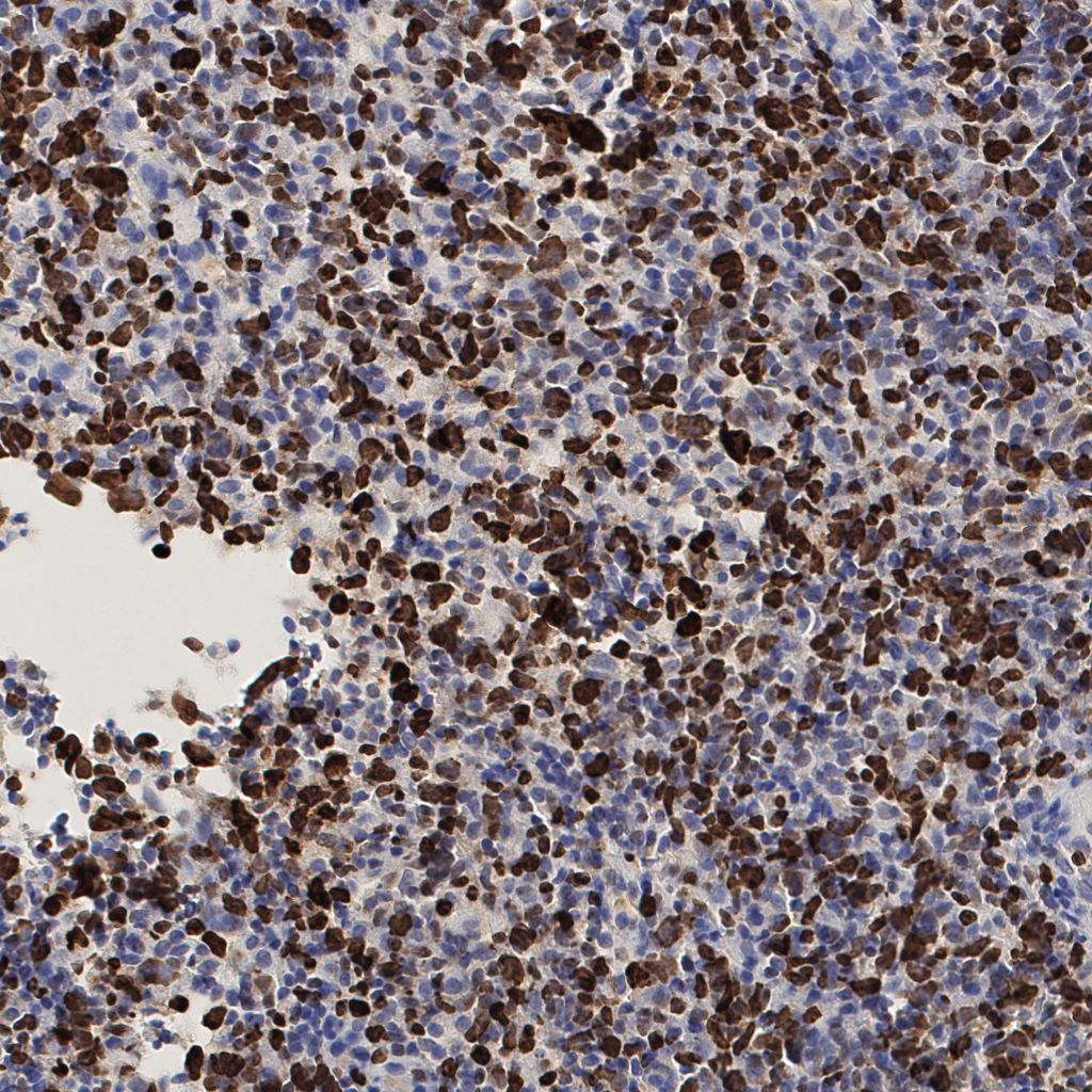
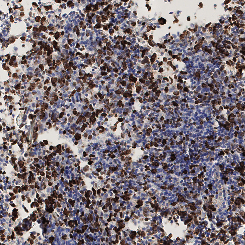
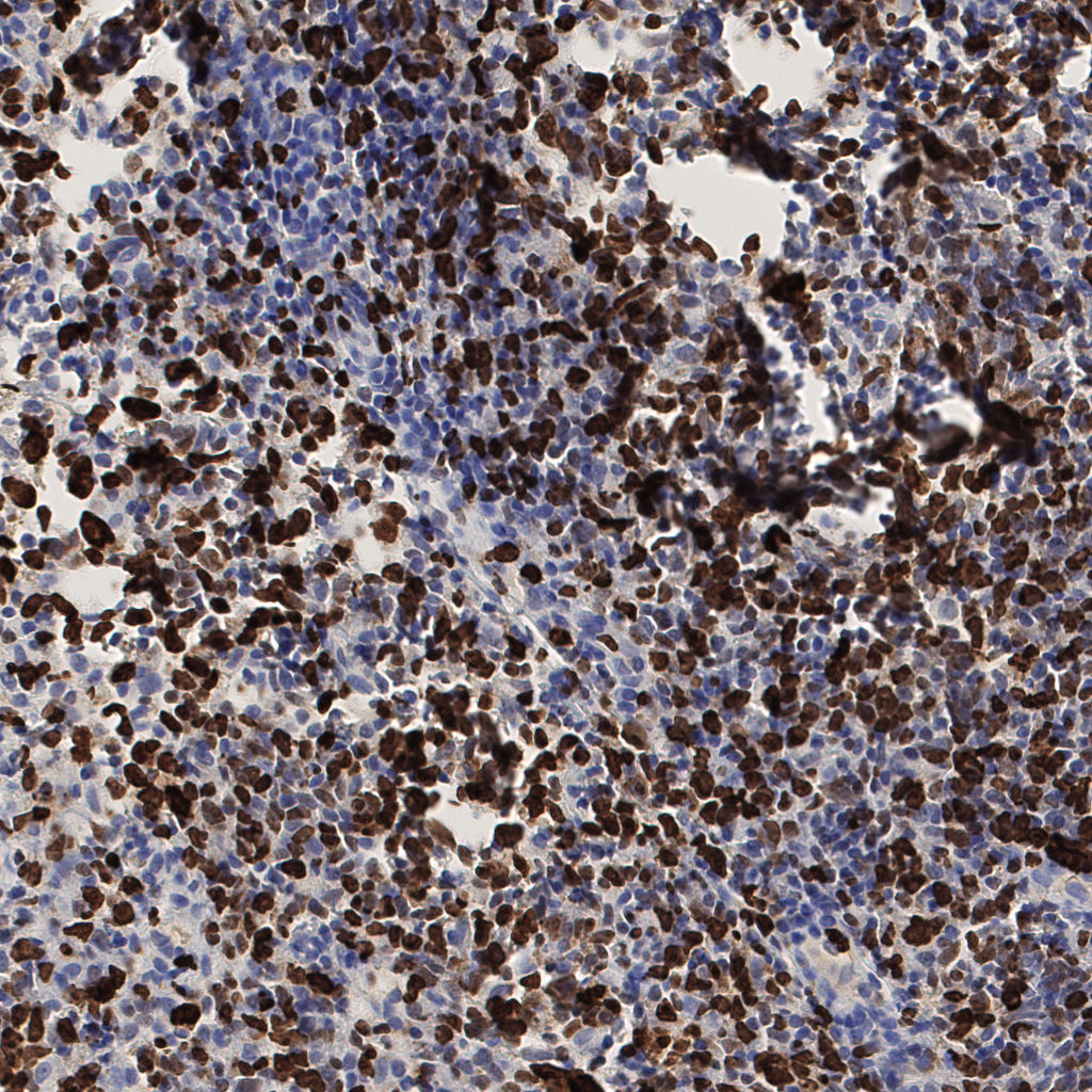
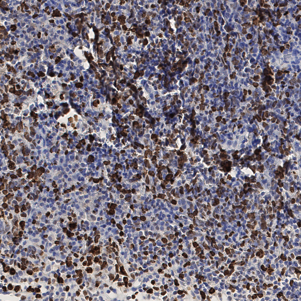
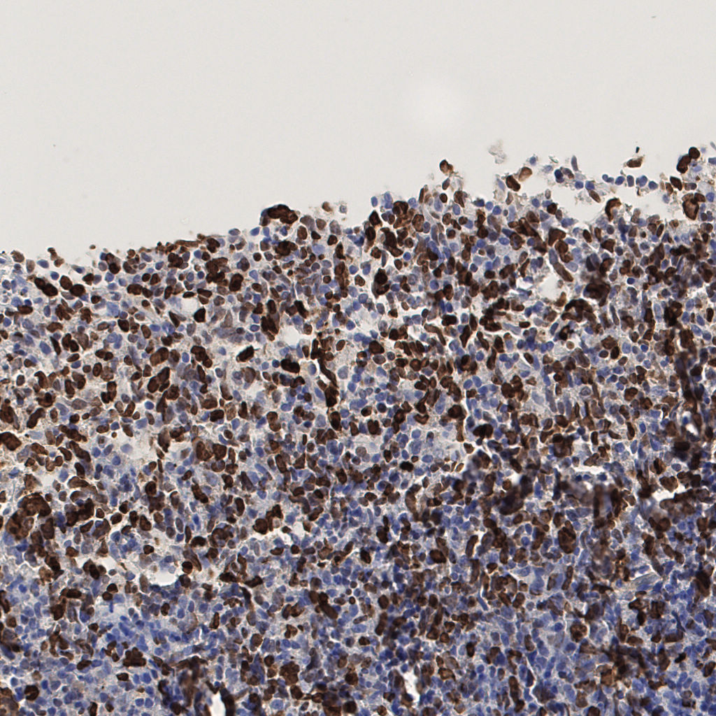
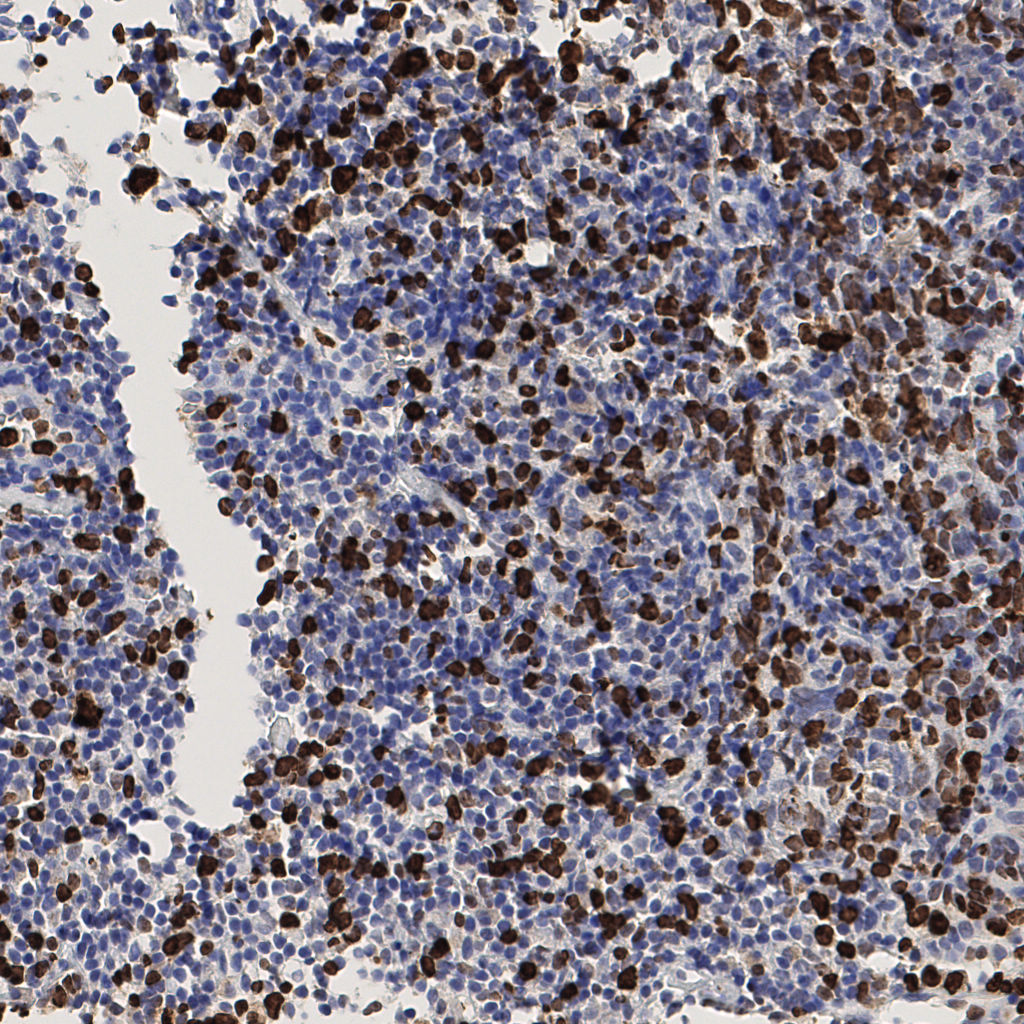
7.85%
Ki67 指数
阴 1104 阳 94
处理信息
状态 处理完成
上传 2026-04-10 10:30
耗时 2617秒
切片统计
总切片 1953
有效 288
已标记 288
有效率 15%
缩略图
H255858-KI-67.ndpi
slice_51_16_x45696_y14336.png
slice_51_16_x4569...
slice_51_17_x45696_y15232.png
slice_51_17_x4569...
slice_51_18_x45696_y16128.png
slice_51_18_x4569...
slice_51_19_x45696_y17024.png
slice_51_19_x4569...
slice_51_3_x45696_y2688.png
slice_51_3_x45696...
slice_51_4_x45696_y3584.png
slice_51_4_x45696...
slice_51_5_x45696_y4480.png
slice_51_5_x45696...
slice_52_15_x46592_y13440.png
slice_52_15_x4659...
slice_52_16_x46592_y14336.png
slice_52_16_x4659...
slice_52_17_x46592_y15232.png
slice_52_17_x4659...
slice_52_18_x46592_y16128.png
slice_52_18_x4659...
slice_52_19_x46592_y17024.png
slice_52_19_x4659...
slice_52_20_x46592_y17920.png
slice_52_20_x4659...
slice_52_3_x46592_y2688.png
slice_52_3_x46592...
slice_52_4_x46592_y3584.png
slice_52_4_x46592...
slice_52_5_x46592_y4480.png
slice_52_5_x46592...
slice_53_15_x47488_y13440.png
slice_53_15_x4748...
slice_53_16_x47488_y14336.png
slice_53_16_x4748...
slice_53_17_x47488_y15232.png
slice_53_17_x4748...
slice_53_18_x47488_y16128.png
slice_53_18_x4748...
第 9 / 15 页,共 288 张