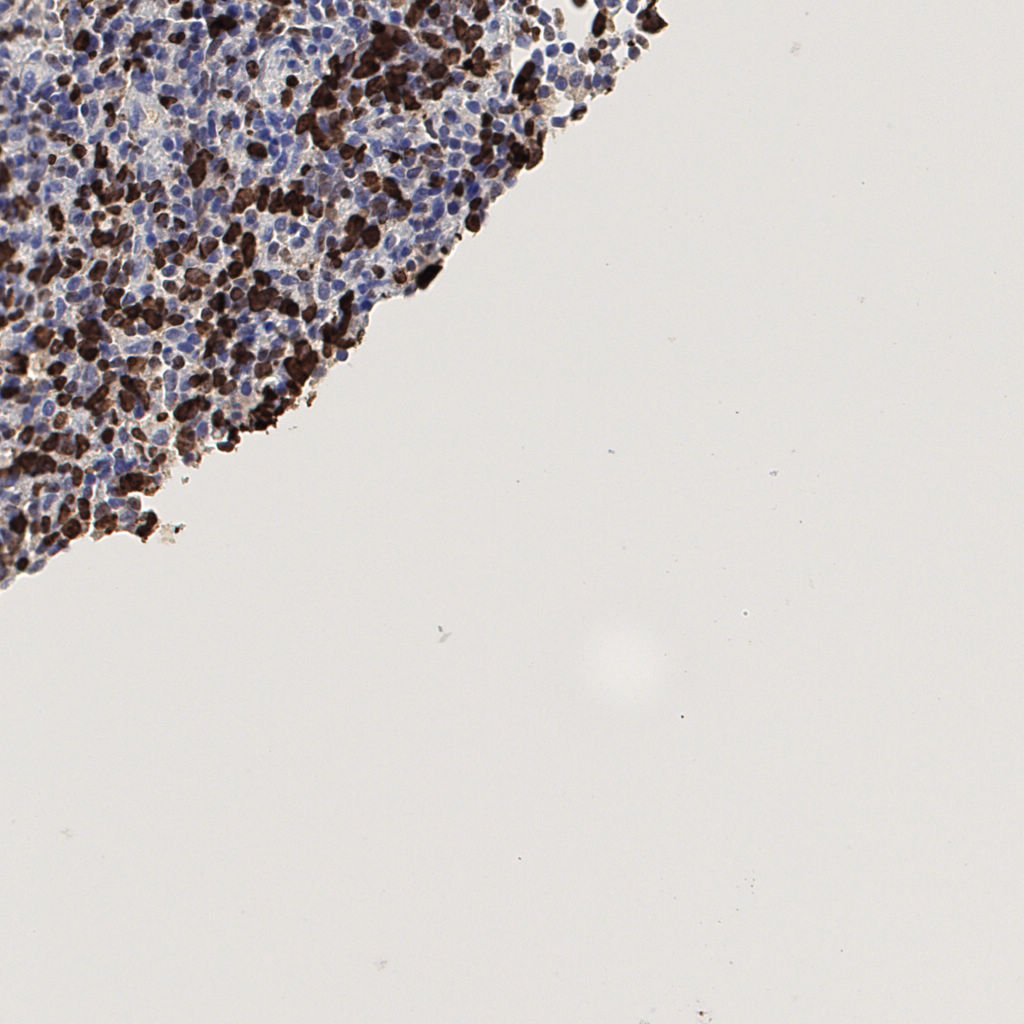
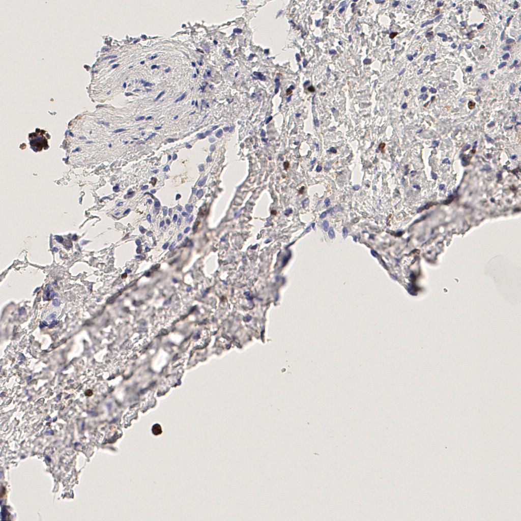
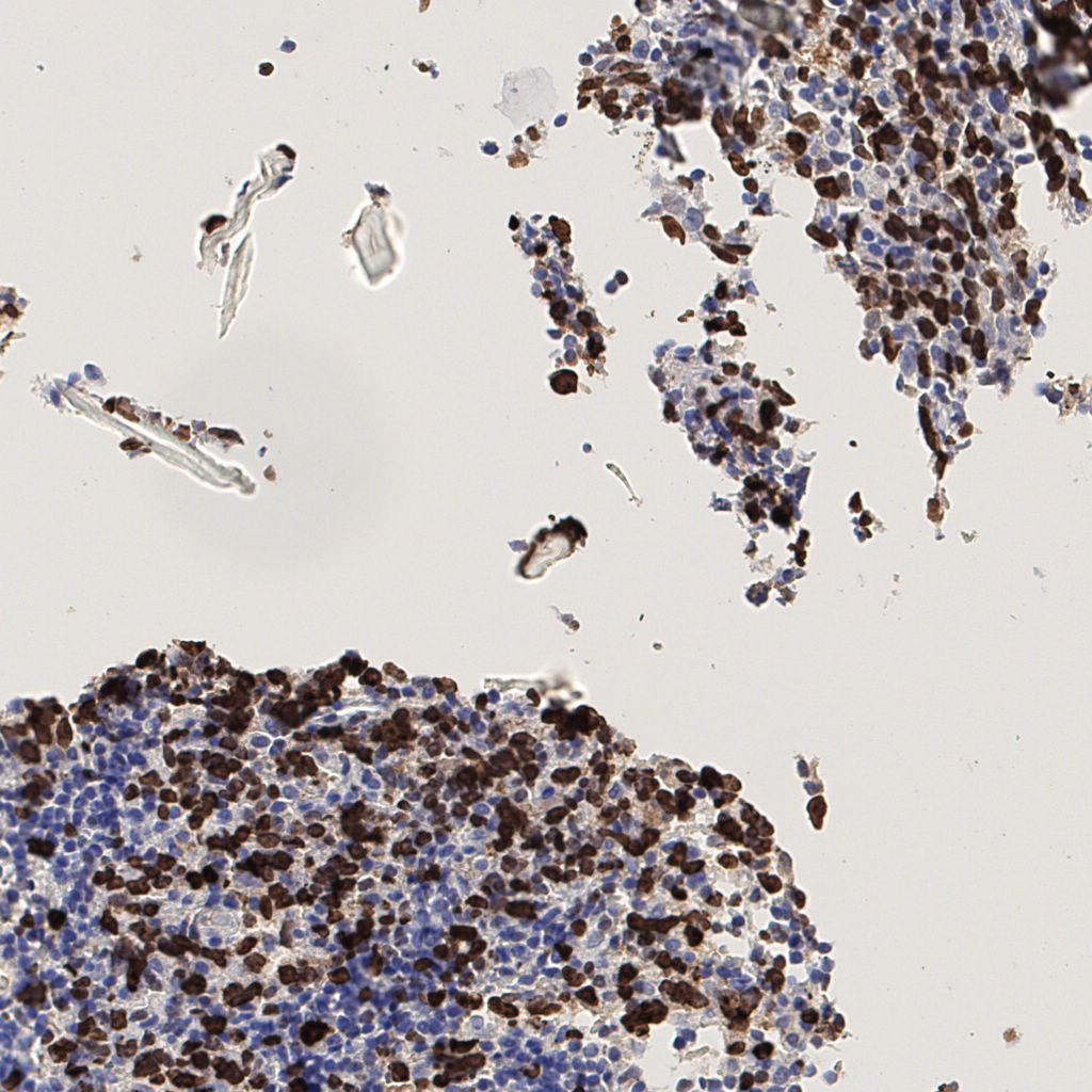
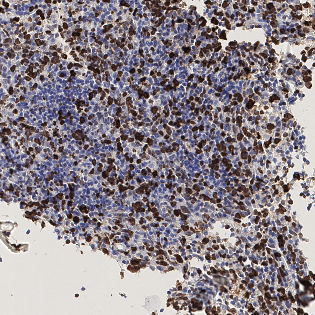
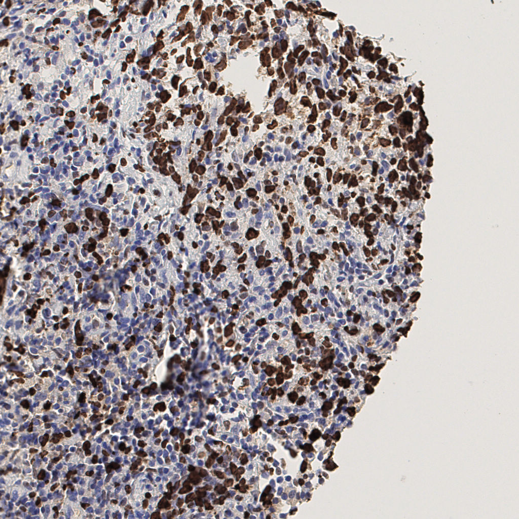
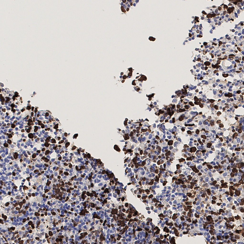
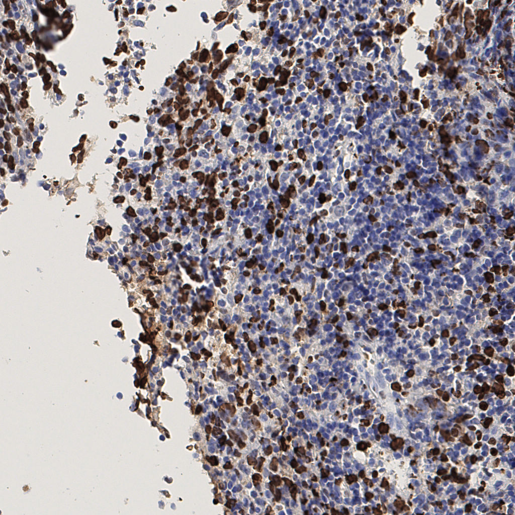
7.85%
Ki67 指数
阴 1104 阳 94
处理信息
状态 处理完成
上传 2026-04-10 10:30
耗时 2617秒
切片统计
总切片 1953
有效 288
已标记 288
有效率 15%
缩略图
H255858-KI-67.ndpi
slice_40_10_x35840_y8960.png
slice_40_10_x3584...
slice_40_11_x35840_y9856.png
slice_40_11_x3584...
slice_40_13_x35840_y11648.png
slice_40_13_x3584...
slice_40_14_x35840_y12544.png
slice_40_14_x3584...
slice_40_3_x35840_y2688.png
slice_40_3_x35840...
slice_40_4_x35840_y3584.png
slice_40_4_x35840...
slice_40_5_x35840_y4480.png
slice_40_5_x35840...
slice_40_6_x35840_y5376.png
slice_40_6_x35840...
slice_40_7_x35840_y6272.png
slice_40_7_x35840...
slice_40_9_x35840_y8064.png
slice_40_9_x35840...
slice_41_13_x36736_y11648.png
slice_41_13_x3673...
slice_41_3_x36736_y2688.png
slice_41_3_x36736...
slice_41_4_x36736_y3584.png
slice_41_4_x36736...
slice_41_5_x36736_y4480.png
slice_41_5_x36736...
slice_41_6_x36736_y5376.png
slice_41_6_x36736...
slice_41_7_x36736_y6272.png
slice_41_7_x36736...
slice_41_8_x36736_y7168.png
slice_41_8_x36736...
slice_41_9_x36736_y8064.png
slice_41_9_x36736...
slice_42_12_x37632_y10752.png
slice_42_12_x3763...
slice_42_3_x37632_y2688.png
slice_42_3_x37632...
第 4 / 15 页,共 288 张