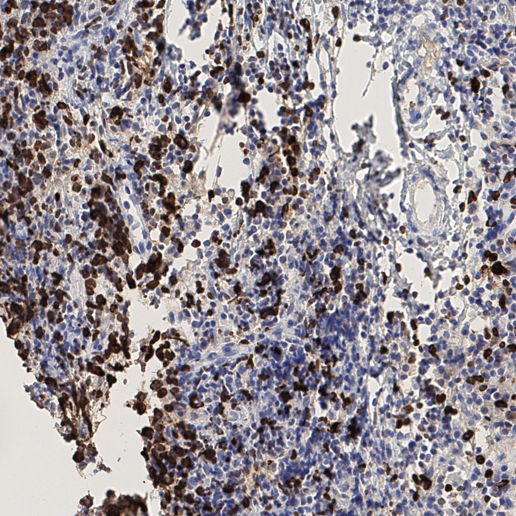
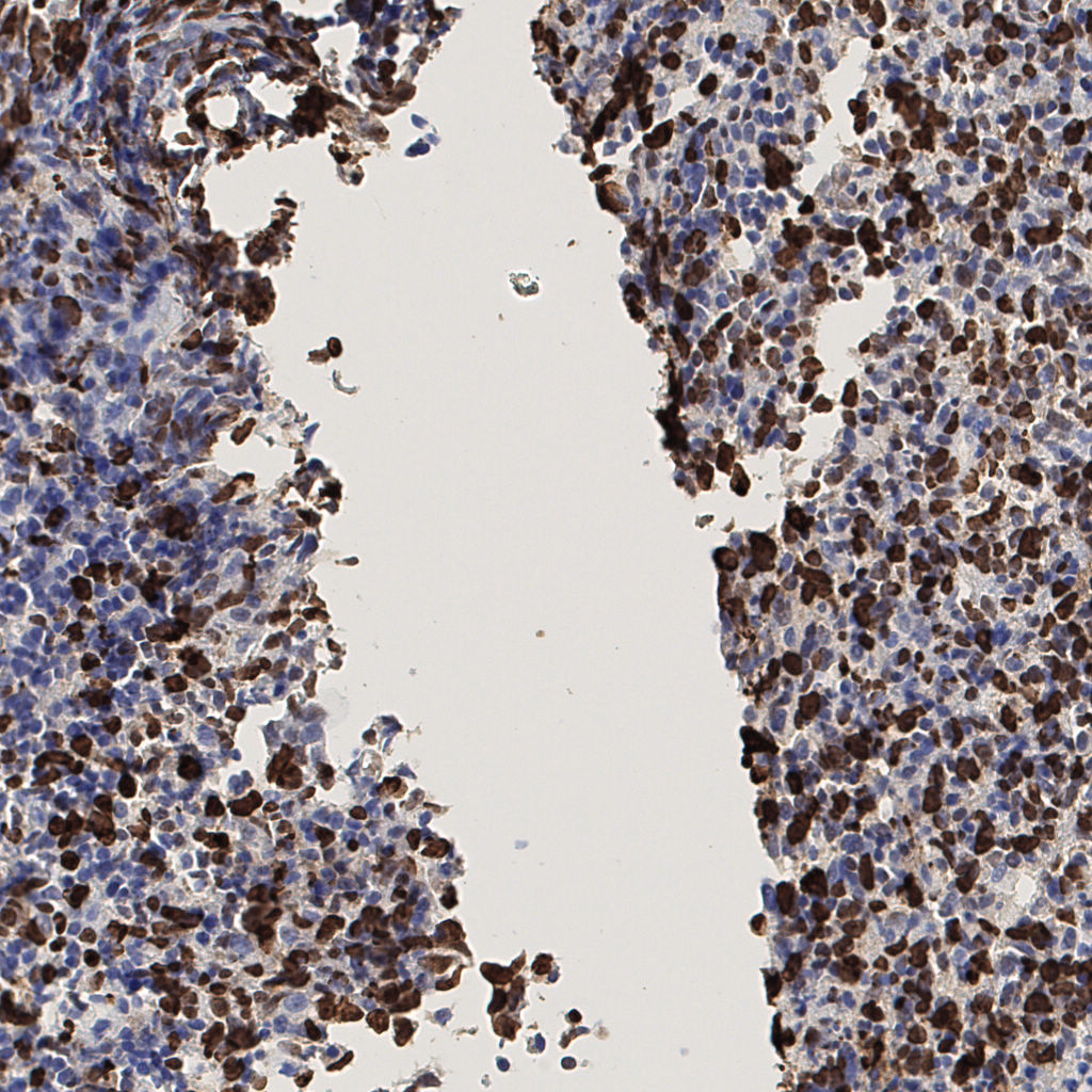
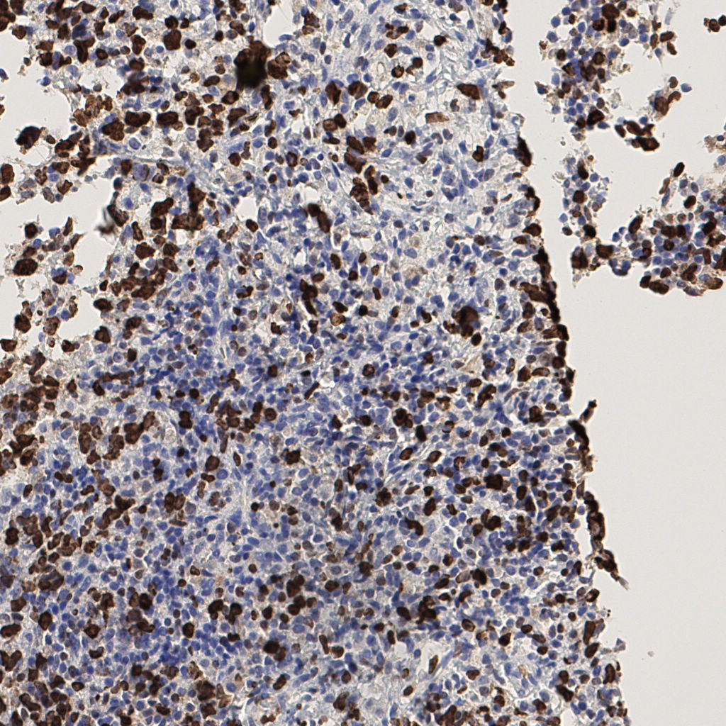
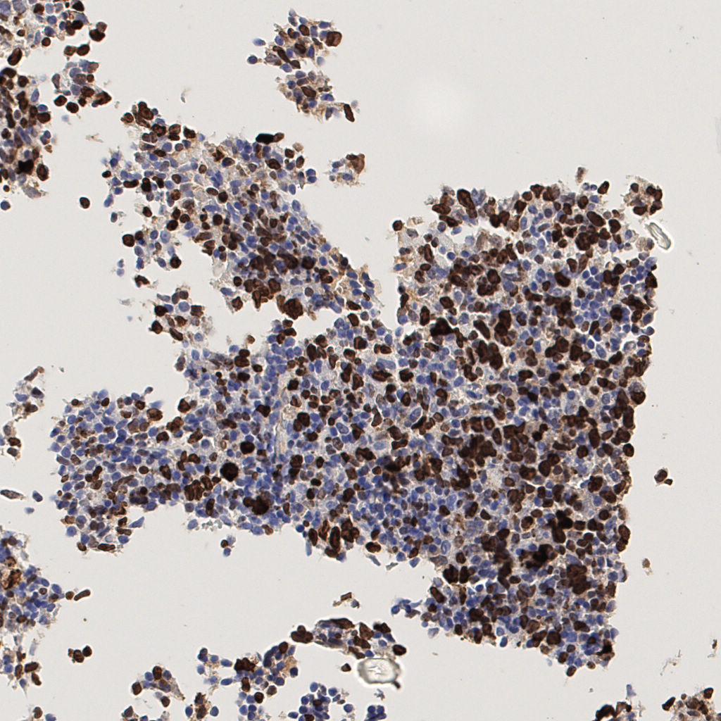
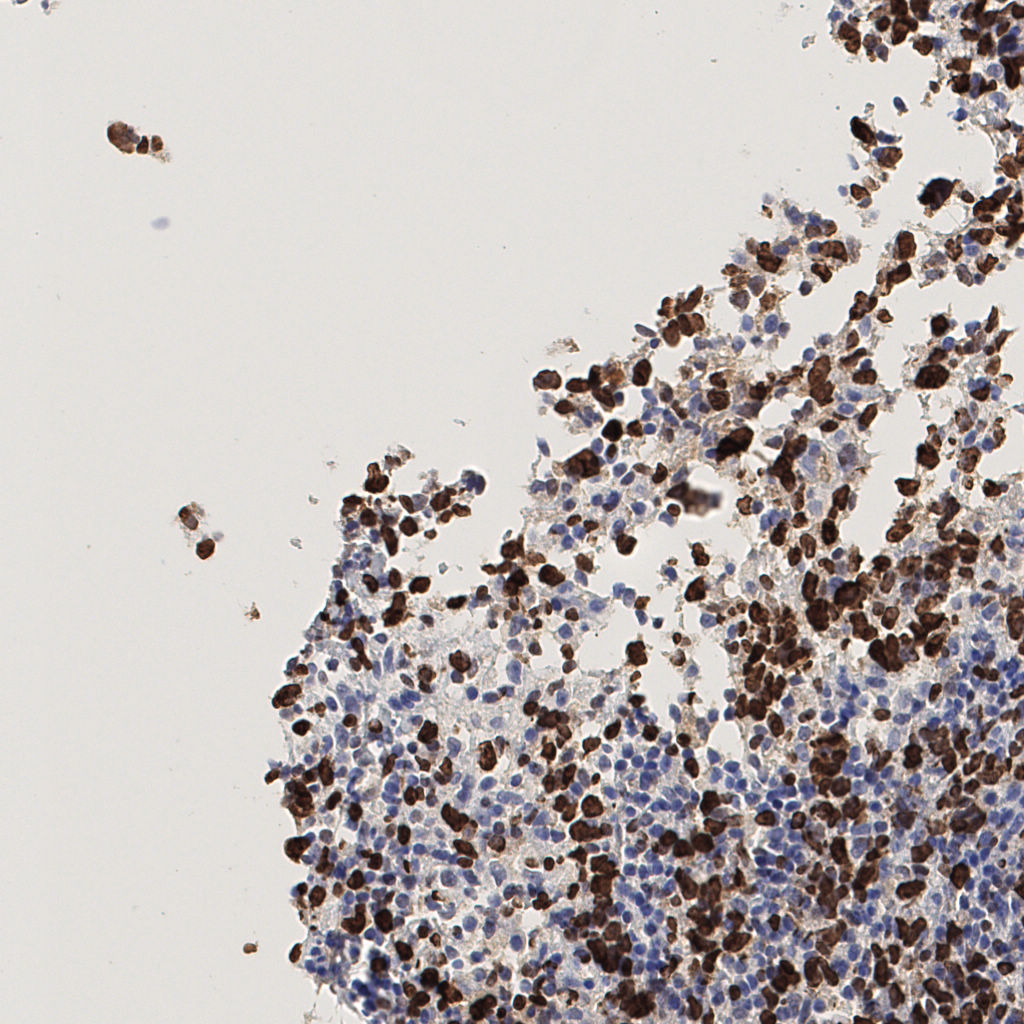
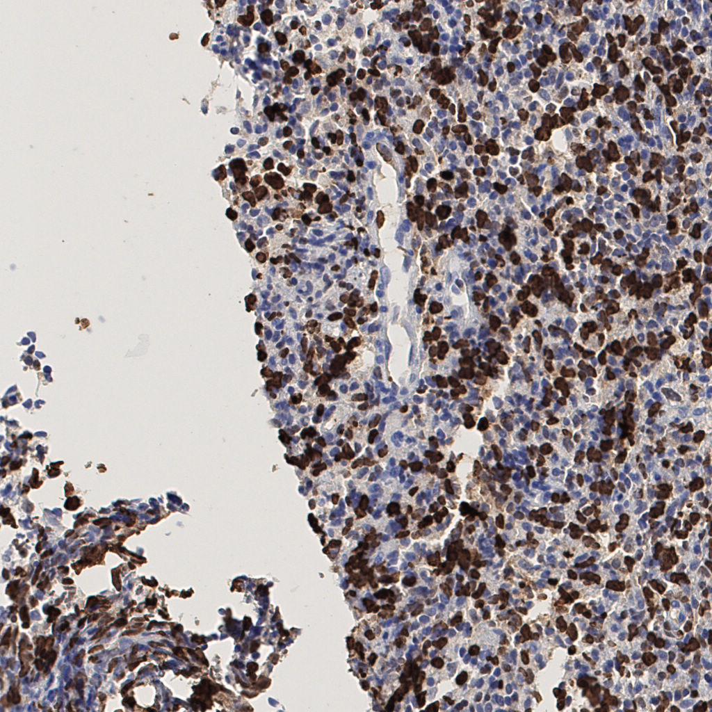
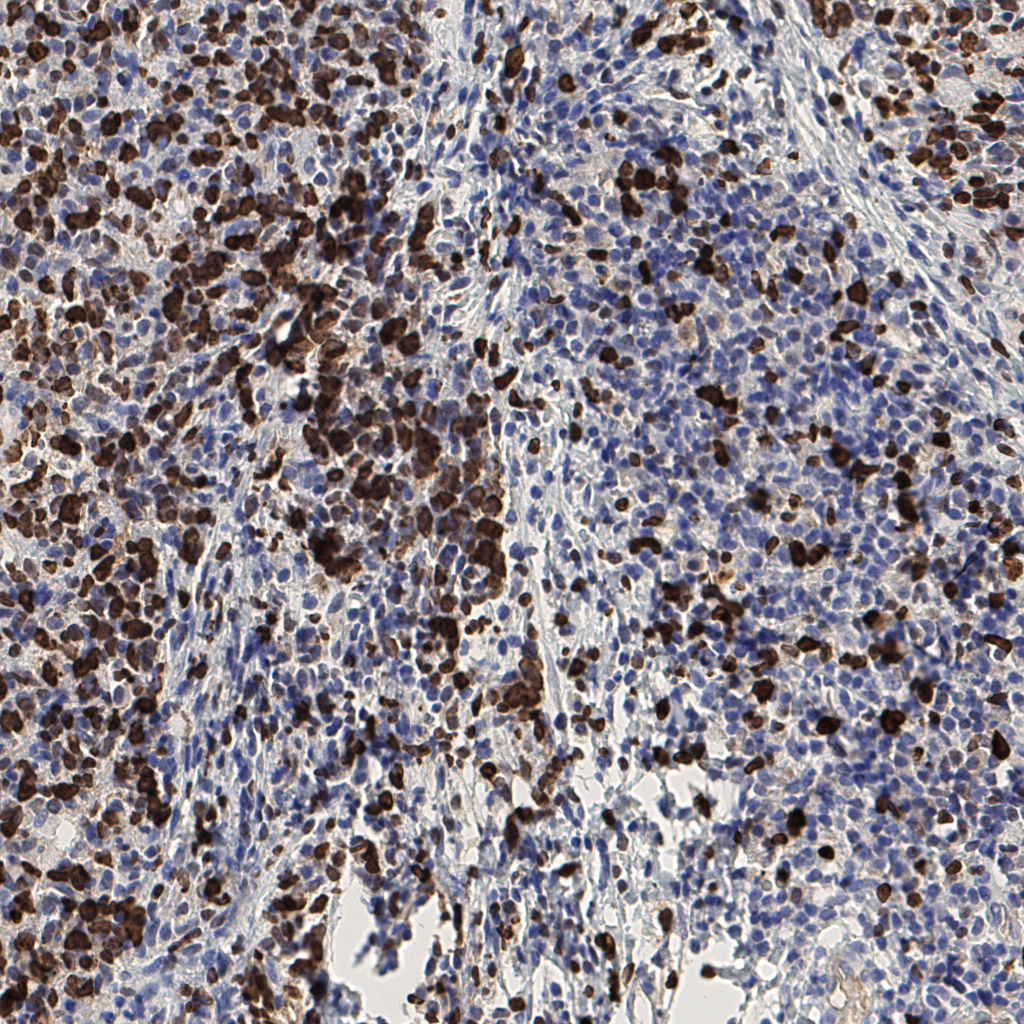
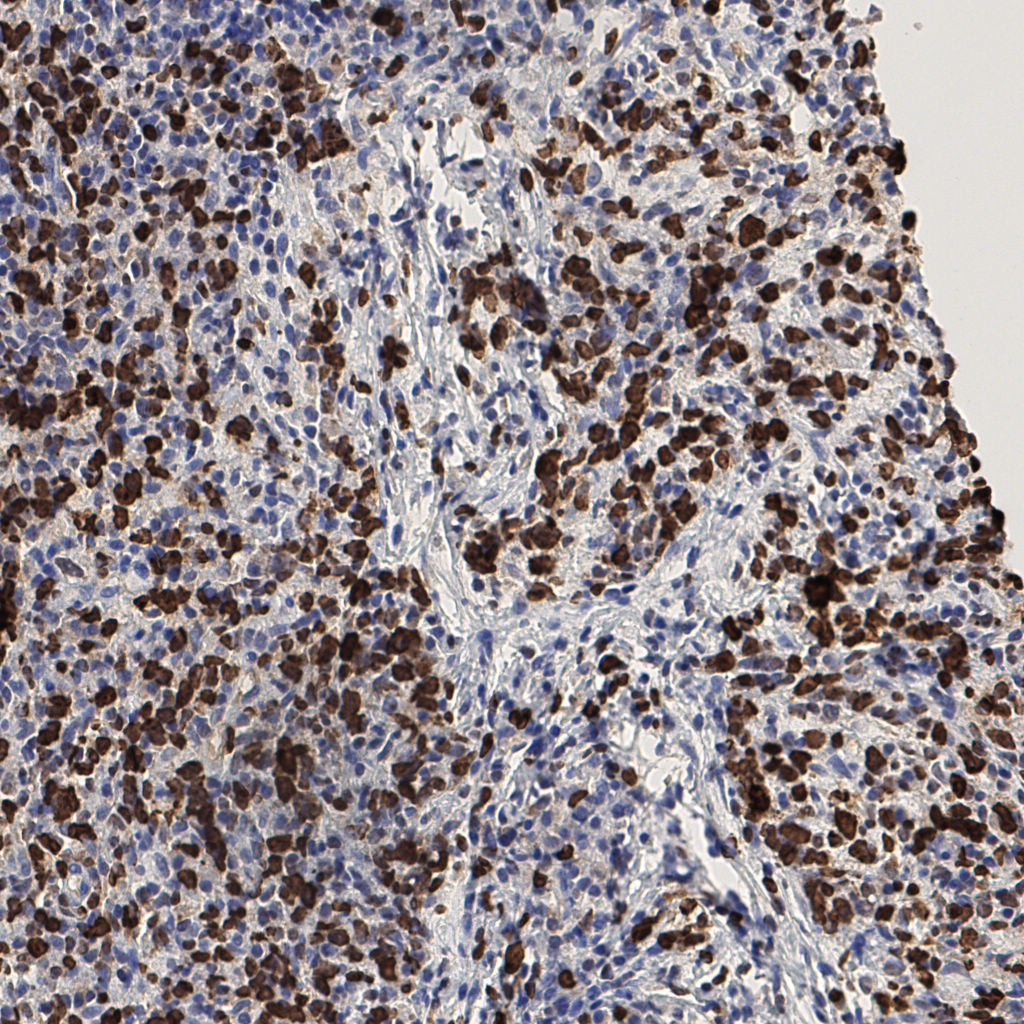
7.85%
Ki67 指数
阴 1104 阳 94
处理信息
状态 处理完成
上传 2026-04-10 10:30
耗时 2617秒
切片统计
总切片 1953
有效 288
已标记 288
有效率 15%
缩略图
H255858-KI-67.ndpi
slice_42_4_x37632_y3584.png
slice_42_4_x37632...
slice_42_5_x37632_y4480.png
slice_42_5_x37632...
slice_42_6_x37632_y5376.png
slice_42_6_x37632...
slice_42_7_x37632_y6272.png
slice_42_7_x37632...
slice_43_2_x38528_y1792.png
slice_43_2_x38528...
slice_43_3_x38528_y2688.png
slice_43_3_x38528...
slice_43_4_x38528_y3584.png
slice_43_4_x38528...
slice_43_5_x38528_y4480.png
slice_43_5_x38528...
slice_43_6_x38528_y5376.png
slice_43_6_x38528...
slice_43_7_x38528_y6272.png
slice_43_7_x38528...
slice_43_8_x38528_y7168.png
slice_43_8_x38528...
slice_43_9_x38528_y8064.png
slice_43_9_x38528...
slice_44_10_x39424_y8960.png
slice_44_10_x3942...
slice_44_12_x39424_y10752.png
slice_44_12_x3942...
slice_44_13_x39424_y11648.png
slice_44_13_x3942...
slice_44_15_x39424_y13440.png
slice_44_15_x3942...
slice_44_17_x39424_y15232.png
slice_44_17_x3942...
slice_44_18_x39424_y16128.png
slice_44_18_x3942...
slice_44_2_x39424_y1792.png
slice_44_2_x39424...
slice_44_3_x39424_y2688.png
slice_44_3_x39424...
第 5 / 15 页,共 288 张