态 处理完成
上传 2026-04-10 10:30
耗时 2617秒
切片统计
总切片 1953
有效 288
已标记 288
有效率 15%
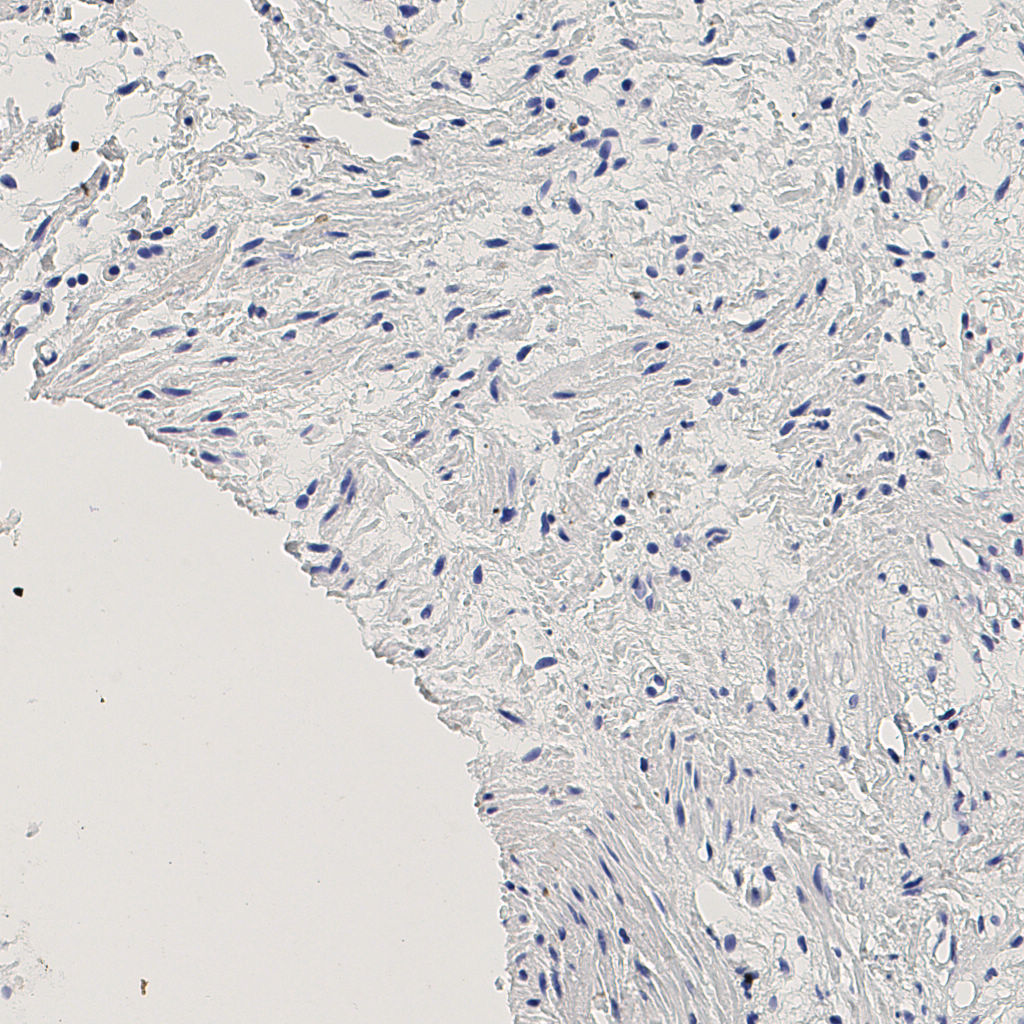
缩略图
H255858-KI-67.ndpi
slice_14_26_x12544_y23296.png
slice_14_26_x1254...
slice_2_12_x1792_y10752.png
slice_2_12_x1792_...
slice_2_14_x1792_y12544.png
slice_2_14_x1792_...
slice_38_11_x34048_y9856.png
slice_38_11_x3404...
slice_38_4_x34048_y3584.png
slice_38_4_x34048...
slice_38_6_x34048_y5376.png
slice_38_6_x34048...
slice_39_10_x34944_y8960.png
slice_39_10_x3494...
slice_39_11_x34944_y9856.png
slice_39_11_x3494...
slice_39_3_x34944_y2688.png
slice_39_3_x34944...
slice_39_4_x34944_y3584.png
slice_39_4_x34944...
slice_39_5_x34944_y4480.png
slice_39_5_x34944...
slice_39_6_x34944_y5376.png
slice_39_6_x34944...
slice_39_7_x34944_y6272.png
slice_39_7_x34944...
slice_3_11_x2688_y9856.png
slice_3_11_x2688_...
slice_3_12_x2688_y10752.png
slice_3_12_x2688_...
slice_3_14_x2688_y12544.png
slice_3_14_x2688_...
slice_3_21_x2688_y18816.png
slice_3_21_x2688_...
slice_3_22_x2688_y19712.png
slice_3_22_x2688_...
slice_3_23_x2688_y20608.png
slice_3_23_x2688_...
slice_3_24_x2688_y21504.png
slice_3_24_x2688_...
第 3 / 15 页,共 288 张