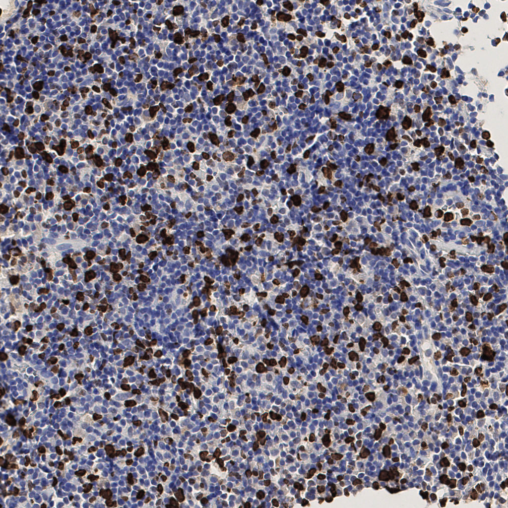
7.85%
Ki67 指数
阴 1104
阳 94
处理信息
状态
处理完成
上传
2026-04-10 10:30
耗时
2617秒
切片统计
总切片
1953
有效
288
已标记
288
有效率
15%
缩略图
slice_49_3_x43904...
slice_49_4_x43904...
slice_49_5_x43904...
slice_4_10_x3584_...
slice_4_11_x3584_...
slice_4_12_x3584_...
slice_4_13_x3584_...
slice_4_14_x3584_...
slice_4_20_x3584_...
slice_4_21_x3584_...
slice_4_22_x3584_...
slice_4_23_x3584_...
slice_4_24_x3584_...
slice_4_25_x3584_...
slice_4_26_x3584_...
slice_50_10_x4480...
slice_50_18_x4480...
slice_50_3_x44800...
slice_50_4_x44800...
slice_50_5_x44800...
标记后
标记前