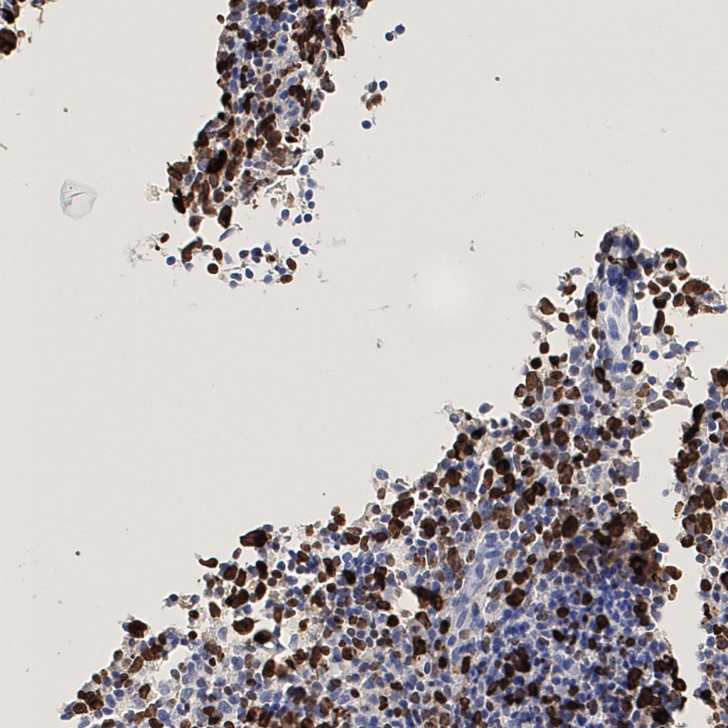
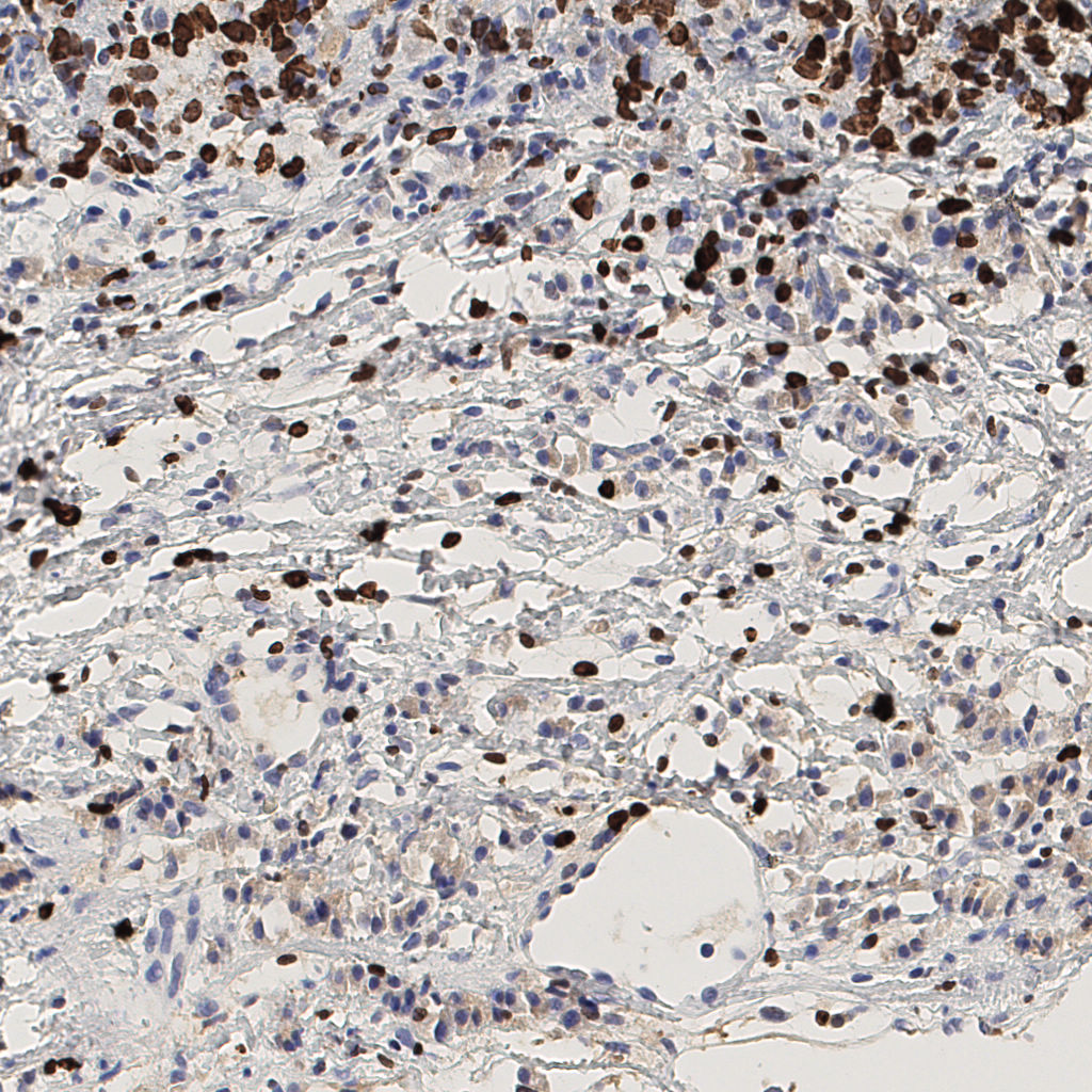
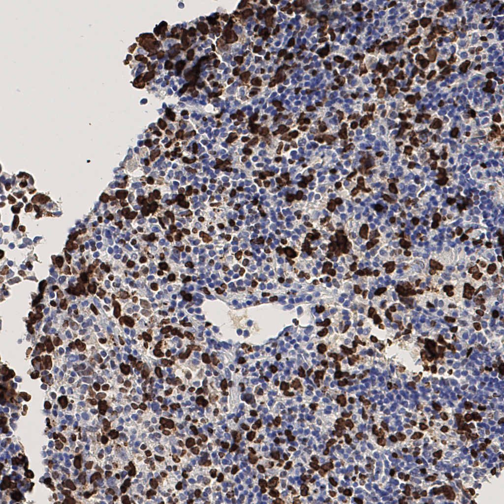
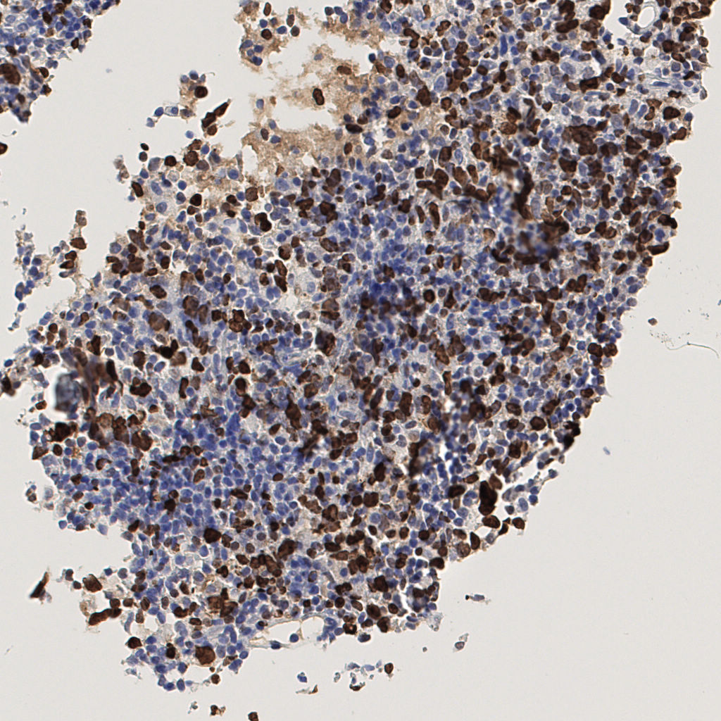
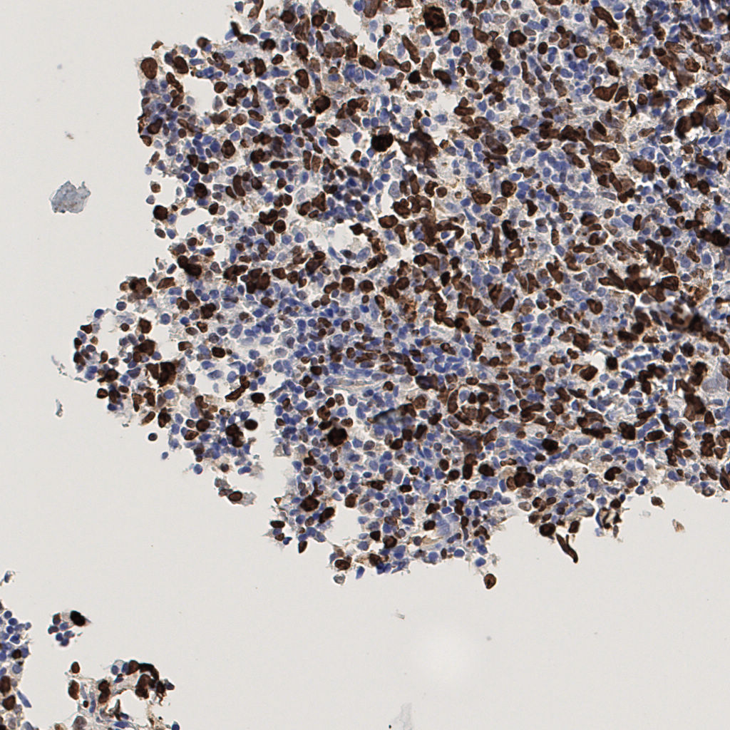
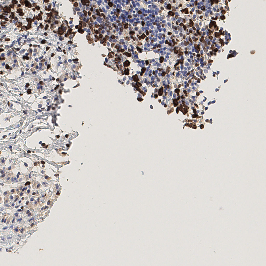
7.85%
Ki67 指数
阴 1104
阳 94
处理信息
状态
处理完成
上传
2026-04-10 10:30
耗时
2617秒
切片统计
总切片
1953
有效
288
已标记
288
有效率
15%
缩略图
slice_46_14_x4121...
slice_46_4_x41216...
slice_46_5_x41216...
slice_46_6_x41216...
slice_46_7_x41216...
slice_46_8_x41216...
slice_46_9_x41216...
slice_47_5_x42112...
slice_47_6_x42112...
slice_47_7_x42112...
slice_47_8_x42112...
slice_47_9_x42112...
slice_48_12_x4300...
slice_48_13_x4300...
slice_48_4_x43008...
slice_48_5_x43008...
slice_48_6_x43008...
slice_48_7_x43008...
slice_48_8_x43008...
slice_49_12_x4390...
标记后
标记前